电话:
+86 (0512) 65829739
传真:
+86 (010) 6788 5057
电子邮件:
orders@antibodies-online.cn

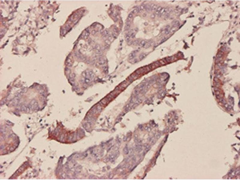
SAA1 抗体 (AA 1-122)

The 小鼠 单克隆 anti-SAA1 antibody (Clone 3C11-2C1) (ABIN562788) specifically detects SAA1 in ELISA, WB 和 IHC (p). The antibody is reactive with 人 samples.
产品编号 ABIN562788
发货至: 中国
Contact our Customer Service for availability and price in your country. Contact Info

Our Local Distributor

中国
北京 101111
No. 88 KeChuang 6th Street
Beijing Economic Technological Development Area
Room 801-803
4A Biotech Co.,Ltd.
Tel +86 (0512) 65829739 传真 +86 (010) 6788 5057

Quick Overview for SAA1 抗体 (AA 1-122) (ABIN562788)

抗原

See all SAA1 抗体
SAA1 (Serum Amyloid A1 (SAA1))

适用

  • 51
  • 6
  • 5
  • 2
  • 1
  • 1
  • 1
  • 1
  • 1
  • 1
  • 1
  • 1

宿主

  • 33
  • 17
  • 4
  • 2
小鼠

克隆类型

  • 32
  • 24
单克隆

标记

  • 37
  • 5
  • 4
  • 4
  • 1
  • 1
  • 1
  • 1
  • 1
  • 1
This SAA1 antibody is un-conjugated

应用范围

  • 34
  • 25
  • 13
  • 6
  • 3
  • 2
  • 2
  • 1
  • 1
ELISA, Western Blotting (WB), Immunohistochemistry (Paraffin-embedded Sections) (IHC (p))

克隆位点

3C11-2C1
  • 抗原表位

    • 8
    • 5
    • 3
    • 2
    • 1
    • 1
    • 1
    • 1
    • 1
    AA 1-122

    原理

    Mouse monoclonal antibody raised against a full length recombinant SAA1.

    序列

    MKLLTGLVFC SLVLGVSSRS FFSFLGEAFD GARDMWRAYS DMREANYIGS DKYFHARGNY DAAKRGPGGV WAAEAISDAR ENIQRFFGHG AEDSLADQAA DEWGRSGKDP NHFRPAGLPE KY

    交叉反应

    产品特性

    Antibody Reactive Against Recombinant Protein.

    免疫原

    SAA1 (AAH07022, 1 a.a. ~ 122 a.a) full-length recombinant protein with GST tag. MW of the GST tag alone is 26 KDa.

    亚型

    IgG2b
  • 应用备注

    Optimal working dilution should be determined by the investigator.

    限制

    仅限研究用
  • 缓冲液

    In 1x PBS, pH 7.4

    注意事项

    Aliquot to avoid repeated freezing and thawing.

    储存条件

    -20 °C

    储存方法

    Store at -20°C or lower. Aliquot to avoid repeated freezing and thawing.
  • 抗原

    SAA1 (Serum Amyloid A1 (SAA1))

    别名

    SAA1

    背景

    Full Gene Name: serum amyloid A1
    Synonyms: MGC111216,PIG4,SAA,TP53I4

    基因ID

    6288

    途径

    Toll-Like Receptors Cascades
You are here: