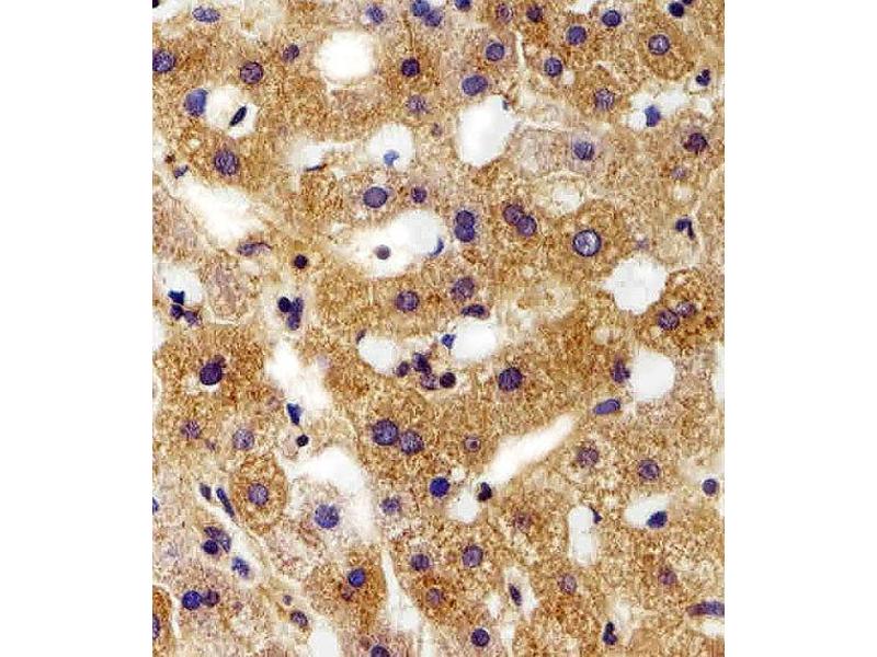
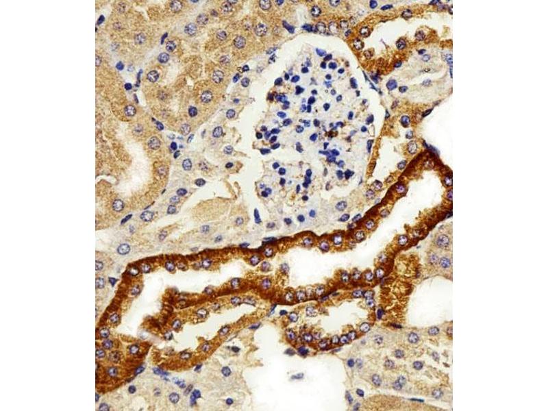
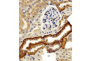
FXYD6 抗体 (C-Term)
Our Local Distributor
北京 101111
Quick Overview for FXYD6 抗体 (C-Term) (ABIN5538979)
抗原
See all FXYD6 抗体适用
宿主
克隆类型
标记
应用范围
-
-
抗原表位
- C-Term
-
纯化方法
- This antibody is purified through a protein A column, followed by peptide affinity purification.
-
免疫原
- This FXYD6 antibody is generated from a rabbit immunized with a KLH conjugated synthetic peptide between 81-115amino acids from the C-terminal region of human FXYD6.
-
亚型
- Ig Fraction
-
-
-
-
应用备注
-
For IHC-P starting dilution is: 1:25
For FACS starting dilution is: 1:25
For WB starting dilution is: 1:1000 -
限制
- 仅限研究用
-
-
-
状态
- Liquid
-
缓冲液
- Supplied in PBS with 0.09 % (W/V) sodium azide.
-
储存液
- Sodium azide
-
注意事项
- This product contains Sodium azide: a POISONOUS AND HAZARDOUS SUBSTANCE which should be handled by trained staff only.
-
储存条件
- 4 °C,-20 °C
-
储存方法
- Store at 4°C for three months and -20°C, stable for up to one year. As with all antibodies care should be taken to avoid repeated freeze thaw cycles. Antibodies should not be exposed to prolonged high temperatures.
-
-
- FXYD6 (FXYD Domain Containing Ion Transport Regulator 6 (FXYD6))
-
别名
- FXYD6
-
分子量
- 11 kDa
-
基因ID
- 100533181, 53826
-
UniProt
- Q9H0Q3
抗原
-