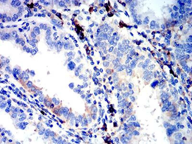
IGLC2 抗体 (AA 1-106)
Our Local Distributor
北京 101111
Quick Overview for IGLC2 抗体 (AA 1-106) (ABIN5611341)
抗原
适用
宿主
克隆类型
标记
应用范围
克隆位点
-
-
抗原表位
- AA 1-106
-
原理
- IGLC2 Antibody
-
纯化方法
- Purified antibody
-
免疫原
- Purified recombinant fragment of human IGLC2 (AA: 1-106) expressed in E. Coli.
-
亚型
- IgG1
-
-
-
-
应用备注
- ELISA: 1/10000
-
限制
- 仅限研究用
-
-
-
状态
- Liquid
-
缓冲液
- Purified antibody in PBS with 0.05 % sodium azide.
-
储存液
- Sodium azide
-
注意事项
- This product contains Sodium azide: a POISONOUS AND HAZARDOUS SUBSTANCE which should be handled by trained staff only.
-
储存条件
- 4 °C,-20 °C
-
储存方法
- Store at 4°C short term. Aliquot and store at -20°C long term. Avoid freeze/thaw cycles.
-
-
- IGLC2 (Immunoglobulin lambda Constant 2 (Kern-Oz- Marker) (IGLC2))
-
别名
- IGLC2
-
背景
-
IGLC2 (Immunoglobulin Lambda Constant 2) is a Protein Coding gene. Among its related pathways are Interleukin-3, 5 and GM-CSF signaling and Vesicle-mediated transport. GO annotations related to this gene include antigen binding. An important paralog of this gene is IGLC3.
-
分子量
- 11.3 kDa
-
基因ID
- 3538
-
UniProt
- P0DOY2
抗原
-