电话:
+86 (0512) 65829739
传真:
+86 (010) 6788 5057
电子邮件:
orders@antibodies-online.cn

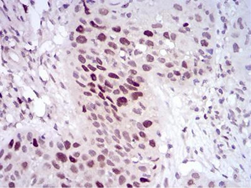
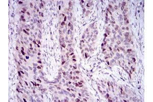
HDAC10 抗体 (AA 18-219)

The 小鼠 单克隆 anti-HDAC10 antibody is suitable to detect HDAC10 in samples from 人. It has been validated for ELISA 和 IHC.
产品编号 ABIN5542323
发货至: 中国
Contact our Customer Service for availability and price in your country. Contact Info

Our Local Distributor

中国
北京 101111
No. 88 KeChuang 6th Street
Beijing Economic Technological Development Area
Room 801-803
4A Biotech Co.,Ltd.
Tel +86 (0512) 65829739 传真 +86 (010) 6788 5057

Quick Overview for HDAC10 抗体 (AA 18-219) (ABIN5542323)

抗原

See all HDAC10 抗体
HDAC10 (Histone Deacetylase 10 (HDAC10))

适用

  • 77
  • 41
  • 23
  • 4

宿主

  • 68
  • 9
小鼠

克隆类型

  • 51
  • 26
单克隆

标记

  • 36
  • 6
  • 4
  • 4
  • 2
  • 2
  • 2
  • 2
  • 2
  • 2
  • 1
  • 1
  • 1
  • 1
  • 1
  • 1
  • 1
  • 1
  • 1
  • 1
  • 1
  • 1
  • 1
  • 1
  • 1
This HDAC10 antibody is un-conjugated

应用范围

  • 47
  • 28
  • 20
  • 18
  • 13
  • 13
  • 13
  • 11
  • 6
  • 5
  • 3
  • 2
  • 1
  • 1
ELISA, Immunohistochemistry (IHC)

克隆位点

3B6B8
  • 抗原表位

    • 15
    • 9
    • 8
    • 8
    • 1
    • 1
    • 1
    • 1
    • 1
    • 1
    • 1
    • 1
    AA 18-219

    原理

    HDAC10 Antibody

    纯化方法

    Purified antibody

    免疫原

    Purified recombinant fragment of human HDAC10 (AA: 18-219) expressed in E. Coli.

    亚型

    IgG2a
  • 应用备注

    ELISA: 1/10000

    限制

    仅限研究用
  • 状态

    Liquid

    缓冲液

    Purified antibody in PBS with 0.05 % sodium azide.

    储存液

    Sodium azide

    注意事项

    This product contains Sodium azide: a POISONOUS AND HAZARDOUS SUBSTANCE which should be handled by trained staff only.

    储存条件

    4 °C,-20 °C

    储存方法

    Store at 4°C short term. Aliquot and store at -20°C long term. Avoid freeze/thaw cycles.
  • 抗原

    HDAC10 (Histone Deacetylase 10 (HDAC10))

    别名

    HDAC10

    背景

    The protein encoded by this gene belongs to the histone deacetylase family, members of which deacetylate lysine residues on the N-terminal part of the core histones. Histone deacetylation modulates chromatin structure, and plays an important role in transcriptional regulation, cell cycle progression, and developmental events. Alternatively spliced transcript variants encoding different isoforms have been found for this gene.

    分子量

    71.4 kDa

    基因ID

    83933

    UniProt

    Q969S8
You are here: