ARHGDIG 抗体 (C-Term)
Our Local Distributor
北京 101111
Quick Overview for ARHGDIG 抗体 (C-Term) (ABIN571211)
抗原
See all ARHGDIG 抗体适用
宿主
克隆类型
标记
应用范围
质量等级
-
-
抗原表位
- C-Term
-
原理
- ARHGDIG
-
序列
- EAVPEYRAPG RK
-
交叉反应
- Cow, 犬, 人, 小鼠, 大鼠
-
纯化方法
- Purified from goat serum by ammonium sulphate precipitation followed by antigen affinity chromatography using the immunizing peptide.
-
免疫原
- C-EAVPEYRAPGRK
-
亚型
- IgG
-
-
-
-
应用备注
-
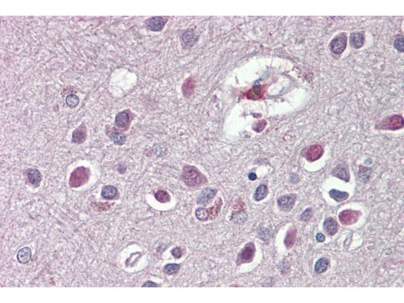
Immunohistochemistry: Paraffin embedded Human Brain (Cortex). Recommended concentration: 3.75 μg/mL.
Western Blot: Approx 25 kDa band observed in lysates of cell line HeLa (calculated MW of 25.1 kDa according to NP_001167.2). Recommended concentration: 0.5-2 μg/mL. Primary incubation was 1 hour.
Peptide ELISA: antibody detection limit dilution 1:16000.
-
限制
- 仅限研究用
-
-
-
状态
- Liquid
-
浓度
- 0.5 mg/mL
-
缓冲液
- Supplied at 0.5 mg/mL in Tris saline, 0.02 % sodium azide, pH 7.3 with 0.5 % bovine serum albumin.
-
储存液
- Sodium azide
-
注意事项
- This product contains Sodium azide: a POISONOUS AND HAZARDOUS SUBSTANCE which should be handled by trained staff only.
-
注意事项
- Minimize freezing and thawing.
-
储存条件
- -20 °C
-
储存方法
- Aliquot and store at -20°C, with minimal freeze/thawing. A working aliquot may be refrigerated at 4°C for a few weeks and still remain viable.
-
-
- ARHGDIG (rho GDP Dissociation Inhibitor (GDI) gamma (ARHGDIG))
-
别名
- ARHGDIG
-
背景
- ARHGDIG, Rho GDP dissociation inhibitor (GDI) gamma, RHOGDI-3, RhoGDI gamma
-
基因ID
- 398, 14570, 360500
-
NCBI登录号
- NP_001167
抗原
-