IGFBP2 抗体
Our Local Distributor
北京 101111
Quick Overview for IGFBP2 抗体 (ABIN5647798)
抗原
See all IGFBP2 抗体适用
宿主
克隆类型
标记
应用范围
-
-
纯化方法
- Antigen affinity purified
-
免疫原
- A recombinant human protein corresponding to amino acids A36-Q325 was used as the immunogen for the IGFBP2 antibody.
-
亚型
- IgG
-
-
-
-
应用备注
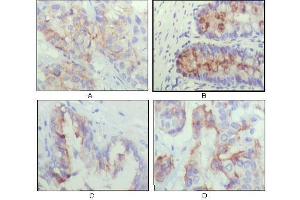
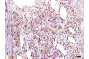
- Optimal dilution of the IGFBP2 antibody should be determined by the researcher.\. Western Blot: 0.5-1 μg/mL,IHC (FFPE): 1-2 μg/mL,ELISA (Capture, recombinant human protein): 0.1-0.5 μg/mL (BSA-free format available)
-
限制
- 仅限研究用
-
-
-
缓冲液
- 0.5 mg/mL if reconstituted with 0.2 mL sterile DI water
-
储存条件
- -20 °C
-
储存方法
- After reconstitution, the IGFBP2 antibody can be stored for up to one month at 4°C. For long-term, aliquot and store at -20°C. Avoid repeated freezing and thawing.
-
-
- IGFBP2 (Insulin-Like Growth Factor Binding Protein 2, 36kDa (IGFBP2))
-
别名
- IGFBP2
-
背景
- The superfamily of insulin-like growth factor (IGF) binding proteins include the six high-affinity IGF binding proteins (IGFBP) and at least four additional low-affinity binding proteins referred to as IGFBP related proteins (IGFBP-rP). All IGFBP superfamily members are cysteine-rich proteins with conserved cysteine residues, which are clustered in the amino- and carboxy-terminal thirds of the molecule. IGFBPs modulate the biological activities of IGF proteins. Some IGFBPs may also have intrinsic bioactivity that is independent of their ability to bind IGF proteins. Post-translational modifications of IGFBPs, including glycosylation, phosphorylation and proteolysis, have been shown to modify the affinities of the binding proteins to IGF. Human IGFBP-2 cDNA encodes a 328 amino acid (aa) residue precursor protein with a putative 39 aa residue signal peptide that is processed to generate the 289 aa residue mature protein. IGFBP-2 contains an integrin receptor recognition sequence (RGD sequence) but lacks potential N-linked glycosylation sites. During development, IGFBP-2 is expressed in a number of tissues. The highest expression level is found in the central nervous system. In adults, high expression levels are also detected in the central nervous system and in a number of reproductive tissues. IGFBP-2 binds preferentially to IGF II, exhibiting a 2-10 fold higher affinity for IGF II than for IGF I.
-
UniProt
- P18065
-
途径
- Myometrial Relaxation and Contraction, Growth Factor Binding, Activated T Cell Proliferation
抗原
-