电话:
+86 (0512) 65829739
传真:
+86 (010) 6788 5057
电子邮件:
orders@antibodies-online.cn

RDH5 抗体 (AA 19-31)

The 山羊 多克隆 anti-RDH5 antibody is suitable to detect RDH5 in samples from 人. It has been validated for ELISA, IHC, IF 和 FACS.
产品编号 ABIN571175
发货至: 中国
Contact our Customer Service for availability and price in your country. Contact Info

Our Local Distributor

中国
北京 101111
No. 88 KeChuang 6th Street
Beijing Economic Technological Development Area
Room 801-803
4A Biotech Co.,Ltd.
Tel +86 (0512) 65829739 传真 +86 (010) 6788 5057

Quick Overview for RDH5 抗体 (AA 19-31) (ABIN571175)

抗原

See all RDH5 抗体
RDH5 (Retinol Dehydrogenase 5 (11-Cis/9-Cis) (RDH5))

适用

  • 5
  • 2
  • 1

宿主

  • 4
  • 1
山羊

克隆类型

  • 5
多克隆

标记

  • 5
This RDH5 antibody is un-conjugated

应用范围

  • 3
  • 3
  • 2
  • 1
  • 1
ELISA, Immunohistochemistry (IHC), Immunofluorescence (IF), Flow Cytometry (FACS)

质量等级

Verified
  • 抗原表位

    • 1
    • 1
    AA 19-31

    原理

    RDH5 (aa 19-31)

    序列

    RDRQSLPASN AFV

    交叉反应

    纯化方法

    Purified from goat serum by ammonium sulphate precipitation followed by antigen affinity chromatography using the immunizing peptide.

    免疫原

    Peptide with sequence C-RDRQSLPASNAFV, from the internal region of the protein sequence according to NP_002896.2.

    亚型

    IgG
  • 应用备注

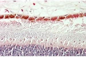
    Immunohistochemistry: In paraffin embedded Human Retina shows staining of the Ganglion Cell Layer. Recommended concentration: 5-10 μg/mL.

    Western Blot: Preliminary testing showed a band at approx..32 kDa in Human Heart and approx. 35 kDa in Human Breast lysate, after 0.3 μg/mL antibody staining. (calculated MW of 35.0 kDa according to NP_002896.2). Primary incubation 1 hour at room temperatur

    Peptide ELISA: antibody detection limit dilution 1:8000.

    说明

    Immunofluorescence: Strong expression of the protein seen in U2OS cells. Recommended concentration: 10μg/ml.

    Flow Cytometry: Flow cytometric analysis of U2OS cells. Recommended concentration: 10ug/ml.

    限制

    仅限研究用
  • 状态

    Liquid

    浓度

    0.5 mg/mL

    缓冲液

    Supplied at 0.5 mg/mL in Tris saline, 0.02 % sodium azide, pH 7.3 with 0.5 % bovine serum albumin.

    储存液

    Sodium azide

    注意事项

    This product contains Sodium azide: a POISONOUS AND HAZARDOUS SUBSTANCE which should be handled by trained staff only.

    注意事项

    Minimize freezing and thawing.

    储存条件

    -20 °C

    储存方法

    Aliquot and store at -20°C, with minimal freeze/thawing. A working aliquot may be refrigerated at 4°C for a few weeks and still remain viable.
  • 抗原

    RDH5 (Retinol Dehydrogenase 5 (11-Cis/9-Cis) (RDH5))

    别名

    RDH5

    背景

    RDH5, retinol dehydrogenase 5 (11-cis/9-cis), FLJ39337, FLJ97089, HSD17B9, RDH1, SDR9C5, 11-cis RDH, 9-cis-retinol specific dehydrogenase, retinol dehydrogenase 1, retinol dehydrogenase 5 (11-cis and 9-cis), short chain dehydrogenase/reductase family 9C,

    基因ID

    5959, 19682

    NCBI登录号

    NP_002896
You are here: