电话:
+86 (0512) 65829739
传真:
+86 (010) 6788 5057
电子邮件:
orders@antibodies-online.cn

SP6 抗体

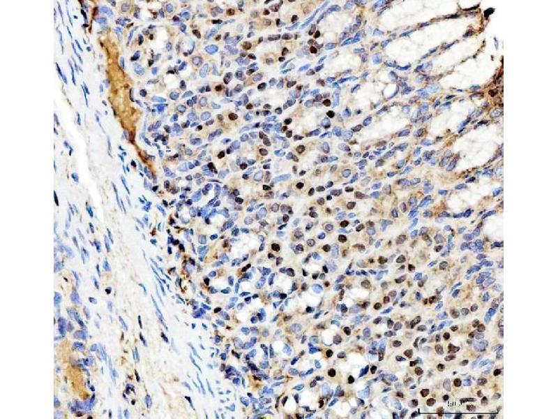
The 兔 多克隆 anti-SP6 antibody is suitable to detect SP6 in samples from 人, 小鼠 和 大鼠. It has been validated for WB, IHC, ICC 和 IF.
产品编号 ABIN5692945
发货至: 中国
Contact our Customer Service for availability and price in your country. Contact Info

Our Local Distributor

中国
北京 101111
No. 88 KeChuang 6th Street
Beijing Economic Technological Development Area
Room 801-803
4A Biotech Co.,Ltd.
Tel +86 (0512) 65829739 传真 +86 (010) 6788 5057

Quick Overview for SP6 抗体 (ABIN5692945)

抗原

See all SP6 抗体
SP6 (Sp6 Transcription Factor (SP6))

适用

  • 39
  • 7
  • 4
  • 3
  • 2
  • 2
  • 2
  • 1
  • 1
人, 小鼠, 大鼠

宿主

  • 38
  • 1

克隆类型

  • 39
多克隆

标记

  • 16
  • 4
  • 3
  • 3
  • 1
  • 1
  • 1
  • 1
  • 1
  • 1
  • 1
  • 1
  • 1
  • 1
  • 1
  • 1
  • 1
This SP6 antibody is un-conjugated

应用范围

  • 34
  • 20
  • 13
  • 13
  • 11
  • 3
  • 3
  • 2
  • 1
  • 1
  • 1
Western Blotting (WB), Immunohistochemistry (IHC), Immunocytochemistry (ICC), Immunofluorescence (IF)
  • 原理

    Anti-SP6 Antibody

    序列

    QPDMSHHYES WFRPTHPGAE DGSWWDLHPG TSWMDLPH

    交叉反应 (详细)

    No cross-reactivity with other proteins.

    产品特性

    Anti-SP6 Antibody (ABIN5692945). Tested in IF, IHC, ICC, WB applications. This antibody reacts with Human, Mouse, Rat. This is a premium antibody that guarantees superior quality, high affinity, and strong signals with minimal background in Western blot applications.

    免疫原

    A synthetic peptide corresponding to a sequence at the N-terminus of human SP6, which shares 97.4% amino acid (aa) sequence identity with both mouse and rat SP6.

    亚型

    IgG
  • 应用备注

    Western blot, 0.1-0.5 μg/mL
    Immunohistochemistry, 2-5 μg/mL
    Immunocytochemistry/Immunofluorescence, 5 μg/mL

    限制

    仅限研究用
  • 状态

    Lyophilized

    溶解方式

    Add 0.2 mL of distilled water will yield a concentration of 500 μg/mL.

    浓度

    500 μg/mL

    缓冲液

    Each vial contains 4 mg Trehalose, 0.9 mg NaCl and 0.2 mg Na2HPO4.

    储存条件

    4 °C,-20 °C

    储存方法

    Store at -20°C for one year from date of receipt. After reconstitution, at 4°C for one month.
    It can also be aliquotted and stored frozen at -20°C for six months. Avoid repeated freeze-thaw cycles.
  • 抗原

    SP6 (Sp6 Transcription Factor (SP6))

    别名

    SP6

    背景

    Synonyms: Transcription factor Sp6, Krueppel-like factor 14, SP6, KLF14

    Tissue Specificity: Ubiquitous.

    Background: SP6 belongs to a family of transcription factors that contain 3 classical zinc finger DNA-binding domains consisting of a zinc atom tetrahedrally coordinated by 2 cysteines and 2 histidines (C2H2 motif). These transcription factors bind to GC-rich sequences and related GT and CACCC boxes. By somatic cell hybrid analysis and FISH, he SP6 gene is mapped t to chromosome 17q21.3-q22.

    分子量

    40 kDa

    基因ID

    80320
You are here: