电话:
+86 (0512) 65829739
传真:
+86 (010) 6788 5057
电子邮件:
orders@antibodies-online.cn

CCR5 抗体

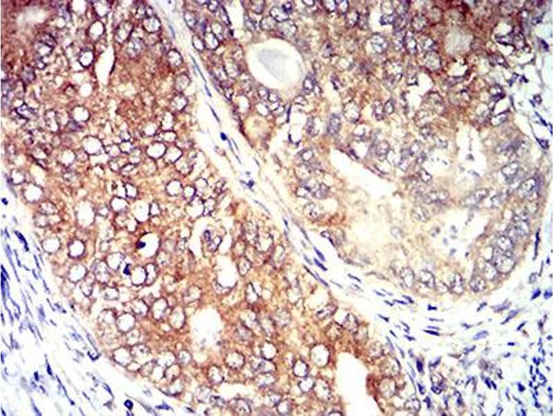
The 小鼠 单克隆 anti-CCR5 antibody is suitable to detect CCR5 in samples from 人 和 大鼠. It has been validated for WB, ELISA, FACS 和 IHC.
产品编号 ABIN5611203
发货至: 中国
Contact our Customer Service for availability and price in your country. Contact Info

Our Local Distributor

中国
北京 101111
No. 88 KeChuang 6th Street
Beijing Economic Technological Development Area
Room 801-803
4A Biotech Co.,Ltd.
Tel +86 (0512) 65829739 传真 +86 (010) 6788 5057

Quick Overview for CCR5 抗体 (ABIN5611203)

抗原

See all CCR5 抗体
CCR5 (Chemokine (C-C Motif) Receptor 5 (CCR5))

适用

  • 170
  • 49
  • 41
  • 11
  • 3
  • 2
  • 1
  • 1
  • 1
人, 大鼠

宿主

  • 110
  • 44
  • 14
  • 12
  • 1
  • 1
小鼠

克隆类型

  • 107
  • 66
  • 5
单克隆

标记

  • 98
  • 15
  • 10
  • 8
  • 6
  • 3
  • 2
  • 2
  • 2
  • 2
  • 2
  • 2
  • 2
  • 2
  • 2
  • 1
  • 1
  • 1
  • 1
  • 1
  • 1
  • 1
  • 1
  • 1
  • 1
  • 1
  • 1
  • 1
  • 1
  • 1
  • 1
  • 1
  • 1
  • 1
  • 1
  • 1
  • 1
This CCR5 antibody is un-conjugated

应用范围

  • 93
  • 79
  • 69
  • 29
  • 23
  • 22
  • 13
  • 13
  • 11
  • 11
  • 8
  • 4
  • 2
  • 2
  • 2
  • 1
  • 1
  • 1
Western Blotting (WB), ELISA, Flow Cytometry (FACS), Immunohistochemistry (IHC)

克隆位点

6G11D1
  • 原理

    CD195 Antibody

    纯化方法

    Purified antibody

    免疫原

    Purified recombinant fragment of human CD195 (AA: mix) expressed in E. Coli.

    亚型

    IgG1
  • 应用备注

    ELISA: 1/10000

    FCM: 1/200 - 1/400

    限制

    仅限研究用
  • 状态

    Liquid

    缓冲液

    Purified antibody in PBS with 0.05 % sodium azide.

    储存液

    Sodium azide

    注意事项

    This product contains Sodium azide: a POISONOUS AND HAZARDOUS SUBSTANCE which should be handled by trained staff only.

    储存条件

    4 °C,-20 °C

    储存方法

    Store at 4°C short term. Aliquot and store at -20°C long term. Avoid freeze/thaw cycles.
  • 抗原

    CCR5 (Chemokine (C-C Motif) Receptor 5 (CCR5))

    别名

    CD195

    背景

    This gene encodes a member of the beta chemokine receptor family, which is predicted to be a seven transmembrane protein similar to G protein-coupled receptors. This protein is expressed by T cells and macrophages, and is known to be an important co-receptor for macrophage-tropic virus, including HIV, to enter host cells. Defective alleles of this gene have been associated with the HIV infection resistance. The ligands of this receptor include monocyte chemoattractant protein 2 (MCP-2), macrophage inflammatory protein 1 alpha (MIP-1 alpha), macrophage inflammatory protein 1 beta (MIP-1 beta) and regulated on activation normal T expressed and secreted protein (RANTES). Expression of this gene was also detected in a promyeloblastic cell line, suggesting that this protein may play a role in granulocyte lineage proliferation and differentiation. This gene is located at the chemokine receptor gene cluster region. An allelic polymorphism in this gene results in both functional and non-functional alleles, the reference genome represents the functional allele. Two transcript variants encoding the same protein have been found for this gene.

    分子量

    40.5 kDa

    基因ID

    1234

    UniProt

    P51681

    途径

    Cellular Response to Molecule of Bacterial Origin, cAMP Metabolic Process, Regulation of Cell Size
You are here: