电话:
+86 (0512) 65829739
传真:
+86 (010) 6788 5057
电子邮件:
orders@antibodies-online.cn

Glutathione Reductase 抗体

There is 1 publication for this product available. The 兔 多克隆 anti-Glutathione Reductase antibody is suitable to detect Glutathione Reductase in samples from 人, 大鼠 和 小鼠. It has been validated for WB, ELISA, ICC, FACS 和 IHC (p).
产品编号 ABIN5708412
发货至: 中国
Contact our Customer Service for availability and price in your country. Contact Info

Our Local Distributor

中国
北京 101111
No. 88 KeChuang 6th Street
Beijing Economic Technological Development Area
Room 801-803
4A Biotech Co.,Ltd.
Tel +86 (0512) 65829739 传真 +86 (010) 6788 5057

Quick Overview for Glutathione Reductase 抗体 (ABIN5708412)

抗原

See all Glutathione Reductase (GSR) 抗体
Glutathione Reductase (GSR)

适用

  • 69
  • 39
  • 33
  • 6
  • 2
  • 2
  • 2
  • 1
  • 1
  • 1
  • 1
  • 1
  • 1
  • 1
  • 1
  • 1
  • 1
  • 1
人, 大鼠, 小鼠

宿主

  • 87
  • 10

克隆类型

  • 73
  • 24
多克隆

标记

  • 43
  • 7
  • 5
  • 4
  • 2
  • 2
  • 2
  • 2
  • 2
  • 2
  • 2
  • 2
  • 2
  • 2
  • 2
  • 2
  • 2
  • 2
  • 2
  • 2
  • 2
  • 1
  • 1
  • 1
  • 1
This Glutathione Reductase antibody is un-conjugated

应用范围

  • 68
  • 29
  • 27
  • 27
  • 27
  • 26
  • 19
  • 15
  • 12
  • 11
  • 6
  • 4
  • 4
  • 2
  • 2
  • 2
  • 1
  • 1
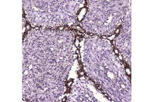
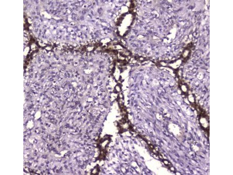
Western Blotting (WB), ELISA, Immunocytochemistry (ICC), Flow Cytometry (FACS), Immunohistochemistry (Paraffin-embedded Sections) (IHC (p))
  • 纯化方法

    Antigen affinity purified

    免疫原

    A recombinant human protein corresponding to amino acids K256-R522 was used as the immunogen for the Glutathione Reductase antibody.

    亚型

    IgG
  • 应用备注

    Optimal dilution of the Glutathione Reductase antibody should be determined by the researcher.\. Western blot: 0.5-1 μg/mL,IHC (FFPE): 1-2 μg/mL,ICC (FFPE): 1-2 μg/mL,FACS: 1-3 μg/10^6 cells,Direct ELISA: 0.1-0.5 μg/mL

    限制

    仅限研究用
  • 缓冲液

    0.5 mg/mL if reconstituted with 0.2 mL sterile DI water

    储存条件

    -20 °C

    储存方法

    After reconstitution, the Glutathione Reductase antibody can be stored for up to one month at 4°C. For long-term, aliquot and store at -20°C. Avoid repeated freezing and thawing.
  • Kronstein-Wiedemann, Stadtmüller, Traikov, Georgi, Teichert, Yosef, Wallenborn, Karl, Schütze, Wagner, El-Armouche, Tonn: "SARS-CoV-2 Infects Red Blood Cell Progenitors and Dysregulates Hemoglobin and Iron Metabolism." in: Stem cell reviews and reports, (2022) (PubMed).

  • 抗原

    Glutathione Reductase (GSR)

    别名

    Glutathione Reductase / GSR

    背景

    Glutathione reductase (GR), also known as glutathione-disulfide reductase (GSR), is an enzyme that in humans is encoded by the GSR gene. This gene encodes a member of the class-I pyridine nucleotide-disulfide oxidoreductase family. This enzyme is a homodimeric flavoprotein. It is a central enzyme of cellular antioxidant defense, and reduces oxidized glutathione disulfide (GSSG) to the sulfhydryl form GSH, which is an important cellular antioxidant. Rare mutations in this gene result in hereditary glutathione reductase deficiency. Multiple alternatively spliced transcript variants encoding different isoforms have been found.

    UniProt

    P00390

    途径

    Thyroid Hormone Synthesis, Cell RedoxHomeostasis
You are here: