电话:
+86 (0512) 65829739
传真:
+86 (010) 6788 5057
电子邮件:
orders@antibodies-online.cn

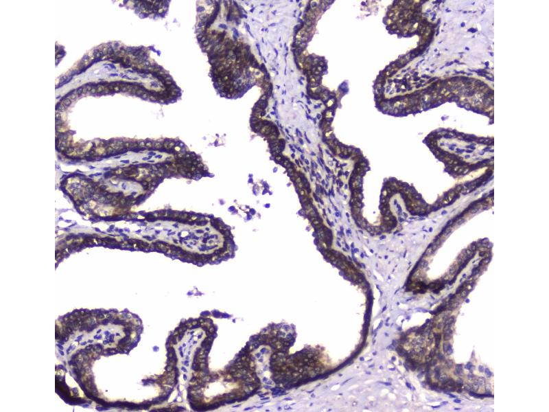
WWOX 抗体 (AA 1-245)

The 兔 多克隆 anti-WWOX antibody (ABIN5693294) specifically detects WWOX in WB, ELISA, IHC, IF, ICC 和 FACS. The antibody is reactive with 人, 小鼠 和 大鼠 samples.
产品编号 ABIN5693294
发货至: 中国
Contact our Customer Service for availability and price in your country. Contact Info

Our Local Distributor

中国
北京 101111
No. 88 KeChuang 6th Street
Beijing Economic Technological Development Area
Room 801-803
4A Biotech Co.,Ltd.
Tel +86 (0512) 65829739 传真 +86 (010) 6788 5057

Quick Overview for WWOX 抗体 (AA 1-245) (ABIN5693294)

抗原

See all WWOX 抗体
WWOX (WW Domain Containing Oxidoreductase (WWOX))

适用

  • 67
  • 50
  • 11
  • 4
  • 2
  • 2
  • 1
  • 1
  • 1
  • 1
  • 1
  • 1
人, 小鼠, 大鼠

宿主

  • 71
  • 3
  • 2

克隆类型

  • 63
  • 13
多克隆

标记

  • 44
  • 5
  • 3
  • 3
  • 3
  • 3
  • 3
  • 3
  • 3
  • 2
  • 1
  • 1
  • 1
  • 1
This WWOX antibody is un-conjugated

应用范围

  • 56
  • 24
  • 24
  • 15
  • 12
  • 5
  • 4
  • 4
  • 2
  • 1
  • 1
  • 1
  • 1
Western Blotting (WB), ELISA, Immunohistochemistry (IHC), Immunofluorescence (IF), Immunocytochemistry (ICC), Flow Cytometry (FACS)
  • 抗原表位

    • 12
    • 9
    • 8
    • 6
    • 5
    • 3
    • 2
    • 2
    • 2
    • 2
    • 1
    • 1
    • 1
    • 1
    • 1
    • 1
    • 1
    • 1
    • 1
    • 1
    AA 1-245

    原理

    Anti-WWOX Antibody

    交叉反应 (详细)

    No cross-reactivity with other proteins.

    产品特性

    Anti-WWOX Antibody (ABIN5693294). Tested in ELISA, Flow Cytometry, IF, IHC, ICC, WB applications. This antibody reacts with Human, Mouse, Rat. This is a premium antibody that guarantees superior quality, high affinity, and strong signals with minimal background in Western blot applications.

    纯化方法

    Immunogen affinity purified.

    免疫原

    E. coli-derived human WWOX recombinant protein (Position: M1-D245).

    亚型

    IgG
  • 应用备注

    Western blot, 0.1-0.5 μg/mL
    Immunohistochemistry (Paraffin-embedded Section), 0.5-1 μg/mL
    Immunocytochemistry/Immunofluorescence, 2 μg/mL
    Flow Cytometry (Fixed), 1-3 μg/1x106 cells
    ELISA, 0.1-0.5 μg/mL

    限制

    仅限研究用
  • 状态

    Lyophilized

    溶解方式

    Add 0.2 mL of distilled water will yield a concentration of 500 μg/mL.

    浓度

    500 μg/mL

    缓冲液

    Each vial contains 4 mg Trehalose, 0.9 mg NaCl, 0.2 mg Na2HPO4, 0.05 mg NaN3.

    储存液

    Sodium azide

    注意事项

    This product contains Sodium azide: a POISONOUS AND HAZARDOUS SUBSTANCE which should be handled by trained staff only.

    储存条件

    4 °C,-20 °C

    储存方法

    Store at -20°C for one year from date of receipt. After reconstitution, at 4°C for one month.
    It can also be aliquotted and stored frozen at -20°C for six months. Avoid repeated freeze-thaw cycles.
  • 抗原

    WWOX (WW Domain Containing Oxidoreductase (WWOX))

    别名

    WWOX

    背景

    Synonyms: WW domain-containing oxidoreductase, Fragile site FRA16D oxidoreductase, Short chain dehydrogenase/reductase family 41C member 1, WWOX, FOR, SDR41C1, WOX1

    Tissue Specificity: Widely expressed. Strongly expressed in testis, prostate, and ovary. Overexpressed in cancer cell lines. Isoform 5 and isoform 6 may only be expressed in tumor cell lines.

    Background: WW domain-containing oxidoreductase is an enzyme that in humans is encoded by the WWOX gene. This gene encodes a member of the short-chain dehydrogenases/reductases (SDR) protein family. It spans the FRA16D common chromosomal fragile site and appears to function as a tumor suppressor gene. Expression of the encoded protein is able to induce apoptosis, while defects in this gene are associated with multiple types of cancer. Disruption of this gene is also associated with autosomal recessive spinocerebellar ataxia 12. Disruption of a similar gene in mouse results in impaired steroidogenesis, additionally suggesting a metabolic function for the protein. Alternative splicing results in multiple transcript variants.

    分子量

    46 kDa

    基因ID

    51741
You are here: