电话:
+86 (0512) 65829739
传真:
+86 (010) 6788 5057
电子邮件:
orders@antibodies-online.cn

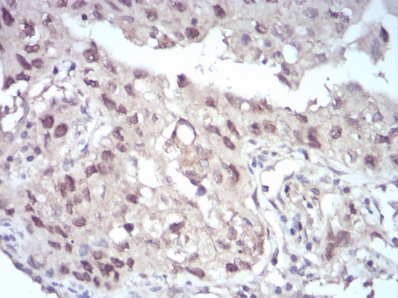
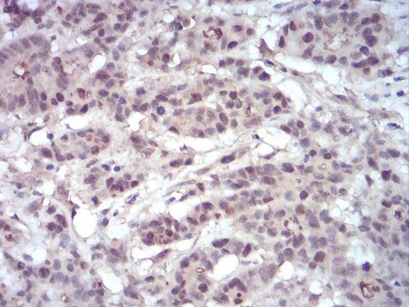
EZH2 抗体 (AA 1-194)

This 小鼠 单克隆 antibody specifically detects EZH2 in IHC, ELISA 和 FACS. It exhibits reactivity toward 人.
产品编号 ABIN5542715
发货至: 中国
Contact our Customer Service for availability and price in your country. Contact Info

Our Local Distributor

中国
北京 101111
No. 88 KeChuang 6th Street
Beijing Economic Technological Development Area
Room 801-803
4A Biotech Co.,Ltd.
Tel +86 (0512) 65829739 传真 +86 (010) 6788 5057

Quick Overview for EZH2 抗体 (AA 1-194) (ABIN5542715)

抗原

See all EZH2 抗体
EZH2 (Enhancer of Zeste Homolog 2 (EZH2))

适用

  • 143
  • 66
  • 32
  • 9
  • 4
  • 4
  • 2
  • 2
  • 2
  • 2
  • 2
  • 1
  • 1
  • 1
  • 1

宿主

  • 110
  • 34
  • 1
小鼠

克隆类型

  • 76
  • 69
单克隆

标记

  • 75
  • 9
  • 4
  • 4
  • 4
  • 4
  • 4
  • 4
  • 4
  • 4
  • 4
  • 3
  • 2
  • 2
  • 1
  • 1
  • 1
  • 1
  • 1
  • 1
  • 1
  • 1
  • 1
  • 1
  • 1
  • 1
  • 1
  • 1
  • 1
  • 1
  • 1
  • 1
This EZH2 antibody is un-conjugated

应用范围

  • 102
  • 59
  • 43
  • 38
  • 38
  • 36
  • 15
  • 14
  • 13
  • 12
  • 5
  • 3
  • 2
  • 2
  • 2
  • 1
Immunohistochemistry (IHC), ELISA, Flow Cytometry (FACS)

克隆位点

6G4F4
  • 抗原表位

    • 16
    • 15
    • 8
    • 4
    • 3
    • 2
    • 2
    • 2
    • 2
    • 2
    • 2
    • 2
    • 1
    • 1
    • 1
    • 1
    • 1
    • 1
    • 1
    • 1
    • 1
    • 1
    • 1
    • 1
    • 1
    AA 1-194

    原理

    EZH2 Antibody

    纯化方法

    Purified antibody

    免疫原

    Purified recombinant fragment of human EZH2 (AA: 1-194) expressed in E. Coli.

    亚型

    IgG1
  • 应用备注

    ELISA: 1/10000

    FCM: 1/200 - 1/400

    限制

    仅限研究用
  • 状态

    Liquid

    缓冲液

    Purified antibody in PBS with 0.05 % sodium azide.

    储存液

    Sodium azide

    注意事项

    This product contains Sodium azide: a POISONOUS AND HAZARDOUS SUBSTANCE which should be handled by trained staff only.

    储存条件

    4 °C,-20 °C

    储存方法

    Store at 4°C short term. Aliquot and store at -20°C long term. Avoid freeze/thaw cycles.
  • 抗原

    EZH2 (Enhancer of Zeste Homolog 2 (EZH2))

    别名

    EZH2

    背景

    This gene encodes a member of the Polycomb-group (PcG) family. PcG family members form multimeric protein complexes, which are involved in maintaining the transcriptional repressive state of genes over successive cell generations. This protein associates with the embryonic ectoderm development protein, the VAV1 oncoprotein, and the X-linked nuclear protein. This protein may play a role in the hematopoietic and central nervous systems. Multiple alternatively splcied transcript variants encoding distinct isoforms have been identified for this gene.

    分子量

    85.4 kDa

    基因ID

    2146

    UniProt

    Q15910

    途径

    Retinoic Acid Receptor Signaling Pathway, Regulation of Muscle Cell Differentiation
You are here: