电话:
+86 (0512) 65829739
传真:
+86 (010) 6788 5057
电子邮件:
orders@antibodies-online.cn

ADRA1D 抗体 (N-Term)

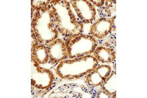
The 兔 多克隆 anti-ADRA1D antibody is suitable to detect ADRA1D in samples from 人 和 大鼠. It has been validated for WB, IHC (p) 和 FACS.
产品编号 ABIN5539092
发货至: 中国
Contact our Customer Service for availability and price in your country. Contact Info

Our Local Distributor

中国
北京 101111
No. 88 KeChuang 6th Street
Beijing Economic Technological Development Area
Room 801-803
4A Biotech Co.,Ltd.
Tel +86 (0512) 65829739 传真 +86 (010) 6788 5057

Quick Overview for ADRA1D 抗体 (N-Term) (ABIN5539092)

抗原

See all ADRA1D 抗体
ADRA1D (Adrenergic Receptor, alpha 1d (ADRA1D))

适用

  • 21
  • 13
  • 10
  • 4
  • 4
  • 3
  • 3
  • 3
  • 3
  • 3
  • 2
  • 1
  • 1
人, 大鼠

宿主

  • 22

克隆类型

  • 22
多克隆

标记

  • 15
  • 1
  • 1
  • 1
  • 1
  • 1
  • 1
  • 1
This ADRA1D antibody is un-conjugated

应用范围

  • 9
  • 8
  • 6
  • 4
  • 4
  • 3
  • 1
  • 1
Western Blotting (WB), Immunohistochemistry (Paraffin-embedded Sections) (IHC (p)), Flow Cytometry (FACS)
  • 抗原表位

    • 5
    • 2
    • 1
    • 1
    • 1
    • 1
    • 1
    • 1
    • 1
    • 1
    • 1
    • 1
    N-Term

    纯化方法

    This antibody is purified through a protein A column, followed by peptide affinity purification.

    免疫原

    This ADRA1D antibody is generated from a rabbit immunized with a KLH conjugated synthetic peptide between 1-30amino acids from the N-terminal region of human ADRA1D.

    亚型

    Ig Fraction
  • 应用备注

    For IHC-P starting dilution is: 1:25

    For FACS starting dilution is: 1:25

    For WB starting dilution is: 1:1000

    限制

    仅限研究用
  • 状态

    Liquid

    缓冲液

    Supplied in PBS with 0.09 % (W/V) sodium azide.

    储存液

    Sodium azide

    注意事项

    This product contains Sodium azide: a POISONOUS AND HAZARDOUS SUBSTANCE which should be handled by trained staff only.

    储存条件

    4 °C,-20 °C

    储存方法

    Store at 4°C for three months and -20°C, stable for up to one year. As with all antibodies care should be taken to avoid repeated freeze thaw cycles. Antibodies should not be exposed to prolonged high temperatures.
  • 抗原

    ADRA1D (Adrenergic Receptor, alpha 1d (ADRA1D))

    别名

    ADRA1D

    背景

    This alpha-adrenergic receptor mediates its effect through the influx of extracellular calcium.

    分子量

    60 kDa

    基因ID

    146

    UniProt

    P25100
You are here: