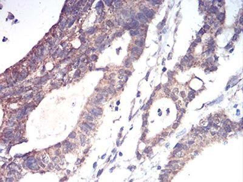
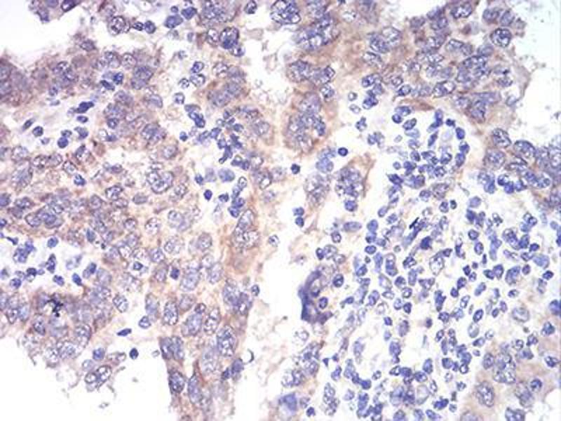
ALDH6A1 抗体 (AA 1-195)
Our Local Distributor
北京 101111
Quick Overview for ALDH6A1 抗体 (AA 1-195) (ABIN5542265)
抗原
See all ALDH6A1 抗体适用
宿主
克隆类型
标记
应用范围
克隆位点
-
-
抗原表位
- AA 1-195
-
原理
- ALDH6A1 Antibody
-
纯化方法
- Purified antibody
-
免疫原
- Purified recombinant fragment of human ALDH6A1 (AA: 1-195) expressed in E. Coli.
-
亚型
- IgG1
-
-
-
-
应用备注
-
ELISA: 1/10000
FCM: 1/200 - 1/400
ICC: 1/200 - 1/1000
-
限制
- 仅限研究用
-
-
-
状态
- Liquid
-
缓冲液
- Purified antibody in PBS with 0.05 % sodium azide.
-
储存液
- Sodium azide
-
注意事项
- This product contains Sodium azide: a POISONOUS AND HAZARDOUS SUBSTANCE which should be handled by trained staff only.
-
储存条件
- 4 °C,-20 °C
-
储存方法
- Store at 4°C short term. Aliquot and store at -20°C long term. Avoid freeze/thaw cycles.
-
-
- ALDH6A1 (Aldehyde Dehydrogenase 6 Family, Member A1 (ALDH6A1))
-
别名
- ALDH6A1
-
背景
-
This gene encodes a member of the aldehyde dehydrogenase protein family. The encoded protein is a mitochondrial methylmalonate semialdehyde dehydrogenase that plays a role in the valine and pyrimidine catabolic pathways. This protein catalyzes the irreversible oxidative decarboxylation of malonate and methylmalonate semialdehydes to acetyl- and propionyl-CoA. Methylmalonate semialdehyde dehydrogenase deficiency is characterized by elevated beta-alanine, 3-hydroxypropionic acid, and both isomers of 3-amino and 3-hydroxyisobutyric acids in urine organic acids. Alternate splicing results in multiple transcript variants.
-
分子量
- 57.8 kDa
-
基因ID
- 4329
-
UniProt
- Q02252
-
途径
- Brown Fat Cell Differentiation
抗原
-