电话:
+86 (0512) 65829739
传真:
+86 (010) 6788 5057
电子邮件:
orders@antibodies-online.cn

WFDC2 抗体 (AA 31-168)

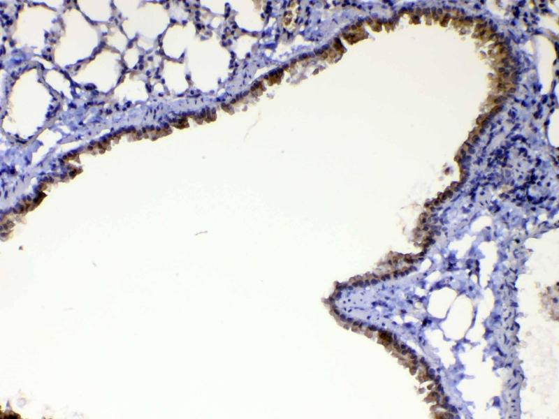
The 兔 多克隆 anti-WFDC2 antibody is suitable to detect WFDC2 in samples from 小鼠 和 大鼠. It has been validated for WB, ELISA 和 IHC.
产品编号 ABIN5519074
发货至: 中国
Contact our Customer Service for availability and price in your country. Contact Info

Our Local Distributor

中国
北京 101111
No. 88 KeChuang 6th Street
Beijing Economic Technological Development Area
Room 801-803
4A Biotech Co.,Ltd.
Tel +86 (0512) 65829739 传真 +86 (010) 6788 5057

Quick Overview for WFDC2 抗体 (AA 31-168) (ABIN5519074)

抗原

See all WFDC2 抗体
WFDC2 (WAP Four-Disulfide Core Domain 2 (WFDC2))

适用

  • 81
  • 22
  • 4
  • 1
小鼠, 大鼠

宿主

  • 55
  • 22
  • 3
  • 2
  • 1

克隆类型

  • 55
  • 28
多克隆

标记

  • 40
  • 12
  • 6
  • 3
  • 3
  • 3
  • 3
  • 3
  • 3
  • 3
  • 2
  • 2
This WFDC2 antibody is un-conjugated

应用范围

  • 59
  • 44
  • 29
  • 29
  • 22
  • 20
  • 14
  • 3
  • 2
  • 2
  • 1
  • 1
Western Blotting (WB), ELISA, Immunohistochemistry (IHC)
  • 抗原表位

    • 11
    • 5
    • 3
    • 2
    • 2
    • 2
    • 1
    • 1
    • 1
    • 1
    • 1
    • 1
    AA 31-168

    原理

    Anti-HE4/Wfdc2 Antibody

    交叉反应 (详细)

    No cross-reactivity with other proteins.

    产品特性

    Anti-HE4/Wfdc2 Antibody (ABIN5519074). Tested in IHC, WB applications. This antibody reacts with Mouse, Rat. This is a premium antibody that guarantees superior quality, high affinity, and strong signals with minimal background in Western blot applications.

    纯化方法

    Immunogen affinity purified.

    免疫原

    E. coli-derived rat HE4 recombinant protein (Position: E31-F168).

    亚型

    IgG
  • 应用备注

    Western blot, 0.1-0.5 μg/mL
    Immunohistochemistry (Paraffin-embedded Section), 0.5-1 μg/mL
    ELISA (Cap), 1-5 μg/mL

    说明

    We recommend Enhanced Chemiluminescent Kit with anti-Rabbit IgG (ABIN921124) for Western blot, and HRP Conjugated anti-Rabbit IgG Super Vision Assay Kit (SV0002-1) for IHC(P).

    限制

    仅限研究用
  • 状态

    Lyophilized

    溶解方式

    Add 0.2 mL of distilled water will yield a concentration of 500 μg/mL.

    浓度

    500 μg/mL

    缓冲液

    Each vial contains 4 mg Trehalose, 0.9 mg NaCl, 0.2 mg Na2HPO4, 0.05 mg NaN3.

    储存液

    Sodium azide

    注意事项

    This product contains Sodium azide: a POISONOUS AND HAZARDOUS SUBSTANCE which should be handled by trained staff only.

    储存条件

    4 °C,-20 °C

    储存方法

    Store at -20°C for one year from date of receipt. After reconstitution, at 4°C for one month.
    It can also be aliquotted and stored frozen at -20°C for six months. Avoid repeated freeze-thaw cycles.
  • 抗原

    WFDC2 (WAP Four-Disulfide Core Domain 2 (WFDC2))

    别名

    Wfdc2

    背景

    Synonyms: WAP four-disulfide core domain protein 2, Epididymal secretory protein 4, RE4, Wfdc2,

    Tissue Specificity: Highly expressed in epithelial tissues, particularly those of the gastrointestinal and respiratory tracts, such as large intestine and trachea, followed by kidney, small intestine, appendix and stomach.

    Background: WAP four-disulfide core domain protein 2, also known as Human Epididymis Protein 4 (HE4), is a protein that in humans is encoded by the WFDC2 gene. This gene encodes a protein that is a member of the WFDC domain family. The WFDC domain, or WAP Signature motif, contains eight cysteines forming four disulfide bonds at the core of the protein, and functions as a protease inhibitor in many family members. This gene is expressed in pulmonary epithelial cells, and was also found to be expressed in some ovarian cancers. The encoded protein is a small secretory protein, which may be involved in sperm maturation.

    分子量

    19 kDa

    基因ID

    286888
You are here: