电话:
+86 (0512) 65829739
传真:
+86 (010) 6788 5057
电子邮件:
orders@antibodies-online.cn

PI3KC2G 抗体 (N-Term)

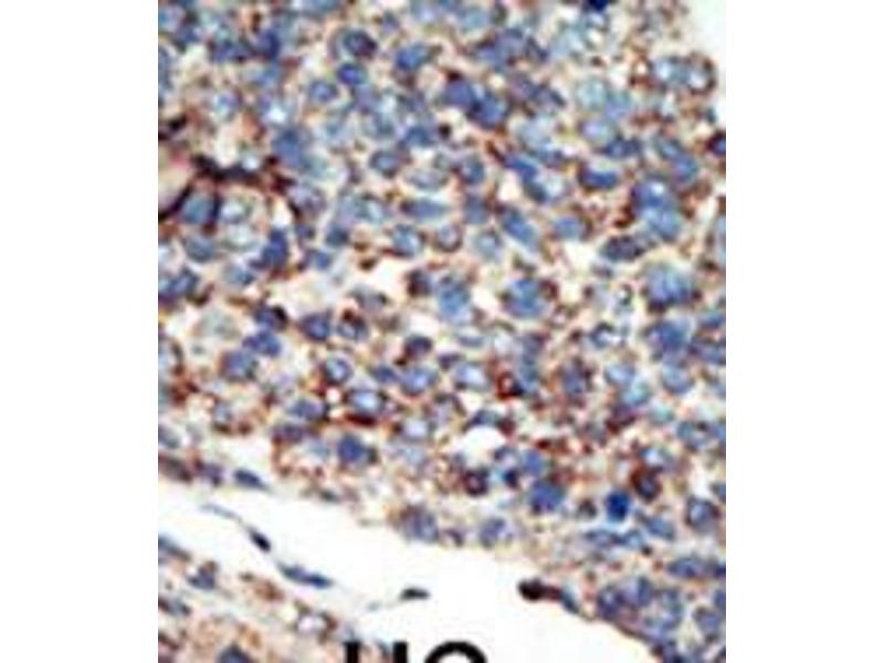
The 兔 多克隆 anti-PI3KC2G antibody is suitable to detect PI3KC2G in samples from 人. It has been validated for WB 和 IHC (p).
产品编号 ABIN5537754
发货至: 中国
Contact our Customer Service for availability and price in your country. Contact Info

Our Local Distributor

中国
北京 101111
No. 88 KeChuang 6th Street
Beijing Economic Technological Development Area
Room 801-803
4A Biotech Co.,Ltd.
Tel +86 (0512) 65829739 传真 +86 (010) 6788 5057

Quick Overview for PI3KC2G 抗体 (N-Term) (ABIN5537754)

抗原

PI3KC2G

适用

宿主

  • 2

克隆类型

  • 2
多克隆

标记

  • 2
This PI3KC2G antibody is un-conjugated

应用范围

  • 2
  • 1
  • 1
  • 1
Western Blotting (WB), Immunohistochemistry (Paraffin-embedded Sections) (IHC (p))
  • 抗原表位

    AA 93-123, N-Term

    纯化方法

    This antibody is prepared by Saturated Ammonium Sulfate (SAS) precipitation followed by dialysis

    免疫原

    This PI3KC2G antibody is generated from rabbits immunized with a KLH conjugated synthetic peptide between 93-123 amino acids from the N-terminal region of human PI3KC2G.

    亚型

    Ig Fraction
  • 应用备注

    For WB starting dilution is: 1:1000

    For IHC-P starting dilution is: 1:50~100

    限制

    仅限研究用
  • 状态

    Liquid

    浓度

    1.05 mg/mL

    缓冲液

    Supplied in PBS with 0.09 % (W/V) sodium azide.

    储存液

    Sodium azide

    注意事项

    This product contains Sodium azide: a POISONOUS AND HAZARDOUS SUBSTANCE which should be handled by trained staff only.

    储存条件

    4 °C,-20 °C

    储存方法

    Store at 4°C for three months and -20°C, stable for up to one year. As with all antibodies care should be taken to avoid repeated freeze thaw cycles. Antibodies should not be exposed to prolonged high temperatures.
  • 抗原

    PI3KC2G

    别名

    PI3KC2G

    背景

    PI3KC2G belongs to the phosphoinositide 3-kinase (PI3K) family. PI3-kinases play roles in signaling pathways involved in cell proliferation, oncogenic transformation, cell survival, cell migration, and intracellular protein trafficking. This protein contains a lipid kinase catalytic domain as well as a C-terminal C2 domain, a characteristic of class II PI3-kinases. C2 domains act as calcium-dependent phospholipid binding motifs that mediate translocation of proteins to membranes, and may also mediate protein-protein interactions. The biological function of this gene has not yet been determined.

    分子量

    166 kDa

    基因ID

    5288

    UniProt

    O75747
You are here: