电话:
+86 (0512) 65829739
传真:
+86 (010) 6788 5057
电子邮件:
orders@antibodies-online.cn

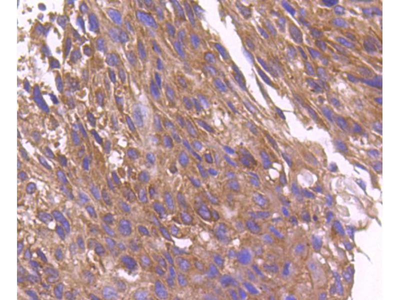
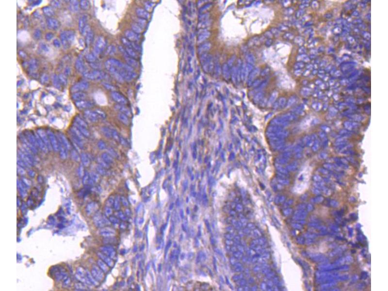
ARF1 抗体

This 兔 单克隆 antibody specifically detects ARF1 in WB 和 IF (cc). It exhibits reactivity toward 人, 大鼠 和 小鼠.
产品编号 ABIN5557419
发货至: 中国
Contact our Customer Service for availability and price in your country. Contact Info

Our Local Distributor

中国
北京 101111
No. 88 KeChuang 6th Street
Beijing Economic Technological Development Area
Room 801-803
4A Biotech Co.,Ltd.
Tel +86 (0512) 65829739 传真 +86 (010) 6788 5057

Quick Overview for ARF1 抗体 (ABIN5557419)

抗原

See all ARF1 抗体
ARF1 (ADP-Ribosylation Factor 1 (ARF1))

适用

  • 98
  • 71
  • 60
  • 4
  • 4
  • 3
  • 3
  • 3
  • 3
  • 3
  • 3
  • 2
  • 2
  • 2
  • 2
  • 2
  • 1
  • 1
  • 1
  • 1
  • 1
  • 1
  • 1
  • 1
  • 1
  • 1
  • 1
  • 1
人, 大鼠, 小鼠

宿主

  • 80
  • 33
  • 1

克隆类型

  • 60
  • 54
单克隆

标记

  • 46
  • 9
  • 6
  • 3
  • 3
  • 3
  • 3
  • 3
  • 3
  • 3
  • 2
  • 2
  • 2
  • 2
  • 2
  • 2
  • 2
  • 2
  • 2
  • 1
  • 1
  • 1
  • 1
  • 1
  • 1
  • 1
  • 1
  • 1
  • 1
  • 1
  • 1
  • 1
  • 1
This ARF1 antibody is un-conjugated

应用范围

  • 69
  • 45
  • 35
  • 32
  • 19
  • 13
  • 13
  • 12
  • 10
  • 5
  • 5
  • 3
  • 3
  • 3
  • 2
  • 2
  • 2
  • 1
  • 1
Western Blotting (WB), Immunofluorescence (Cultured Cells) (IF (cc))

克隆位点

1D4
  • 纯化方法

    Purified by Protein A.

    免疫原

    Recombinant human ARF1 protein, full length.

    亚型

    IgG
  • 应用备注

    WB 1:1000-2000
    IF(ICC) 1:50-200

    限制

    仅限研究用
  • 状态

    Liquid

    浓度

    1 μg/μL

    缓冲液

    Aqueous buffered solution containing 1xTBS ( pH 7.4), 1 % BSA, 40 %Glycerol and 0.05 % Sodium Azide.

    储存条件

    -20 °C

    储存方法

    Store at -20°C

    有效期

    12 months
  • 抗原

    ARF1 (ADP-Ribosylation Factor 1 (ARF1))

    别名

    ARF1

    背景

    GTP-binding protein that functions as an allosteric activator of the cholera toxin catalytic subunit, an ADP-ribosyltransferase. Involved in protein trafficking among different compartments. Modulates vesicle budding and uncoating within the Golgi complex. Deactivation induces the redistribution of the entire Golgi complex to the endoplasmic reticulum, suggesting a crucial role in protein trafficking. In its GTP-bound form, its triggers the association with coat proteins with the Golgi membrane. The hydrolysis of ARF1-bound GTP, which is mediated by ARFGAPs proteins, is required for dissociation of coat proteins from Golgi membranes and vesicles. The GTP-bound form interacts with PICK1 to limit PICK1-mediated inhibition of Arp2/3 complex activity, the function is linked to AMPA receptor (AMPAR) trafficking, regulation of synaptic plasicity of excitatory synapses and spine shrinkage during long-term depression (LTD).

    Synonyms: ADP-ribosylation factor 1, ARF1

    基因ID

    375

    UniProt

    P84077

    途径

    Transition Metal Ion Homeostasis, Inositol Metabolic Process
You are here: