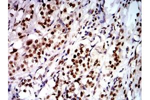
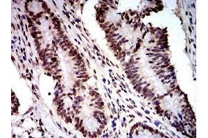
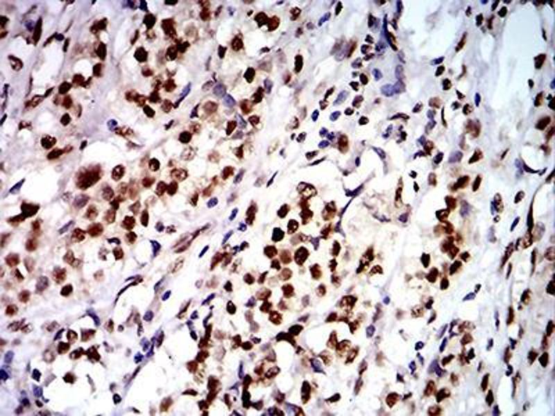
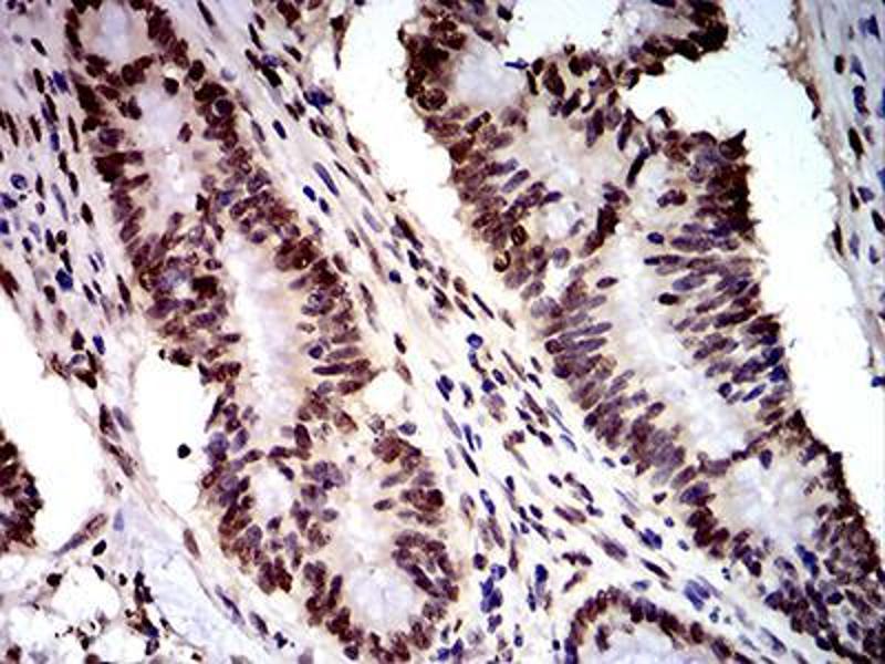
DDX1 抗体 (AA 642-740)
Our Local Distributor
北京 101111
Quick Overview for DDX1 抗体 (AA 642-740) (ABIN5542505)
抗原
See all DDX1 抗体适用
宿主
克隆类型
标记
应用范围
克隆位点
-
-
抗原表位
- AA 642-740
-
原理
- DDX1 Antibody
-
纯化方法
- Purified antibody
-
免疫原
- Purified recombinant fragment of human DDX1 (AA: 642-740) expressed in E. Coli.
-
亚型
- IgG1
-
-
-
-
应用备注
-
ELISA: 1/10000
FCM: 1/200 - 1/400
ICC: 1/200 - 1/1000
-
限制
- 仅限研究用
-
-
-
状态
- Liquid
-
缓冲液
- Purified antibody in PBS with 0.05 % sodium azide.
-
储存液
- Sodium azide
-
注意事项
- This product contains Sodium azide: a POISONOUS AND HAZARDOUS SUBSTANCE which should be handled by trained staff only.
-
储存条件
- 4 °C,-20 °C
-
储存方法
- Store at 4°C short term. Aliquot and store at -20°C long term. Avoid freeze/thaw cycles.
-
-
- DDX1 (DEAD (Asp-Glu-Ala-Asp) Box Polypeptide 1 (DDX1))
-
别名
- DDX1
-
背景
-
DEAD box proteins, characterized by the conserved motif Asp-Glu-Ala-Asp (DEAD), are putative RNA helicases. They are implicated in a number of cellular processes involving alteration of RNA secondary structure such as translation initiation, nuclear and mitochondrial splicing, and ribosome and spliceosome assembly. Based on their distribution patterns, some members of this family are believed to be involved in embryogenesis, spermatogenesis, and cellular growth and division. This gene encodes a DEAD box protein of unknown function. It shows high transcription levels in 2 retinoblastoma cell lines and in tissues of neuroectodermal origin.
-
分子量
- 82.4 kDa
-
基因ID
- 1653
-
UniProt
- Q92499
-
途径
- Ribonucleoprotein Complex Subunit Organization
抗原
-