电话:
+86 (0512) 65829739
传真:
+86 (010) 6788 5057
电子邮件:
orders@antibodies-online.cn

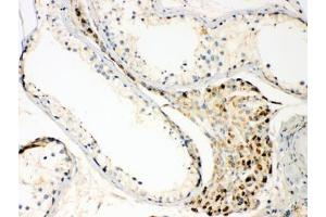
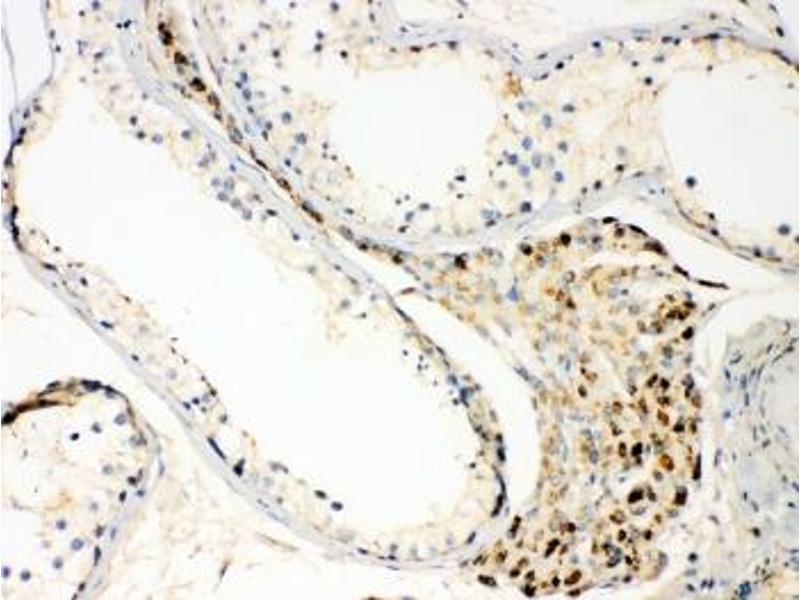
TECTA 抗体 (AA 93-134)

The 兔 多克隆 anti-TECTA antibody (ABIN5647724) specifically detects TECTA in WB 和 IHC (p). The antibody is reactive with 人, 小鼠 和 大鼠 samples.
产品编号 ABIN5647724
发货至: 中国
Contact our Customer Service for availability and price in your country. Contact Info

Our Local Distributor

中国
北京 101111
No. 88 KeChuang 6th Street
Beijing Economic Technological Development Area
Room 801-803
4A Biotech Co.,Ltd.
Tel +86 (0512) 65829739 传真 +86 (010) 6788 5057

Quick Overview for TECTA 抗体 (AA 93-134) (ABIN5647724)

抗原

See all TECTA 抗体
TECTA (Tectorin alpha (TECTA))

适用

人, 小鼠, 大鼠

宿主

  • 3
  • 2

克隆类型

  • 3
  • 2
多克隆

标记

  • 5
This TECTA antibody is un-conjugated

应用范围

  • 4
  • 3
  • 1
  • 1
Western Blotting (WB), Immunohistochemistry (Paraffin-embedded Sections) (IHC (p))
  • 抗原表位

    • 2
    • 1
    • 1
    • 1
    AA 93-134

    纯化方法

    Antigen affinity purified

    免疫原

    Amino acids 93-134 (RAFVAPFWADVHNGIRGEIYYRETMEPAILKRATKDIRKYFK) from human Alpha Tectorin were used as the immunogen for the TECTA antibody.

    亚型

    IgG
  • 应用备注

    Optimal dilution of the TECTA antibody should be determined by the researcher.\. WB: 0.5-1 μg/mL,IHC (FFPE): 1-2 μg/mL

    限制

    仅限研究用
  • 缓冲液

    0.5 mg/mL if reconstituted with 0.2 mL sterile DI water

    储存条件

    -20 °C

    储存方法

    After reconstitution, the TECTA antibody can be stored for up to one month at 4°C. For long-term, aliquot and store at -20°C. Avoid repeated freezing and thawing.
  • 抗原

    TECTA (Tectorin alpha (TECTA))

    别名

    TECTA (Alpha Tectorin)

    背景

    Alpha Tectorin is a protein that in humans is encoded by the TECTA gene. The tectorial membrane is an extracellular matrix of the inner ear that contacts the stereocilia bundles of specialized sensory hair cells. Sound induces movement of these hair cells relative to the tectorial membrane, deflects the stereocilia, and leads to fluctuations in hair-cell membrane potential, transducing sound into electrical signals. Alpha-tectorin is one of the major noncollagenous components of the tectorial membrane. Mutations in the TECTA gene have been shown to be responsible for autosomal dominant nonsyndromic hearing impairment and a recessive form of sensorineural pre-lingual non-syndromic deafness.

    UniProt

    O75443

    途径

    Sensory Perception of Sound
You are here: