电话:
+86 (0512) 65829739
传真:
+86 (010) 6788 5057
电子邮件:
orders@antibodies-online.cn

S1PR3 抗体 (Internal Region)

The 山羊 多克隆 anti-S1PR3 antibody is suitable to detect S1PR3 in samples from 人. It has been validated for ELISA 和 IHC.
产品编号 ABIN5539719
发货至: 中国
Contact our Customer Service for availability and price in your country. Contact Info

Our Local Distributor

中国
北京 101111
No. 88 KeChuang 6th Street
Beijing Economic Technological Development Area
Room 801-803
4A Biotech Co.,Ltd.
Tel +86 (0512) 65829739 传真 +86 (010) 6788 5057

Quick Overview for S1PR3 抗体 (Internal Region) (ABIN5539719)

抗原

See all S1PR3 抗体
S1PR3 (Sphingosine-1-Phosphate Receptor 3 (S1PR3))

适用

  • 79
  • 37
  • 26
  • 3
  • 1
  • 1
  • 1

宿主

  • 71
  • 11
山羊

克隆类型

  • 58
  • 24
多克隆

标记

  • 32
  • 6
  • 4
  • 4
  • 3
  • 3
  • 2
  • 2
  • 2
  • 2
  • 2
  • 2
  • 1
  • 1
  • 1
  • 1
  • 1
  • 1
  • 1
  • 1
  • 1
  • 1
  • 1
  • 1
  • 1
  • 1
  • 1
  • 1
  • 1
  • 1
This S1PR3 antibody is un-conjugated

应用范围

  • 58
  • 25
  • 21
  • 21
  • 18
  • 16
  • 13
  • 13
  • 13
  • 3
  • 2
  • 1
  • 1
  • 1
  • 1
ELISA, Immunohistochemistry (IHC)

质量等级

Verified
  • 抗原表位

    • 16
    • 7
    • 6
    • 3
    • 3
    • 3
    • 3
    • 2
    • 1
    • 1
    • 1
    • 1
    • 1
    • 1
    • 1
    • 1
    • 1
    • 1
    Internal Region

    原理

    EDG3

    序列

    SSRKVANHNN SERS

    交叉反应

    纯化方法

    Purified from goat serum by ammonium sulphate precipitation followed by antigen affinity chromatography using the immunizing peptide.

    亚型

    IgG
  • 应用备注

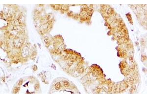
    Immunohistochemistry: In paraffin embedded Human Kidney shows membrane staining in CT. Recommended concentration, 2-4 μg/mL.

    Peptide ELISA: antibody detection limit dilution 1:16000.

    限制

    仅限研究用
  • 状态

    Liquid

    浓度

    0.5 mg/mL

    缓冲液

    Supplied at 0.5 mg/mL in Tris saline, 0.02 % sodium azide, pH 7.3 with 0.5 % bovine serum albumin.

    储存液

    Sodium azide

    注意事项

    This product contains Sodium azide: a POISONOUS AND HAZARDOUS SUBSTANCE which should be handled by trained staff only.

    注意事项

    Minimize freezing and thawing.

    储存条件

    -20 °C

    储存方法

    Aliquot and store at -20°C, with minimal freeze/thawing. A working aliquot may be refrigerated at 4°C for a few weeks and still remain viable.
  • 抗原

    S1PR3 (Sphingosine-1-Phosphate Receptor 3 (S1PR3))

    别名

    S1PR3

    背景

    S1PR3, sphingosine-1-phosphate receptor 3, EDG-3, EDG3, FLJ37523, FLJ93220, LPB3, MGC71696, S1P3, G protein-coupled receptor, endothelial differentiation gene-3, S1P receptor EDG3, endothelial differentiation, sphingolipid G-protein-coupled receptor, 3, s

    基因ID

    1903

    NCBI登录号

    NP_005217
You are here: