电话:
+86 (0512) 65829739
传真:
+86 (010) 6788 5057
电子邮件:
orders@antibodies-online.cn

SNX8 抗体 (C-Term)

This 山羊 多克隆 antibody specifically detects SNX8 in ELISA 和 IHC. It exhibits reactivity toward 人.
产品编号 ABIN5539589
发货至: 中国
Contact our Customer Service for availability and price in your country. Contact Info

Our Local Distributor

中国
北京 101111
No. 88 KeChuang 6th Street
Beijing Economic Technological Development Area
Room 801-803
4A Biotech Co.,Ltd.
Tel +86 (0512) 65829739 传真 +86 (010) 6788 5057

Quick Overview for SNX8 抗体 (C-Term) (ABIN5539589)

抗原

See all SNX8 抗体
SNX8 (Sorting Nexin 8 (SNX8))

适用

  • 30
  • 12
  • 2
  • 1

宿主

  • 23
  • 7
山羊

克隆类型

  • 24
  • 6
多克隆

标记

  • 18
  • 2
  • 1
  • 1
  • 1
  • 1
  • 1
  • 1
  • 1
  • 1
  • 1
  • 1
This SNX8 antibody is un-conjugated

应用范围

  • 21
  • 12
  • 5
  • 4
  • 3
  • 1
ELISA, Immunohistochemistry (IHC)

质量等级

Verified
  • 抗原表位

    • 8
    • 3
    • 2
    • 1
    • 1
    • 1
    • 1
    • 1
    C-Term

    原理

    SNX8

    序列

    TPPCSPPEDG LCPH

    交叉反应

    纯化方法

    Purified from goat serum by ammonium sulphate precipitation followed by antigen affinity chromatography using the immunizing peptide.

    亚型

    IgG
  • 应用备注

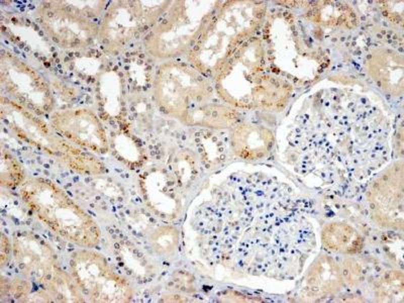
    Immunohistochemistry: In paraffin embedded Human Kidney shows vesicular staining in the cytoplasm of preferentially DCT epithelial cells. Recommended concentration, 4-8 μg/mL.

    Peptide ELISA: antibody detection limit dilution 1:8000.

    限制

    仅限研究用
  • 状态

    Liquid

    浓度

    0.5 mg/mL

    缓冲液

    Supplied at 0.5 mg/mL in Tris saline, 0.02 % sodium azide, pH 7.3 with 0.5 % bovine serum albumin.

    储存液

    Sodium azide

    注意事项

    This product contains Sodium azide: a POISONOUS AND HAZARDOUS SUBSTANCE which should be handled by trained staff only.

    注意事项

    Minimize freezing and thawing.

    储存条件

    -20 °C

    储存方法

    Aliquot and store at -20°C, with minimal freeze/thawing. A working aliquot may be refrigerated at 4°C for a few weeks and still remain viable.
  • 抗原

    SNX8 (Sorting Nexin 8 (SNX8))

    别名

    SNX8

    背景

    SNX8, sorting nexin 8, Mvp1

    基因ID

    29886

    NCBI登录号

    NP_037453
You are here: