电话:
+86 (0512) 65829739
传真:
+86 (010) 6788 5057
电子邮件:
orders@antibodies-online.cn

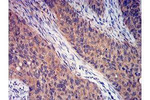
Metabotropic Glutamate Receptor 3 抗体 (AA 433-576)

The 小鼠 单克隆 anti-Metabotropic Glutamate Receptor 3 antibody (Clone 7A5A6) (ABIN5611177) specifically detects Metabotropic Glutamate Receptor 3 in ELISA, IHC, FACS 和 ICC. The antibody is reactive with 人 samples.
产品编号 ABIN5611177
发货至: 中国
Contact our Customer Service for availability and price in your country. Contact Info

Our Local Distributor

中国
北京 101111
No. 88 KeChuang 6th Street
Beijing Economic Technological Development Area
Room 801-803
4A Biotech Co.,Ltd.
Tel +86 (0512) 65829739 传真 +86 (010) 6788 5057

Quick Overview for Metabotropic Glutamate Receptor 3 抗体 (AA 433-576) (ABIN5611177)

抗原

See all Metabotropic Glutamate Receptor 3 (GRM3) 抗体
Metabotropic Glutamate Receptor 3 (GRM3) (Glutamate Receptor, Metabotropic 3 (GRM3))

适用

  • 34
  • 32
  • 15
  • 8
  • 5
  • 4
  • 4
  • 3
  • 3
  • 2
  • 2
  • 2

宿主

  • 49
  • 1
  • 1
小鼠

克隆类型

  • 48
  • 3
单克隆

标记

  • 25
  • 3
  • 3
  • 3
  • 2
  • 1
  • 1
  • 1
  • 1
  • 1
  • 1
  • 1
  • 1
  • 1
  • 1
  • 1
  • 1
  • 1
  • 1
  • 1
This Metabotropic Glutamate Receptor 3 antibody is un-conjugated

应用范围

  • 44
  • 18
  • 16
  • 11
  • 6
  • 4
  • 3
  • 3
  • 2
  • 1
ELISA, Immunohistochemistry (IHC), Flow Cytometry (FACS), Immunocytochemistry (ICC)

克隆位点

7A5A6
  • 抗原表位

    • 16
    • 9
    • 5
    • 4
    • 2
    • 1
    • 1
    • 1
    • 1
    • 1
    • 1
    • 1
    • 1
    • 1
    • 1
    AA 433-576

    原理

    GRM3 Antibody

    纯化方法

    Purified antibody

    免疫原

    Purified recombinant fragment of human GRM3 (AA: 433-576) expressed in E. Coli.

    亚型

    IgG2a
  • 应用备注

    ELISA: 1/10000

    FCM: 1/200 - 1/400

    ICC: 1/200 - 1/1000

    限制

    仅限研究用
  • 状态

    Liquid

    缓冲液

    Purified antibody in PBS with 0.05 % sodium azide.

    储存液

    Sodium azide

    注意事项

    This product contains Sodium azide: a POISONOUS AND HAZARDOUS SUBSTANCE which should be handled by trained staff only.

    储存条件

    4 °C,-20 °C

    储存方法

    Store at 4°C short term. Aliquot and store at -20°C long term. Avoid freeze/thaw cycles.
  • 抗原

    Metabotropic Glutamate Receptor 3 (GRM3) (Glutamate Receptor, Metabotropic 3 (GRM3))

    别名

    GRM3

    背景

    L-glutamate is the major excitatory neurotransmitter in the central nervous system and activates both ionotropic and metabotropic glutamate receptors. Glutamatergic neurotransmission is involved in most aspects of normal brain function and can be perturbed in many neuropathologic conditions. The metabotropic glutamate receptors are a family of G protein-coupled receptors, that have been divided into 3 groups on the basis of sequence homology, putative signal transduction mechanisms, and pharmacologic properties. Group I includes GRM1 and GRM5 and these receptors have been shown to activate phospholipase C. Group II includes GRM2 and GRM3 while Group III includes GRM4, GRM6, GRM7 and GRM8. Group II and III receptors are linked to the inhibition of the cyclic AMP cascade but differ in their agonist selectivities.

    分子量

    99 kDa

    基因ID

    2913

    UniProt

    Q14832

    途径

    cAMP Metabolic Process, Synaptic Membrane
You are here: