电话:
+86 (0512) 65829739
传真:
+86 (010) 6788 5057
电子邮件:
orders@antibodies-online.cn

KIF6 抗体 (Internal Region)

The 山羊 多克隆 anti-KIF6 antibody (ABIN570690) specifically detects KIF6 in ELISA 和 IHC. The antibody is reactive with 人 samples.
产品编号 ABIN570690
发货至: 中国
Contact our Customer Service for availability and price in your country. Contact Info

Our Local Distributor

中国
北京 101111
No. 88 KeChuang 6th Street
Beijing Economic Technological Development Area
Room 801-803
4A Biotech Co.,Ltd.
Tel +86 (0512) 65829739 传真 +86 (010) 6788 5057

Quick Overview for KIF6 抗体 (Internal Region) (ABIN570690)

抗原

KIF6 (Kinesin Family Member 6 (KIF6))

适用

  • 19
  • 11
  • 1

宿主

  • 16
  • 2
  • 1
山羊

克隆类型

  • 19
多克隆

标记

  • 14
  • 1
  • 1
  • 1
  • 1
  • 1
This KIF6 antibody is un-conjugated

应用范围

  • 17
  • 11
  • 3
  • 1
ELISA, Immunohistochemistry (IHC)

质量等级

Verified
  • 抗原表位

    • 8
    • 4
    • 3
    • 2
    • 1
    • 1
    Internal Region

    原理

    KIF6

    序列

    DPDQNIHLKN LTLH

    交叉反应

    人, 小鼠

    纯化方法

    Purified from goat serum by ammonium sulphate precipitation followed by antigen affinity chromatography using the immunizing peptide.

    免疫原

    Peptide with sequence C-DPDQNIHLKNLTLH, from the internal region of the protein sequence according to NP_659464.3.

    亚型

    IgG
  • 应用备注

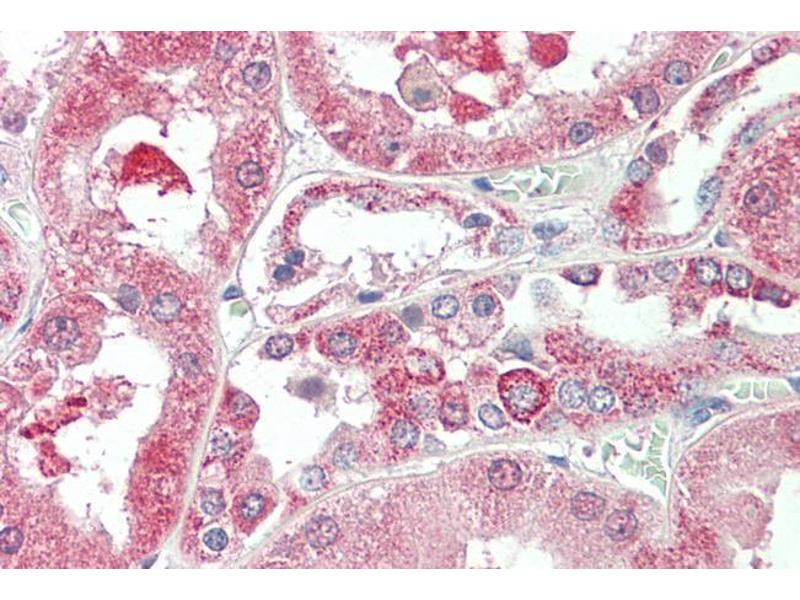
    Immunohistochemistry: Paraffin embedded Human Prostate and Kidney. Recommended concentration: 5 μg/mL.

    Western Blot: Preliminary experiments gave an approx. 140 kDa band in Human Heart lysates after 0.5 μg/mL antibody staining. Please note that currently we cannot find an explanation in the literature for the band we observe given the calculated size of 92.

    Peptide ELISA: antibody detection limit dilution 1:32000.

    限制

    仅限研究用
  • 状态

    Liquid

    浓度

    0.5 mg/mL

    缓冲液

    Supplied at 0.5 mg/mL in Tris saline, 0.02 % sodium azide, pH 7.3 with 0.5 % bovine serum albumin.

    储存液

    Sodium azide

    注意事项

    This product contains Sodium azide: a POISONOUS AND HAZARDOUS SUBSTANCE which should be handled by trained staff only.

    注意事项

    Minimize freezing and thawing.

    储存条件

    -20 °C

    储存方法

    Aliquot and store at -20°C, with minimal freeze/thawing. A working aliquot may be refrigerated at 4°C for a few weeks and still remain viable.
  • 抗原

    KIF6 (Kinesin Family Member 6 (KIF6))

    别名

    KIF6

    背景

    KIF6, kinesin family member 6, C6orf102, DKFZp451I2418, MGC33317, dJ1043E3.1, dJ137F1.4, dJ188D3.1, OTTHUMP00000016349, OTTHUMP00000039712

    基因ID

    221458, 319991

    NCBI登录号

    NP_659464
You are here: