SMC6 抗体 (AA 205-443)
Our Local Distributor
北京 101111
Quick Overview for SMC6 抗体 (AA 205-443) (ABIN5693133)
抗原
See all SMC6 抗体适用
宿主
克隆类型
标记
应用范围
-
-
抗原表位
- AA 205-443
-
原理
- Anti-SMC6L1 Antibody
-
交叉反应 (详细)
- No cross-reactivity with other proteins.
-
产品特性
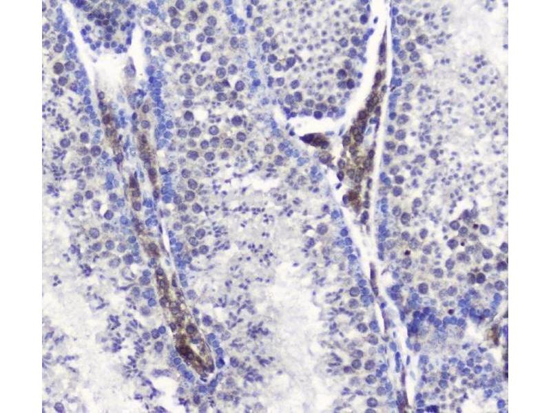
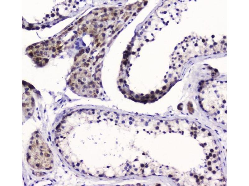
- Anti-SMC6L1 Antibody (ABIN5693133). Tested in ELISA, Flow Cytometry, IF, IHC, IHC-F, ICC, WB applications. This antibody reacts with Human, Mouse, Rat. This is a premium antibody that guarantees superior quality, high affinity, and strong signals with minimal background in Western blot applications.
-
免疫原
- E. coli-derived human SMC6L1 recombinant protein (Position: D205-E443).
-
亚型
- IgG
-
-
-
-
应用备注
-
Western blot, 0.1-0.5 μg/mL
Immunohistochemistry (Paraffin-embedded Section), 0.5-1 μg/mL
Immunohistochemistry (Frozen Section), 0.5-1 μg/mL
Immunocytochemistry/Immunofluorescence, 2 μg/mL
Flow Cytometry (Fixed), 1-3 μg/1x106 cells
ELISA, 0.1-0.5 μg/mL
-
限制
- 仅限研究用
-
-
-
状态
- Lyophilized
-
溶解方式
- Add 0.2 mL of distilled water will yield a concentration of 500 μg/mL.
-
浓度
- 500 μg/mL
-
缓冲液
- Each vial contains 4 mg Trehalose, 0.9 mg NaCl, 0.2 mg Na2HPO4, 0.05 mg NaN3.
-
储存液
- Sodium azide
-
注意事项
- This product contains Sodium azide: a POISONOUS AND HAZARDOUS SUBSTANCE which should be handled by trained staff only.
-
储存条件
- 4 °C,-20 °C
-
储存方法
-
Store at -20°C for one year from date of receipt. After reconstitution, at 4°C for one month.
It can also be aliquotted and stored frozen at -20°C for six months. Avoid repeated freeze-thaw cycles.
-
-
- SMC6 (SMC6 Structural Maintenance of Chromosomes 6-Like 1 (SMC6))
-
别名
- SMC6
-
背景
-
Synonyms: Structural maintenance of chromosomes protein 6, SMC protein 6, SMC-6, hSMC6, SMC6, SMC6L1
Tissue Specificity: Widely expressed (PubMed:11408570). Strongly expressed in testis (PubMed:11408570).
Background: Structural maintenance of chromosomes protein 6, also knowns SMC6L1, is a protein that in humans is encoded by the SMC6 gene. It is involved in the Alternative lengthening of telomeres cancer mechanism. The International Radiation Hybrid Mapping Consortium mapped the SMC6L1 gene to chromosome 2.
-
分子量
- 126 kDa
-
基因ID
- 79677
抗原
-