电话:
+86 (0512) 65829739
传真:
+86 (010) 6788 5057
电子邮件:
orders@antibodies-online.cn

Cyclin B2 抗体

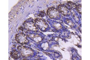
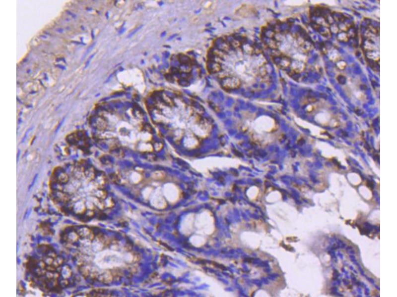
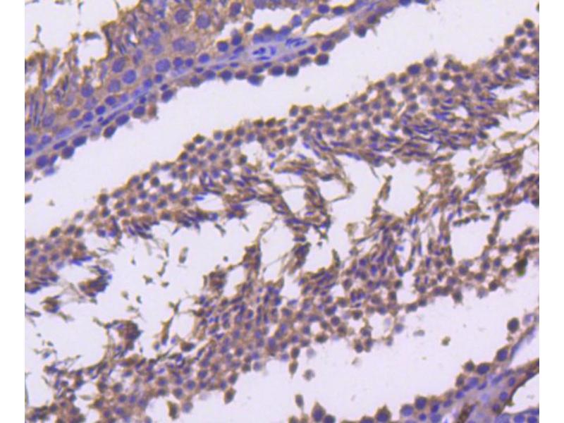
The 兔 单克隆 anti-Cyclin B2 antibody is suitable to detect Cyclin B2 in samples from 人, 小鼠 和 大鼠. It has been validated for WB, IF (cc) 和 IHC (p).
产品编号 ABIN5557369
发货至: 中国
Contact our Customer Service for availability and price in your country. Contact Info

Our Local Distributor

中国
北京 101111
No. 88 KeChuang 6th Street
Beijing Economic Technological Development Area
Room 801-803
4A Biotech Co.,Ltd.
Tel +86 (0512) 65829739 传真 +86 (010) 6788 5057

Quick Overview for Cyclin B2 抗体 (ABIN5557369)

抗原

See all Cyclin B2 (CCNB2) 抗体
Cyclin B2 (CCNB2)

适用

  • 113
  • 51
  • 34
  • 12
  • 4
  • 4
  • 4
  • 4
  • 2
  • 2
  • 2
  • 2
人, 小鼠, 大鼠

宿主

  • 112
  • 14
  • 3

克隆类型

  • 96
  • 33
单克隆

标记

  • 46
  • 12
  • 10
  • 9
  • 7
  • 7
  • 3
  • 3
  • 3
  • 3
  • 3
  • 3
  • 1
  • 1
  • 1
  • 1
  • 1
  • 1
  • 1
  • 1
  • 1
  • 1
  • 1
  • 1
  • 1
  • 1
  • 1
  • 1
  • 1
  • 1
  • 1
  • 1
This Cyclin B2 antibody is un-conjugated

应用范围

  • 58
  • 50
  • 50
  • 24
  • 18
  • 14
  • 14
  • 13
  • 13
  • 4
  • 3
  • 2
  • 1
  • 1
Western Blotting (WB), Immunofluorescence (Cultured Cells) (IF (cc)), Immunohistochemistry (Paraffin-embedded Sections) (IHC (p))

克隆位点

2F4
  • 交叉反应

    人, 小鼠, 大鼠

    纯化方法

    Purified by Protein A.

    免疫原

    Recombinant human Cyclin B2 protein, around N-terminal 150aa.

    亚型

    IgG
  • 应用备注

    WB 1:300-5000
    IHC-P 1:200-400
    IF(ICC) 1:50-200

    限制

    仅限研究用
  • 状态

    Liquid

    浓度

    1 μg/μL

    缓冲液

    Aqueous buffered solution containing 1xTBS ( pH 7.4), 1 % BSA, 40 %Glycerol and 0.05 % Sodium Azide.

    储存液

    ProClin

    注意事项

    This product contains ProClin: a POISONOUS AND HAZARDOUS SUBSTANCE, which should be handled by trained staff only.

    储存条件

    4 °C,-20 °C

    储存方法

    Shipped at 4°C. Store at -20°C for one year. Avoid repeated freeze/thaw cycles.

    有效期

    12 months
  • 抗原

    Cyclin B2 (CCNB2)

    别名

    Cyclin B2

    背景

    Synonyms: HsT17299, G2/mitotic-specific cyclin-B2, CCNB2

    Background: Essential for the control of the cell cycle at the G2/M (mitosis) transition.

    基因ID

    9133

    UniProt

    O95067

    途径

    Cell Division Cycle, M Phase
You are here: