电话:
+86 (0512) 65829739
传真:
+86 (010) 6788 5057
电子邮件:
orders@antibodies-online.cn

MMP16 抗体 (AA 120-296)

Cited in 2+ publications. The 兔 多克隆 anti-MMP16 antibody (ABIN5519039) specifically detects MMP16 in WB, IHC, ELISA, FACS, ICC 和 IF. The antibody is reactive with 人, 小鼠 和 大鼠 samples.
产品编号 ABIN5519039
发货至: 中国
Contact our Customer Service for availability and price in your country. Contact Info

Our Local Distributor

中国
北京 101111
No. 88 KeChuang 6th Street
Beijing Economic Technological Development Area
Room 801-803
4A Biotech Co.,Ltd.
Tel +86 (0512) 65829739 传真 +86 (010) 6788 5057

Quick Overview for MMP16 抗体 (AA 120-296) (ABIN5519039)

抗原

See all MMP16 抗体
MMP16 (Matrix Metallopeptidase 16 (Membrane-inserted) (MMP16))

适用

  • 63
  • 34
  • 18
  • 8
  • 8
  • 7
  • 7
  • 6
  • 4
  • 3
  • 3
  • 2
  • 1
  • 1
  • 1
人, 小鼠, 大鼠

宿主

  • 59
  • 4

克隆类型

  • 59
  • 4
多克隆

标记

  • 25
  • 3
  • 3
  • 3
  • 3
  • 2
  • 2
  • 2
  • 1
  • 1
  • 1
  • 1
  • 1
  • 1
  • 1
  • 1
  • 1
  • 1
  • 1
  • 1
  • 1
  • 1
  • 1
  • 1
  • 1
  • 1
  • 1
  • 1
This MMP16 antibody is un-conjugated

应用范围

  • 44
  • 28
  • 21
  • 18
  • 13
  • 13
  • 8
  • 7
  • 3
  • 3
  • 3
  • 1
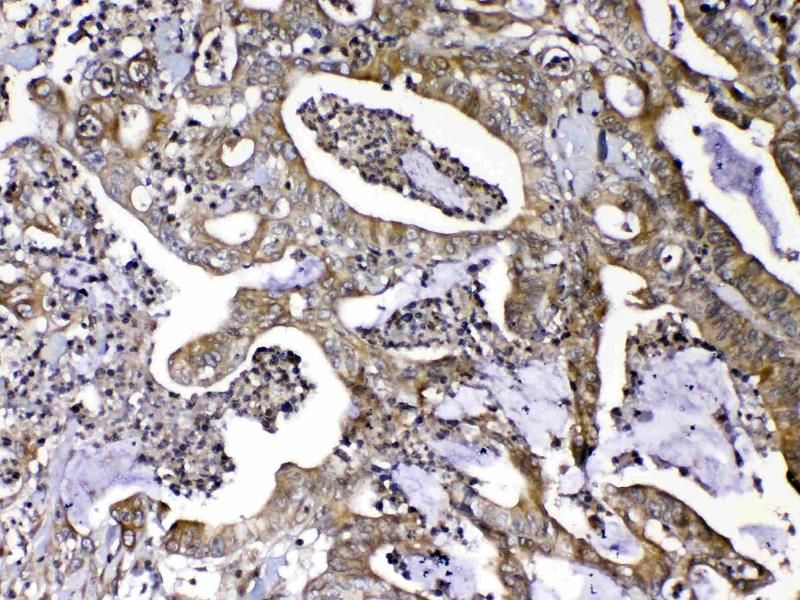
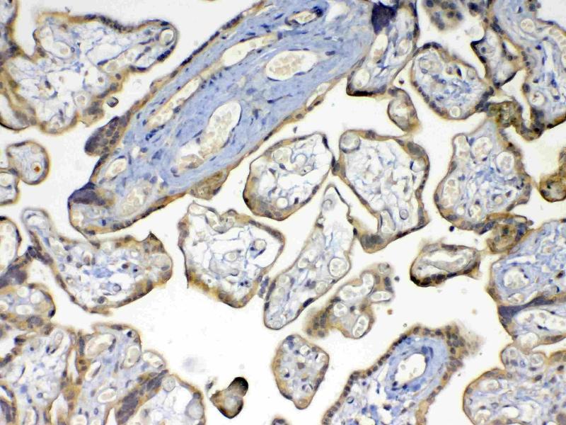
Western Blotting (WB), Immunohistochemistry (IHC), ELISA, Flow Cytometry (FACS), Immunocytochemistry (ICC), Immunofluorescence (IF)
  • 抗原表位

    • 16
    • 8
    • 8
    • 8
    • 1
    • 1
    • 1
    • 1
    • 1
    • 1
    • 1
    • 1
    • 1
    AA 120-296

    原理

    Anti-MMP16 Antibody

    交叉反应 (详细)

    No cross-reactivity with other proteins.

    产品特性

    Anti-MMP16 Antibody (ABIN5519039). Tested in ELISA, Flow Cytometry, IF, IHC, ICC, WB applications. This antibody reacts with Human, Mouse, Rat. This is a premium antibody that guarantees superior quality, high affinity, and strong signals with minimal background in Western blot applications.

    纯化方法

    Immunogen affinity purified.

    免疫原

    E. coli-derived human MMP16 recombinant protein (Position: Y120-I296).

    亚型

    IgG
  • 应用备注

    Western blot, 0.1-0.5 μg/mL
    Immunohistochemistry (Paraffin-embedded Section), 0.5-1 μg/mL
    Immunocytochemistry/Immunofluorescence, 2 μg/mL
    Flow Cytometry (Fixed), 1-3 μg/1x106 cells
    ELISA, 0.1-0.5 μg/mL

    说明

    We recommend Enhanced Chemiluminescent Kit with anti-Rabbit IgG (ABIN921124) for Western blot, and HRP Conjugated anti-Rabbit IgG Super Vision Assay Kit (SV0002-1) for IHC(P).

    限制

    仅限研究用
  • 状态

    Lyophilized

    溶解方式

    Add 0.2 mL of distilled water will yield a concentration of 500 μg/mL.

    浓度

    500 μg/mL

    缓冲液

    Each vial contains 5 mg BSA, 0.9 mg NaCl, 0.2 mg Na2HPO4, 0.05 mg Sodium azide.

    储存液

    Sodium azide

    注意事项

    This product contains Sodium azide: a POISONOUS AND HAZARDOUS SUBSTANCE which should be handled by trained staff only.

    储存条件

    4 °C,-20 °C

    储存方法

    Store at -20°C for one year from date of receipt. After reconstitution, at 4°C for one month.
    It can also be aliquotted and stored frozen at -20°C for six months. Avoid repeated freeze-thaw cycles.
  • Xue, Wu, Chen, Luo: "MT3-MMP down-regulation promotes tumorigenesis and correlates to poor prognosis in esophageal squamous cell carcinoma." in: Cancer medicine, Vol. 5, Issue 9, pp. 2459-68, (2017) (PubMed).

    Wang, Li, Wu, Wu, Li, Yang, Chen, Xie, Huang, Du, Zhou: "miR-132 can inhibit glioma cells invasion and migration by target MMP16 in vitro." in: OncoTargets and therapy, Vol. 8, pp. 3211-8, (2015) (PubMed).

  • 抗原

    MMP16 (Matrix Metallopeptidase 16 (Membrane-inserted) (MMP16))

    别名

    MMP16

    背景

    Synonyms: Matrix metalloproteinase-16, MMP-16, 3.4.24.-, MMP-X2, Membrane-type matrix metalloproteinase 3, MT-MMP 3, MTMMP3, Membrane-type-3 matrix metalloproteinase, MT3-MMP, MT3MMP, MMP16, MMPX2,

    Tissue Specificity: Expressed in heart, brain, placenta, ovary and small intestine. Isoform Short is found in the ovary.

    Background: The matrix metalloproteinase 16 (MMP16) protein consists of 604 amino acids and has a characteristic MMP domain structure, which gene is mapped on human chromosome 8q21. Additionally, MMP16 has a C-terminal extension containing a potential transmembrane domain, similar to MMP14, MMP15, and MMP17. Furthermore, it is membrane-bound and is a member of the membrane-type MMPs that are a subclass in the MMP family since the other members lack a C-terminal transmembrane domain and are secreted as soluble forms. MMP16 is expressed as a 12-kb transcript in brain, placenta, heart, and some carcinoma cell lines, but is not detectably expressed in lung, kidney, liver, spleen, and muscle.

    分子量

    53 kDa

    基因ID

    4325

    UniProt

    P51512
You are here: