电话:
+86 (0512) 65829739
传真:
+86 (010) 6788 5057
电子邮件:
orders@antibodies-online.cn

GLO1 抗体 (AA 2-184)

The 兔 多克隆 anti-GLO1 antibody (ABIN5692862) specifically detects GLO1 in WB, IHC, ELISA, IF, ICC 和 IP. The antibody is reactive with 人, 小鼠 和 大鼠 samples.
产品编号 ABIN5692862
发货至: 中国
Contact our Customer Service for availability and price in your country. Contact Info

Our Local Distributor

中国
北京 101111
No. 88 KeChuang 6th Street
Beijing Economic Technological Development Area
Room 801-803
4A Biotech Co.,Ltd.
Tel +86 (0512) 65829739 传真 +86 (010) 6788 5057

Quick Overview for GLO1 抗体 (AA 2-184) (ABIN5692862)

抗原

See all GLO1 抗体
GLO1 (Glyoxalase I (GLO1))

适用

  • 63
  • 47
  • 24
  • 5
  • 3
  • 2
  • 2
  • 2
  • 1
  • 1
  • 1
  • 1
  • 1
人, 小鼠, 大鼠

宿主

  • 68
  • 17
  • 2
  • 1

克隆类型

  • 50
  • 37
多克隆

标记

  • 42
  • 6
  • 3
  • 2
  • 2
  • 2
  • 2
  • 2
  • 2
  • 2
  • 1
  • 1
  • 1
  • 1
  • 1
  • 1
  • 1
  • 1
  • 1
  • 1
  • 1
  • 1
  • 1
  • 1
  • 1
  • 1
  • 1
  • 1
  • 1
  • 1
  • 1
  • 1
  • 1
This GLO1 antibody is un-conjugated

应用范围

  • 70
  • 33
  • 23
  • 20
  • 17
  • 13
  • 13
  • 10
  • 9
  • 8
  • 6
  • 4
  • 3
  • 3
  • 2
  • 1
  • 1
  • 1
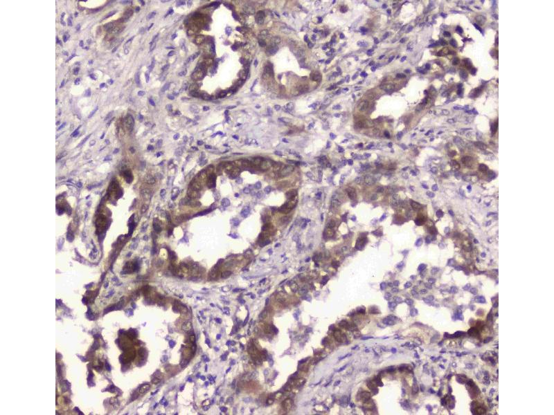
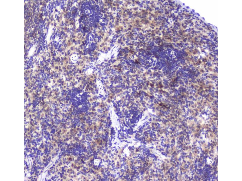
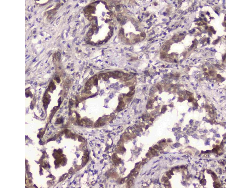
Western Blotting (WB), Immunohistochemistry (IHC), ELISA, Immunofluorescence (IF), Immunocytochemistry (ICC), Immunoprecipitation (IP)
  • 抗原表位

    • 15
    • 10
    • 5
    • 4
    • 2
    • 2
    • 1
    • 1
    • 1
    • 1
    • 1
    • 1
    • 1
    • 1
    AA 2-184

    原理

    Anti-GLO1 Antibody

    交叉反应 (详细)

    No cross-reactivity with other proteins.

    产品特性

    Anti-GLO1 Antibody (ABIN5692862). Tested in ELISA, IHC, IP, WB applications. This antibody reacts with Human, Mouse, Rat. This is a premium antibody that guarantees superior quality, high affinity, and strong signals with minimal background in Western blot applications.

    免疫原

    E. coli-derived human GLO1 recombinant protein (Position: A2-M184).

    亚型

    IgG
  • 应用备注

    Western blot, 0.1-0.5 μg/mL, Human, Mouse, Rat
    Immunohistochemistry (Paraffin-embedded Section), 0.5-1 μg/mL, Human, Mouse, Rat
    Immunocytochemistry/Immunofluorescence, 5 μg/mL, Human
    Immunoprecipitation, 0.5-2 μg/mL, Human
    ELISA, 0.1-0.5 μg/mL, -

    限制

    仅限研究用
  • 状态

    Lyophilized

    溶解方式

    Add 0.2 mL of distilled water will yield a concentration of 500 μg/mL.

    浓度

    500 μg/mL

    缓冲液

    Each vial contains 4 mg Trehalose, 0.9 mg NaCl, 0.2 mg Na2HPO4, 0.01 mg Sodium azide.

    储存液

    Sodium azide

    注意事项

    This product contains Sodium azide: a POISONOUS AND HAZARDOUS SUBSTANCE which should be handled by trained staff only.

    储存条件

    4 °C,-20 °C

    储存方法

    Store at -20°C for one year from date of receipt. After reconstitution, at 4°C for one month.
    It can also be aliquotted and stored frozen at -20°C for six months. Avoid repeated freeze-thaw cycles.
  • 抗原

    GLO1 (Glyoxalase I (GLO1))

    别名

    GLO1

    背景

    Synonyms: Lactoylglutathione lyase, Aldoketomutase, Glyoxalase I, Glx I, Ketone-aldehyde mutase, Methylglyoxalase, S-D-lactoylglutathione methylglyoxal lyase, GLO1

    Tissue Specificity: Present in many fetal and adult tissues. Mainly expressed in adult skeletal muscle, thymus, testis, ovary, and pancreas, low or absent in brain and peripheral blood leukocytes.

    Background: Lactoylglutathione lyase in humans is encoded by the GLO1 gene. The enzyme encoded by this gene is responsible for the catalysis and formation of S-lactoyl-glutathione from methylglyoxal condensation and reduced glutatione. Glyoxalase I is linked to HLA and is localized to 6p21.3-p21.1, between HLA and the centromere.

    分子量

    21 kDa

    基因ID

    2739

    UniProt

    Q04760
You are here: