电话:
+86 (0512) 65829739
传真:
+86 (010) 6788 5057
电子邮件:
orders@antibodies-online.cn

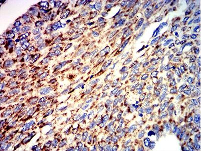
ATPase Inhibitory Factor 1 抗体 (AA 1-106)

The 小鼠 单克隆 anti-ATPase Inhibitory Factor 1 antibody is suitable to detect ATPase Inhibitory Factor 1 in samples from 人. It has been validated for ELISA, IHC, FACS 和 ICC.
产品编号 ABIN5611125
发货至: 中国
Contact our Customer Service for availability and price in your country. Contact Info

Our Local Distributor

中国
北京 101111
No. 88 KeChuang 6th Street
Beijing Economic Technological Development Area
Room 801-803
4A Biotech Co.,Ltd.
Tel +86 (0512) 65829739 传真 +86 (010) 6788 5057

Quick Overview for ATPase Inhibitory Factor 1 抗体 (AA 1-106) (ABIN5611125)

抗原

See all ATPase Inhibitory Factor 1 (ATPIF1) 抗体
ATPase Inhibitory Factor 1 (ATPIF1)

适用

  • 26
  • 17
  • 3
  • 2
  • 2
  • 2
  • 2
  • 2
  • 2
  • 1
  • 1
  • 1
  • 1
  • 1

宿主

  • 38
  • 4
小鼠

克隆类型

  • 40
  • 2
单克隆

标记

  • 16
  • 3
  • 2
  • 2
  • 1
  • 1
  • 1
  • 1
  • 1
  • 1
  • 1
  • 1
  • 1
  • 1
  • 1
  • 1
  • 1
  • 1
  • 1
  • 1
  • 1
  • 1
  • 1
This ATPase Inhibitory Factor 1 antibody is un-conjugated

应用范围

ELISA, Immunohistochemistry (IHC), Flow Cytometry (FACS), Immunocytochemistry (ICC)

克隆位点

1F3B8
You are here: