电话:
+86 (0512) 65829739
传真:
+86 (010) 6788 5057
电子邮件:
orders@antibodies-online.cn

XRN2 抗体 (AA 398-547)

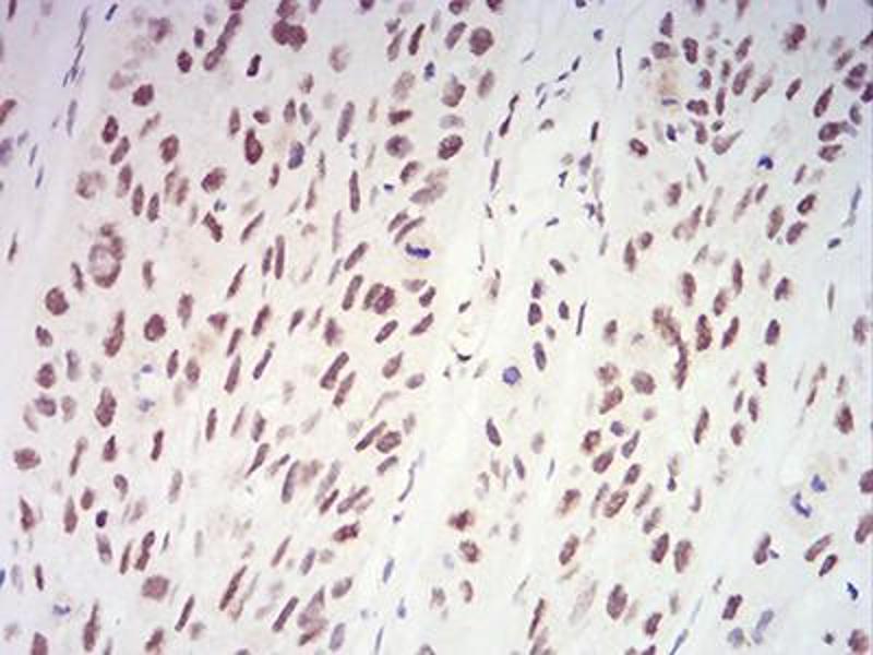
The 小鼠 单克隆 anti-XRN2 antibody (Clone 9F7G11) (ABIN5542261) specifically detects XRN2 in WB, ELISA 和 IHC. The antibody is reactive with 人 samples.
产品编号 ABIN5542261
发货至: 中国
Contact our Customer Service for availability and price in your country. Contact Info

Our Local Distributor

中国
北京 101111
No. 88 KeChuang 6th Street
Beijing Economic Technological Development Area
Room 801-803
4A Biotech Co.,Ltd.
Tel +86 (0512) 65829739 传真 +86 (010) 6788 5057

Quick Overview for XRN2 抗体 (AA 398-547) (ABIN5542261)

抗原

See all XRN2 抗体
XRN2 (5'-3' Exoribonuclease 2 (XRN2))

适用

  • 32
  • 12
  • 4
  • 2
  • 2
  • 2
  • 1
  • 1

宿主

  • 24
  • 9
小鼠

克隆类型

  • 24
  • 9
单克隆

标记

  • 21
  • 2
  • 1
  • 1
  • 1
  • 1
  • 1
  • 1
  • 1
  • 1
  • 1
  • 1
This XRN2 antibody is un-conjugated

应用范围

  • 24
  • 16
  • 9
  • 2
  • 2
  • 1
  • 1
  • 1
  • 1
  • 1
  • 1
Western Blotting (WB), ELISA, Immunohistochemistry (IHC)

克隆位点

9F7G11
  • 抗原表位

    • 8
    • 4
    • 2
    • 2
    • 1
    • 1
    • 1
    • 1
    • 1
    • 1
    • 1
    AA 398-547

    原理

    XRN2 Antibody

    纯化方法

    Purified antibody

    免疫原

    Purified recombinant fragment of human XRN2 (AA: 398-547) expressed in E. Coli.

    亚型

    IgG1
  • 应用备注

    ELISA: 1/10000

    限制

    仅限研究用
  • 状态

    Liquid

    缓冲液

    Purified antibody in PBS with 0.05 % sodium azide.

    储存液

    Sodium azide

    注意事项

    This product contains Sodium azide: a POISONOUS AND HAZARDOUS SUBSTANCE which should be handled by trained staff only.

    储存条件

    4 °C,-20 °C

    储存方法

    Store at 4°C short term. Aliquot and store at -20°C long term. Avoid freeze/thaw cycles.
  • 抗原

    XRN2 (5'-3' Exoribonuclease 2 (XRN2))

    别名

    XRN2

    背景

    This gene encodes a 5'-3' exonuclease that promotes transcription termination at cotranscriptional cleavage sites. Alternative splicing results in multiple transcript variants encoding different isoforms.

    分子量

    108.5 kDa

    UniProt

    Q9H0D6
You are here: