P2RY4 抗体
Our Local Distributor
北京 101111
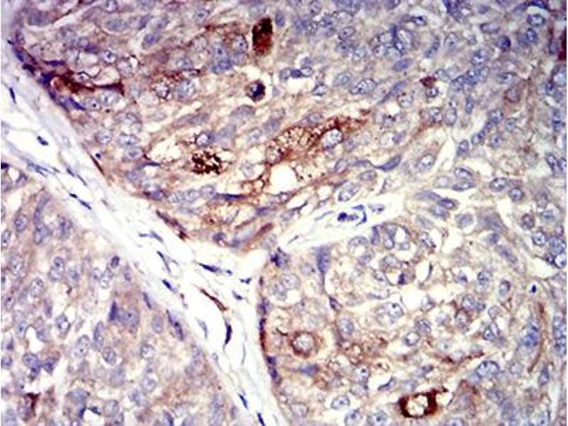
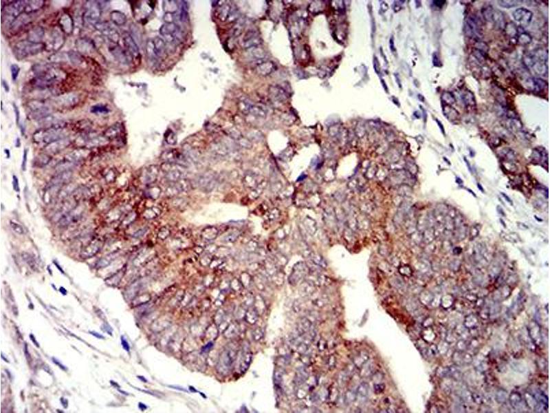
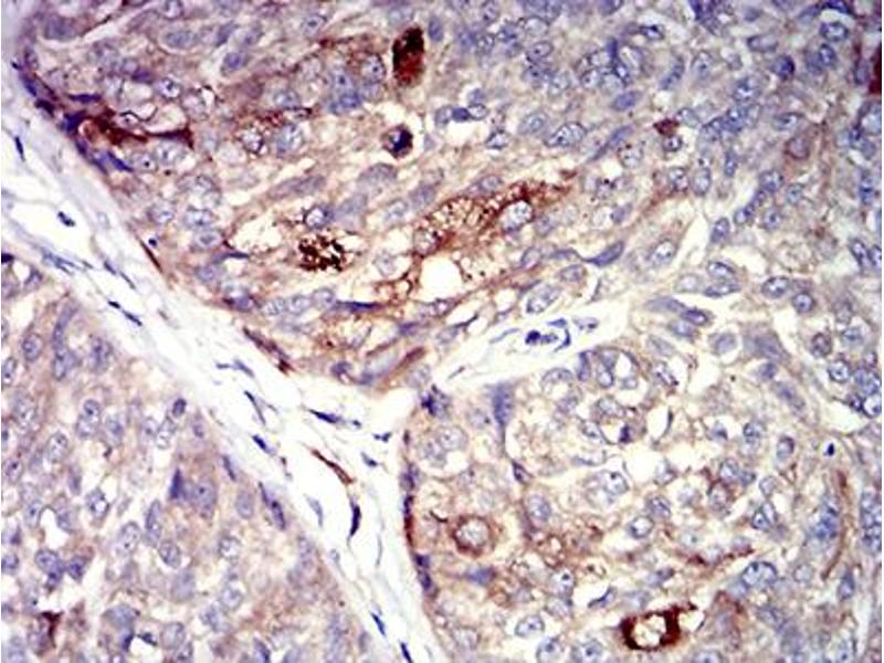
Quick Overview for P2RY4 抗体 (ABIN5611350)
抗原
See all P2RY4 抗体适用
宿主
克隆类型
标记
应用范围
克隆位点
-
-
原理
- P2RY4 Antibody
-
纯化方法
- Purified antibody
-
免疫原
- Purified recombinant fragment of human P2RY4 (AA: mix) expressed in E. Coli.
-
亚型
- IgG1
-
-
-
-
应用备注
- ELISA: 1/10000
-
限制
- 仅限研究用
-
-
-
状态
- Liquid
-
缓冲液
- Purified antibody in PBS with 0.05 % sodium azide.
-
储存液
- Sodium azide
-
注意事项
- This product contains Sodium azide: a POISONOUS AND HAZARDOUS SUBSTANCE which should be handled by trained staff only.
-
储存条件
- 4 °C,-20 °C
-
储存方法
- Store at 4°C short term. Aliquot and store at -20°C long term. Avoid freeze/thaw cycles.
-
-
- P2RY4 (Pyrimidinergic Receptor P2Y, G-Protein Coupled, 4 (P2RY4))
-
别名
- P2RY4
-
背景
-
The product of this gene belongs to the family of G-protein coupled receptors. This family has several receptor subtypes with different pharmacological selectivity, which overlaps in some cases, for various adenosine and uridine nucleotides. This receptor is responsive to uridine nucleotides, partially responsive to ATP, and not responsive to ADP.
-
分子量
- 41 kDa
抗原
-