电话:
+86 (0512) 65829739
传真:
+86 (010) 6788 5057
电子邮件:
orders@antibodies-online.cn

MDC1 抗体 (AA 534-626)

This 兔 多克隆 antibody specifically detects MDC1 in ELISA, IHC, IF, ICC 和 FACS. It exhibits reactivity toward 人.
产品编号 ABIN5693232
发货至: 中国
Contact our Customer Service for availability and price in your country. Contact Info

Our Local Distributor

中国
北京 101111
No. 88 KeChuang 6th Street
Beijing Economic Technological Development Area
Room 801-803
4A Biotech Co.,Ltd.
Tel +86 (0512) 65829739 传真 +86 (010) 6788 5057

Quick Overview for MDC1 抗体 (AA 534-626) (ABIN5693232)

抗原

See all MDC1 抗体
MDC1 (Mdc1 (MDC1))

适用

  • 57
  • 45
  • 16
  • 12
  • 11
  • 2
  • 1
  • 1

宿主

  • 47
  • 28

克隆类型

  • 47
  • 28
多克隆

标记

  • 27
  • 6
  • 6
  • 4
  • 3
  • 3
  • 3
  • 2
  • 2
  • 2
  • 1
  • 1
  • 1
  • 1
  • 1
  • 1
  • 1
  • 1
  • 1
  • 1
  • 1
  • 1
  • 1
  • 1
  • 1
  • 1
  • 1
This MDC1 antibody is un-conjugated

应用范围

  • 57
  • 21
  • 13
  • 13
  • 12
  • 12
  • 10
  • 10
  • 9
  • 6
  • 3
  • 2
  • 1
  • 1
ELISA, Immunohistochemistry (IHC), Immunofluorescence (IF), Immunocytochemistry (ICC), Flow Cytometry (FACS)
  • 抗原表位

    • 21
    • 15
    • 10
    • 9
    • 5
    • 3
    • 2
    • 2
    • 1
    • 1
    • 1
    • 1
    • 1
    • 1
    • 1
    AA 534-626

    原理

    Anti-MDC1 Antibody

    交叉反应 (详细)

    No cross-reactivity with other proteins.

    产品特性

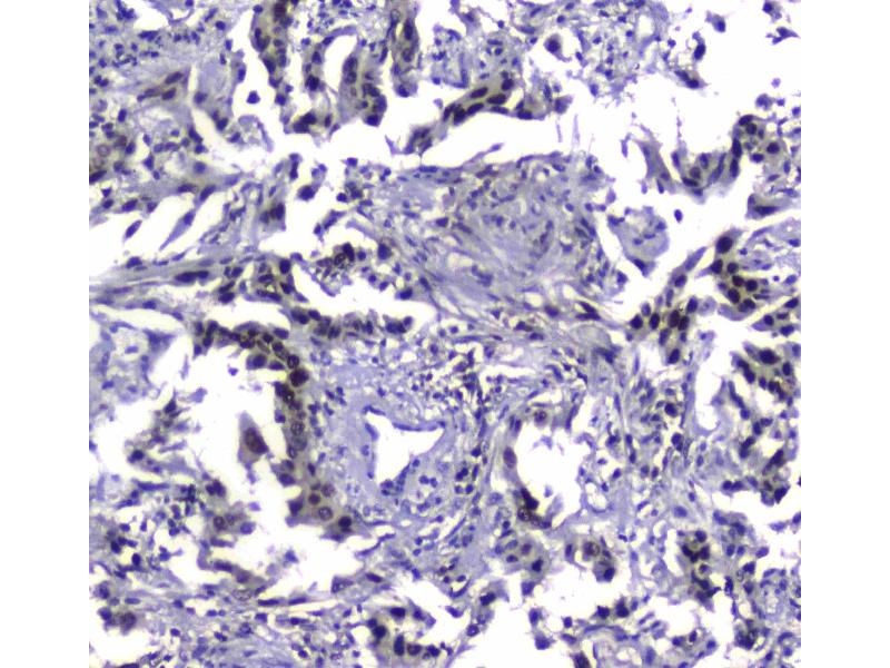
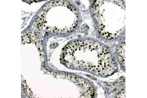
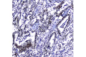
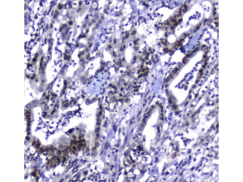
    Anti-MDC1 Antibody (ABIN5693232). Tested in ELISA, Flow Cytometry, IF, IHC, ICC applications. This antibody reacts with Human.

    纯化方法

    Immunogen affinity purified.

    免疫原

    E. coli-derived human MDC1 recombinant protein (Position: A534-Q626).

    亚型

    IgG
  • 应用备注

    Immunohistochemistry (Paraffin-embedded Section), 0.5-1 μg/mL
    Immunocytochemistry/Immunofluorescence, 2 μg/mL
    Flow Cytometry (Fixed), 1-3 μg/1x106 cells
    ELISA, 0.1-0.5 μg/mL

    限制

    仅限研究用
  • 状态

    Lyophilized

    溶解方式

    Add 0.2 mL of distilled water will yield a concentration of 500 μg/mL.

    浓度

    500 μg/mL

    缓冲液

    Each vial contains 4 mg Trehalose, 0.9 mg NaCl, 0.2 mg Na2HPO4, 0.05 mg NaN3.

    储存液

    Sodium azide

    注意事项

    This product contains Sodium azide: a POISONOUS AND HAZARDOUS SUBSTANCE which should be handled by trained staff only.

    储存条件

    4 °C,-20 °C

    储存方法

    Store at -20°C for one year from date of receipt. After reconstitution, at 4°C for one month.
    It can also be aliquotted and stored frozen at -20°C for six months. Avoid repeated freeze-thaw cycles.
  • 抗原

    MDC1 (Mdc1 (MDC1))

    别名

    MDC1

    背景

    Synonyms: Mediator of DNA damage checkpoint protein 1, Nuclear factor with BRCT domains 1, MDC1, KIAA0170, NFBD1

    Tissue Specificity: Highly expressed in testis.

    Background: Mediator of DNA damage checkpoint protein 1 is a 2080 amino acid long protein that in humans is encoded by the MDC1 gene. The protein encoded by this gene contains an N-terminal forkhead domain, two BRCA1 C-terminal (BRCT) motifs and a central domain with 13 repetitions of an approximately 41-amino acid sequence. The encoded protein is required to activate the intra-S phase and G2/M phase cell cycle checkpoints in response to DNA damage. This nuclear protein interacts with phosphorylated histone H2AX near sites of DNA double-strand breaks through its BRCT motifs, and facilitates recruitment of the ATM kinase and meiotic recombination 11 protein complex to DNA damage foci.

    分子量

    50 kDa

    基因ID

    9656

    UniProt

    Q14676
You are here: