电话:
+86 (0512) 65829739
传真:
+86 (010) 6788 5057
电子邮件:
orders@antibodies-online.cn

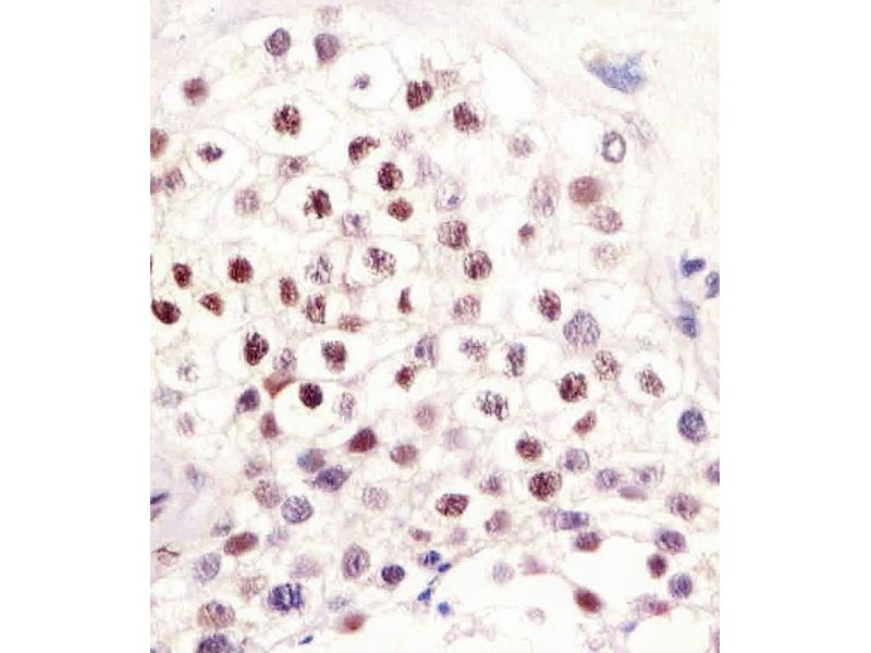
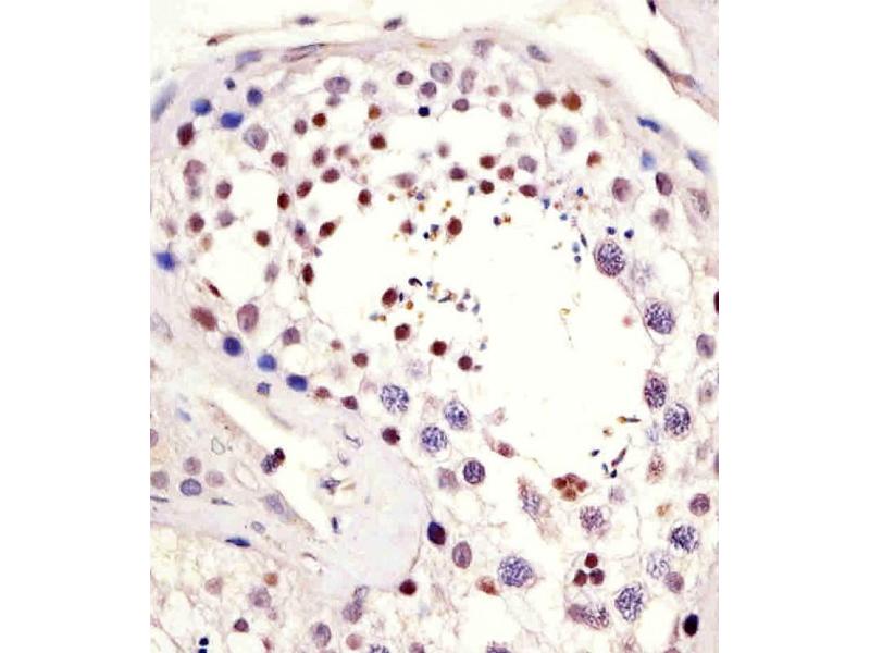
LIN28B 抗体 (AA 95-128)

This 兔 多克隆 antibody specifically detects LIN28B in WB, FACS, IF 和 IHC (p). It exhibits reactivity toward 人.
产品编号 ABIN5536364
发货至: 中国
Contact our Customer Service for availability and price in your country. Contact Info

Our Local Distributor

中国
北京 101111
No. 88 KeChuang 6th Street
Beijing Economic Technological Development Area
Room 801-803
4A Biotech Co.,Ltd.
Tel +86 (0512) 65829739 传真 +86 (010) 6788 5057

Quick Overview for LIN28B 抗体 (AA 95-128) (ABIN5536364)

抗原

See all LIN28B 抗体
LIN28B (Lin-28 Homolog B (LIN28B))

适用

  • 61
  • 11
  • 2
  • 1
  • 1
  • 1
  • 1
  • 1

宿主

  • 58
  • 3
  • 1

克隆类型

  • 48
  • 14
多克隆

标记

  • 37
  • 4
  • 3
  • 2
  • 2
  • 2
  • 2
  • 2
  • 2
  • 2
  • 1
  • 1
  • 1
  • 1
This LIN28B antibody is un-conjugated

应用范围

  • 47
  • 31
  • 26
  • 22
  • 19
  • 15
  • 13
  • 5
  • 4
  • 1
Western Blotting (WB), Flow Cytometry (FACS), Immunofluorescence (IF), Immunohistochemistry (Paraffin-embedded Sections) (IHC (p))
  • 抗原表位

    • 8
    • 6
    • 6
    • 5
    • 3
    • 3
    • 2
    • 2
    • 1
    • 1
    • 1
    • 1
    • 1
    • 1
    • 1
    • 1
    AA 95-128

    纯化方法

    This antibody is purified through a protein A column, followed by peptide affinity purification.

    免疫原

    This LIN28B antibody is generated from rabbits immunized with a KLH conjugated synthetic peptide between 95-128 amino acids from the Central region of human LIN28B.

    亚型

    Ig Fraction
  • 应用备注

    For IHC-P starting dilution is: 1:25

    For WB starting dilution is: 1:1000

    限制

    仅限研究用
  • 状态

    Liquid

    浓度

    0.33 mg/mL

    缓冲液

    Supplied in PBS with 0.09 % (W/V) sodium azide.

    储存液

    Sodium azide

    注意事项

    This product contains Sodium azide: a POISONOUS AND HAZARDOUS SUBSTANCE which should be handled by trained staff only.

    储存条件

    4 °C,-20 °C

    储存方法

    Store at 4°C for three months and -20°C, stable for up to one year. As with all antibodies care should be taken to avoid repeated freeze thaw cycles. Antibodies should not be exposed to prolonged high temperatures.
  • 抗原

    LIN28B (Lin-28 Homolog B (LIN28B))

    别名

    LIN28B

    背景

    Lin-28 homolog B (LIN28B) is overexpressed in hepatocellular carcinoma. The heterochronic gene lin-28 is a key regulator of developmental timing in the nematode Caenorhabditis elegans. Similar with lin-28 proteins, LIN28B conserves a cold shock domain and a pair of CCHC zinc finger domains. Phylogenetic analysis suggests that they might arise as a result of duplication from an ancestral gene. Overexpression of LIN28B was noted in most HCC cell lines and clinical samples. A short LIN28B isoform was also identified in non-tumor liver tissue and fetal liver. Although predominantly localized in the cytoplasm, LIN28B protein shows cell cycle-dependent nuclear translocation in Huh7 cells. Induced expression of exogenous LIN28B in a tet-off cell line promoted cancer cell proliferation.

    分子量

    27 kDa

    基因ID

    389421

    UniProt

    Q6ZN17
You are here: