电话:
+86 (0512) 65829739
传真:
+86 (010) 6788 5057
电子邮件:
orders@antibodies-online.cn

IRF6 抗体

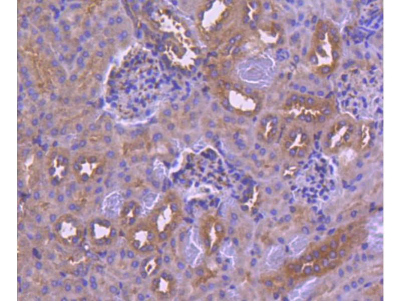
The 兔 单克隆 anti-IRF6 antibody (Clone 1A1) (ABIN5557322) specifically detects IRF6 in WB 和 IHC (p). The antibody is reactive with 人 和 小鼠 samples.
产品编号 ABIN5557322
发货至: 中国
Contact our Customer Service for availability and price in your country. Contact Info

Our Local Distributor

中国
北京 101111
No. 88 KeChuang 6th Street
Beijing Economic Technological Development Area
Room 801-803
4A Biotech Co.,Ltd.
Tel +86 (0512) 65829739 传真 +86 (010) 6788 5057

Quick Overview for IRF6 抗体 (ABIN5557322)

抗原

See all IRF6 抗体
IRF6 (Interferon Regulatory Factor 6 (IRF6))

适用

  • 81
  • 60
  • 49
  • 13
  • 8
  • 8
  • 8
  • 6
  • 6
  • 6
  • 6
  • 6
  • 4
  • 4
  • 2
  • 1
人, 小鼠

宿主

  • 74
  • 8
  • 1

克隆类型

  • 58
  • 25
单克隆

标记

  • 36
  • 5
  • 4
  • 4
  • 4
  • 4
  • 4
  • 4
  • 3
  • 2
  • 1
  • 1
  • 1
  • 1
  • 1
  • 1
  • 1
  • 1
  • 1
  • 1
  • 1
  • 1
  • 1
This IRF6 antibody is un-conjugated

应用范围

  • 57
  • 23
  • 18
  • 15
  • 13
  • 6
  • 5
  • 4
  • 1
  • 1
Western Blotting (WB), Immunohistochemistry (Paraffin-embedded Sections) (IHC (p))

克隆位点

1A1
  • 交叉反应

    人, 小鼠

    纯化方法

    Purified by Protein A.

    免疫原

    Recombinant human IRF6 protein, around C-terminal 150aa.

    亚型

    IgG
  • 应用备注

    WB 1:300-5000
    IHC-P 1:200-400

    限制

    仅限研究用
  • 状态

    Liquid

    浓度

    1 μg/μL

    缓冲液

    Aqueous buffered solution containing 1xTBS ( pH 7.4), 1 % BSA, 40 %Glycerol and 0.05 % Sodium Azide.

    储存液

    ProClin

    注意事项

    This product contains ProClin: a POISONOUS AND HAZARDOUS SUBSTANCE, which should be handled by trained staff only.

    储存条件

    4 °C,-20 °C

    储存方法

    Shipped at 4°C. Store at -20°C for one year. Avoid repeated freeze/thaw cycles.

    有效期

    12 months
  • 抗原

    IRF6 (Interferon Regulatory Factor 6 (IRF6))

    别名

    IRF6

    背景

    Synonyms: Interferon regulatory factor 6, IRF6

    Background: Probable DNA-binding transcriptional activator. Key determinant of the keratinocyte proliferation-differentiation switch involved in appropriate epidermal development (By similarity). Plays a role in regulating mammary epithelial cell proliferation (By similarity). May regulate WDR65 transcription (By similarity).

    基因ID

    3664

    UniProt

    O14896
You are here: