电话:
+86 (0512) 65829739
传真:
+86 (010) 6788 5057
电子邮件:
orders@antibodies-online.cn

Collagen Type V 抗体

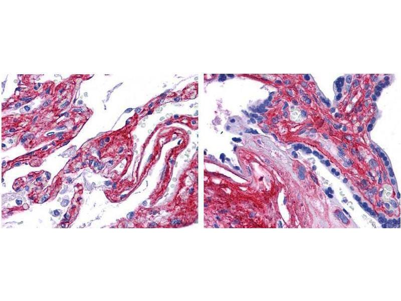
The 兔 多克隆 anti-Collagen Type V antibody (ABIN5596840) specifically detects Collagen Type V in WB, ELISA, IHC, IP 和 DB. The antibody is reactive with 人 和 Cow samples.
Rockland
产品编号 ABIN5596840
Supplier Product No.: 600-401-107-0.5
发货至: 中国
Contact our Customer Service for availability and price in your country. Contact Info

Our Local Distributor

中国
北京 101111
No. 88 KeChuang 6th Street
Beijing Economic Technological Development Area
Room 801-803
4A Biotech Co.,Ltd.
Tel +86 (0512) 65829739 传真 +86 (010) 6788 5057

Quick Overview for Collagen Type V 抗体 (ABIN5596840)

抗原

See all Collagen Type V (COL5) 抗体
Collagen Type V (COL5) (Collagen, Type V (COL5))

适用

  • 24
  • 6
  • 5
  • 4
  • 2
  • 1
  • 1
人, Cow

宿主

  • 15
  • 9
  • 5

克隆类型

  • 24
  • 5
多克隆

标记

  • 22
  • 5
  • 1
  • 1
This Collagen Type V antibody is un-conjugated

应用范围

  • 20
  • 19
  • 14
  • 11
  • 9
  • 8
  • 6
  • 6
  • 5
  • 3
  • 2
  • 1
  • 1
  • 1
  • 1
Western Blotting (WB), ELISA, Immunohistochemistry (IHC), Immunoprecipitation (IP), Dot Blot (DB)
  • Supplier Product No.

    600-401-107-0.5

    Supplier

    Rockland

    原理

    Collagen Type V Antibody

    交叉反应 (详细)

    Some class specific anti-collagens may be specific for three-dimensional epitopes which may result in diminished reactivity with denatured collagen or formalin-fixed, paraffin embedded tissues.

    产品特性

    Synonyms: rabbit anti-Collagen Type V antibody, COL5A1 protein antibody, Collagen fetal membrane A polypeptide antibody, Collagen alpha-1 (V) chain

    纯化方法

    This product has been prepared by immunoaffinity chromatography using immobilized antigens followed by extensive cross-adsorption against other collagens, human serum proteins and non-collagen extracellular matrix proteins to remove any unwanted specificities.

    过滤

    Sterile filtered

    免疫原

    Immunogen: Collagen Type V from human and bovine placenta

    Immunogen Type: Native Protein

    亚型

    IgG
  • 应用备注

    Immunohistochemistry Dilution: 1:50 - 1:200

    Application Note: Anti-Collagen Type V has been tested by dot blot and IHC and is suitable by indirect trapping ELISA for quantitation of antigen in serum using a standard curve, immunoprecipitation, immunohistochemistry, native (non-denaturing, non-dissociating) PAGE, and western blotting for highly sensitive qualitative analysis.

    Western Blot Dilution: 1:1,000 - 1:10,000

    Immunoprecipitation Dilution: 1:100

    ELISA Dilution: 1:5,000 - 1:50,000

    Other: User Optimized

    限制

    仅限研究用
  • 状态

    Liquid

    浓度

    1.0 mg/mL

    缓冲液

    Buffer: 0.02 M Potassium Phosphate, 0.15 M Sodium Chloride, pH 7.2

    Stabilizer: None

    Preservative: 0.01 % (w/v) Sodium Azide

    储存液

    Sodium azide

    注意事项

    This product contains Sodium azide: a POISONOUS AND HAZARDOUS SUBSTANCE which should be handled by trained staff only.

    储存条件

    4 °C,-20 °C

    储存方法

    Store vial at 4° C prior to opening.  This product is stable at 4° C as an undiluted liquid.  Dilute only prior to immediate use.  For extended storage, mix with an equal volume of glycerol, aliquot contents and freeze at -20° C or below.  Avoid cycles of freezing and thawing. 

    有效期

    12 months
  • 抗原

    Collagen Type V (COL5) (Collagen, Type V (COL5))

    别名

    Collagen Type V

    背景

    Background: Collagens are highly conserved throughout evolution and are characterized by an uninterrupted ''Glycine-X-Y'' triplet repeat that is a necessary part of the triple helical structure. For these reasons, it is often extremely difficult to generate antibodies with specificities to collagens. The development of 'type' specific antibodies is dependent on NON-DENATURED three-dimensional epitopes. Rockland extensively purifies collagens for immunization from human and bovine placenta and cartilage by limited pepsin digestion and selective salt precipitation. This preparation results in a native conformation of the protein. Antibodies are isolated from rabbit antiserum and are extensively cross-adsorbed by immunoaffinity purification to produce 'type' specific antibodies. Greatly diminished reactivity and selectivity of these antibodies will result if denaturing and reducing conditions are used for SDS-PAGE and immunoblotting.

    基因ID

    50509

    NCBI登录号

    NP_056534

    UniProt

    P05997
You are here: