电话:
+86 (0512) 65829739
传真:
+86 (010) 6788 5057
电子邮件:
orders@antibodies-online.cn

Stabilin 1 抗体 (C-Term)

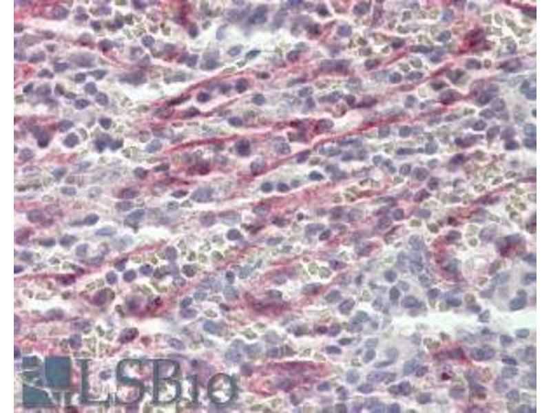
The 山羊 多克隆 anti-Stabilin 1 antibody (ABIN570837) specifically detects Stabilin 1 in ELISA 和 IHC. The antibody is reactive with 人 samples.
产品编号 ABIN570837
发货至: 中国
Contact our Customer Service for availability and price in your country. Contact Info

Our Local Distributor

中国
北京 101111
No. 88 KeChuang 6th Street
Beijing Economic Technological Development Area
Room 801-803
4A Biotech Co.,Ltd.
Tel +86 (0512) 65829739 传真 +86 (010) 6788 5057

Quick Overview for Stabilin 1 抗体 (C-Term) (ABIN570837)

抗原

See all Stabilin 1 (STAB1) 抗体
Stabilin 1 (STAB1)

适用

  • 38
  • 23
  • 17
  • 4

宿主

  • 31
  • 7
  • 5
  • 1
山羊

克隆类型

  • 33
  • 11
多克隆

标记

  • 11
  • 3
  • 3
  • 3
  • 2
  • 1
  • 1
  • 1
  • 1
  • 1
  • 1
  • 1
  • 1
  • 1
  • 1
  • 1
  • 1
  • 1
  • 1
  • 1
  • 1
  • 1
  • 1
  • 1
  • 1
  • 1
  • 1
This Stabilin 1 antibody is un-conjugated

应用范围

  • 29
  • 8
  • 4
  • 4
  • 3
  • 2
  • 2
  • 1
ELISA, Immunohistochemistry (IHC)

质量等级

Verified
  • 抗原表位

    • 5
    • 3
    • 2
    • 1
    • 1
    C-Term

    原理

    Stabilin 1

    序列

    DFPDTQRILT VK

    交叉反应

    Cow, 犬, 人, Pig

    纯化方法

    Purified from goat serum by ammonium sulphate precipitation followed by antigen affinity chromatography using the immunizing peptide.

    免疫原

    Peptide with sequence C-DFPDTQRILTVK, from the C Terminus of the protein sequence according to NP_055951.2.

    亚型

    IgG
  • 应用备注

    Immunohistochemistry: In paraffin embedded Human Spleen shows endothelial staining. Recommended concentration, 3-5 μg/mL.

    Peptide ELISA: antibody detection limit dilution 1:8000.

    限制

    仅限研究用
  • 状态

    Liquid

    浓度

    0.5 mg/mL

    缓冲液

    Supplied at 0.5 mg/mL in Tris saline, 0.02 % sodium azide, pH 7.3 with 0.5 % bovine serum albumin.

    储存液

    Sodium azide

    注意事项

    This product contains Sodium azide: a POISONOUS AND HAZARDOUS SUBSTANCE which should be handled by trained staff only.

    注意事项

    Minimize freezing and thawing.

    储存条件

    -20 °C

    储存方法

    Aliquot and store at -20°C, with minimal freeze/thawing. A working aliquot may be refrigerated at 4°C for a few weeks and still remain viable.
  • 抗原

    Stabilin 1 (STAB1)

    别名

    STAB1

    背景

    STAB1, stabilin 1, CLEVER-1, FEEL-1, FELE-1, FEX1, KIAA0246, STAB-1, MS-1 antigen, common lymphatic endothelial and vascular endothelial receptor-1, fasciclin egf-like, laminin-type egf-like, and link domain-containing scavenger receptor-1

    基因ID

    23166

    NCBI登录号

    NP_055951
You are here: