电话:
+86 (0512) 65829739
传真:
+86 (010) 6788 5057
电子邮件:
orders@antibodies-online.cn

TPCN2 抗体 (C-Term)

The 山羊 多克隆 anti-TPCN2 antibody is suitable to detect TPCN2 in samples from 人. It has been validated for ELISA 和 IHC.
产品编号 ABIN570776
发货至: 中国
Contact our Customer Service for availability and price in your country. Contact Info

Our Local Distributor

中国
北京 101111
No. 88 KeChuang 6th Street
Beijing Economic Technological Development Area
Room 801-803
4A Biotech Co.,Ltd.
Tel +86 (0512) 65829739 传真 +86 (010) 6788 5057

Quick Overview for TPCN2 抗体 (C-Term) (ABIN570776)

抗原

See all TPCN2 抗体
TPCN2 (Two Pore Segment Channel 2 (TPCN2))

适用

  • 6
  • 5
  • 4
  • 1

宿主

  • 10
山羊

克隆类型

  • 10
多克隆

标记

  • 7
  • 2
  • 1
This TPCN2 antibody is un-conjugated

应用范围

  • 10
  • 8
  • 4
  • 2
  • 1
  • 1
ELISA, Immunohistochemistry (IHC)

质量等级

Verified
  • 抗原表位

    • 2
    • 1
    • 1
    • 1
    • 1
    • 1
    C-Term

    原理

    TPCN2

    序列

    EDELTERLSQ HPH

    交叉反应

    纯化方法

    Purified from goat serum by ammonium sulphate precipitation followed by antigen affinity chromatography using the immunizing peptide.

    免疫原

    Peptide with sequence C-EDELTERLSQHPH, from the C Terminus of the protein sequence according to NP_620714.2.

    亚型

    IgG
  • 应用备注

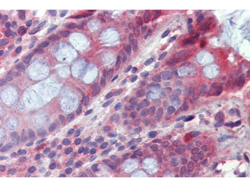
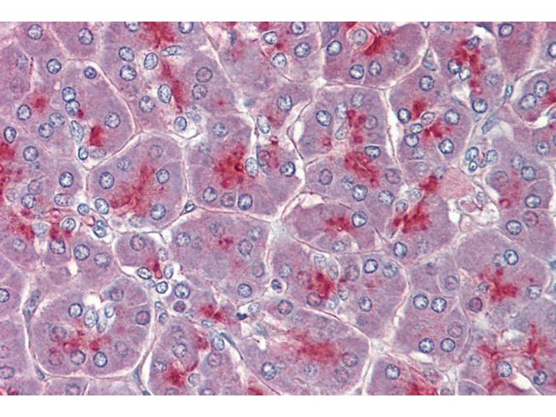
    Immunohistochemistry: Paraffin embedded Human Pancreas and Colon. Recommended concentration: 3.75 μg/mL.

    Western Blot: Preliminary experiments gave an approx 30 kDa band in Human Brain (Cerebral Cortex), Kidney and Liver lysates after 0.5 μg/mL antibody staining. Please note that currently we cannot find an explanation in the literature for the band we observ

    Peptide ELISA: antibody detection limit dilution 1:16000.

    限制

    仅限研究用
  • 状态

    Liquid

    浓度

    0.5 mg/mL

    缓冲液

    Supplied at 0.5 mg/mL in Tris saline, 0.02 % sodium azide, pH 7.3 with 0.5 % bovine serum albumin.

    储存液

    Sodium azide

    注意事项

    This product contains Sodium azide: a POISONOUS AND HAZARDOUS SUBSTANCE which should be handled by trained staff only.

    注意事项

    Minimize freezing and thawing.

    储存条件

    -20 °C

    储存方法

    Aliquot and store at -20°C, with minimal freeze/thawing. A working aliquot may be refrigerated at 4°C for a few weeks and still remain viable.
  • 抗原

    TPCN2 (Two Pore Segment Channel 2 (TPCN2))

    别名

    TPCN2

    背景

    TPCN2, two pore segment channel 2, FLJ41094, SHEP10, TPC2, two-pore calcium channel protein 2

    基因ID

    219931

    NCBI登录号

    NP_620714
You are here: