电话:
+86 (0512) 65829739
传真:
+86 (010) 6788 5057
电子邮件:
orders@antibodies-online.cn

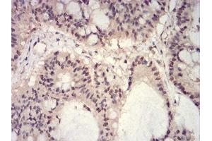
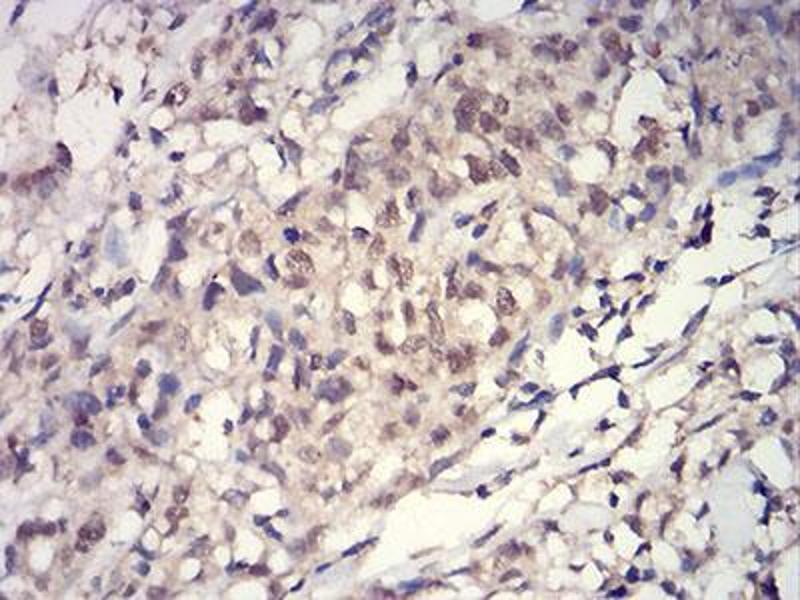
Histone Cluster 2, H3c (HIST2H3C) (acLys27) 抗体

This 小鼠 单克隆 antibody specifically detects Histone Cluster 2, H3c in IHC, ELISA 和 FACS. It exhibits reactivity toward 人.
产品编号 ABIN5542709
发货至: 中国
Contact our Customer Service for availability and price in your country. Contact Info

Our Local Distributor

中国
北京 101111
No. 88 KeChuang 6th Street
Beijing Economic Technological Development Area
Room 801-803
4A Biotech Co.,Ltd.
Tel +86 (0512) 65829739 传真 +86 (010) 6788 5057

Quick Overview for Histone Cluster 2, H3c (HIST2H3C) (acLys27) 抗体 (ABIN5542709)

抗原

Histone Cluster 2, H3c (HIST2H3C)

适用

宿主

  • 3
  • 1
小鼠

克隆类型

  • 3
  • 1
单克隆

标记

  • 4
非结合性

应用范围

  • 4
  • 4
  • 3
  • 3
  • 1
  • 1
  • 1
  • 1
Immunohistochemistry (IHC), ELISA, Flow Cytometry (FACS)

克隆位点

2D7B3
  • 抗原表位

    • 2
    • 1
    • 1
    acLys27

    原理

    HIST2H3C (27Ac) Antibody

    纯化方法

    Purified antibody

    免疫原

    Synthesized peptide of human HIST2H3C (AA: ATKAARK(Ac)SAPATGGV) .

    亚型

    IgG1
  • 应用备注

    ELISA: 1/10000

    FCM: 1/200 - 1/400

    限制

    仅限研究用
  • 状态

    Liquid

    缓冲液

    Purified antibody in PBS with 0.05 % sodium azide.

    储存液

    Sodium azide

    注意事项

    This product contains Sodium azide: a POISONOUS AND HAZARDOUS SUBSTANCE which should be handled by trained staff only.

    储存条件

    4 °C,-20 °C

    储存方法

    Store at 4°C short term. Aliquot and store at -20°C long term. Avoid freeze/thaw cycles.
  • 抗原

    Histone Cluster 2, H3c (HIST2H3C)

    别名

    HIST2H3C

    背景

    Histones are basic nuclear proteins that are responsible for the nucleosome structure of the chromosomal fiber in eukaryotes. This structure consists of approximately 146 bp of DNA wrapped around a nucleosome, an octamer composed of pairs of each of the four core histones (H2A, H2B, H3, and H4). The chromatin fiber is further compacted through the interaction of a linker histone, H1, with the DNA between the nucleosomes to form higher order chromatin structures. This gene is intronless and encodes a member of the histone H3 family. Transcripts from this gene lack polyA tails, instead, they contain a palindromic termination element. This gene is found in a histone cluster on chromosome 1. This gene is one of four histone genes in the cluster that are duplicated, this record represents the telomeric copy.

    分子量

    15.4 kDa

    基因ID

    126961

    UniProt

    Q71DI3
You are here: