电话:
+86 (0512) 65829739
传真:
+86 (010) 6788 5057
电子邮件:
orders@antibodies-online.cn

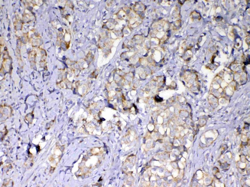
MMP10 抗体 (AA 239-476)

The 兔 多克隆 anti-MMP10 antibody is suitable to detect MMP10 in samples from 人, 小鼠 和 大鼠. It has been validated for WB, IHC, ELISA 和 IF.
产品编号 ABIN5519038
发货至: 中国
Contact our Customer Service for availability and price in your country. Contact Info

Our Local Distributor

中国
北京 101111
No. 88 KeChuang 6th Street
Beijing Economic Technological Development Area
Room 801-803
4A Biotech Co.,Ltd.
Tel +86 (0512) 65829739 传真 +86 (010) 6788 5057

Quick Overview for MMP10 抗体 (AA 239-476) (ABIN5519038)

抗原

See all MMP10 抗体
MMP10 (Matrix Metallopeptidase 10 (Stromelysin 2) (MMP10))

适用

  • 68
  • 22
  • 8
  • 2
  • 1
人, 小鼠, 大鼠

宿主

  • 66
  • 9

克隆类型

  • 68
  • 7
多克隆

标记

  • 44
  • 9
  • 6
  • 4
  • 2
  • 2
  • 1
  • 1
  • 1
  • 1
  • 1
  • 1
  • 1
  • 1
This MMP10 antibody is un-conjugated

应用范围

  • 51
  • 32
  • 28
  • 15
  • 10
  • 8
  • 7
  • 4
  • 2
  • 1
Western Blotting (WB), Immunohistochemistry (IHC), ELISA, Immunofluorescence (IF)
  • 抗原表位

    • 14
    • 8
    • 7
    • 4
    • 3
    • 3
    • 2
    • 2
    • 1
    • 1
    • 1
    • 1
    • 1
    • 1
    • 1
    • 1
    • 1
    • 1
    • 1
    • 1
    AA 239-476

    原理

    Anti-MMP10 Antibody

    交叉反应 (详细)

    No cross-reactivity with other proteins.

    产品特性

    Anti-MMP10 Antibody (ABIN5519038). Tested in ELISA, IF, IHC, WB applications. This antibody reacts with Human, Mouse, Rat. This is a premium antibody that guarantees superior quality, high affinity, and strong signals with minimal background in Western blot applications.

    纯化方法

    Immunogen affinity purified.

    免疫原

    E. coli-derived human MMP10 recombinant protein (Position: Y239-C476). Human MMP10 shares 74.4% and 73.9% amino acid (aa) sequence identity with mouse and rat MMP10, respectively.

    亚型

    IgG
  • 应用备注

    Western blot, 0.1-0.5 μg/mL
    Immunohistochemistry (Paraffin-embedded Section), 0.5-1 μg/mL
    Immunofluorescence, 2 μg/mL
    ELISA, 0.1-0.5 μg/mL

    说明

    We recommend Enhanced Chemiluminescent Kit with anti-Rabbit IgG (ABIN921124) for Western blot, and HRP Conjugated anti-Rabbit IgG Super Vision Assay Kit (SV0002-1) for IHC(P).

    限制

    仅限研究用
  • 状态

    Lyophilized

    溶解方式

    Add 0.2 mL of distilled water will yield a concentration of 500 μg/mL.

    浓度

    500 μg/mL

    缓冲液

    Each vial contains 4 mg Trehalose, 0.9 mg NaCl and 0.2 mg Na2HPO4.

    储存条件

    4 °C,-20 °C

    储存方法

    Store at -20°C for one year from date of receipt. After reconstitution, at 4°C for one month.
    It can also be aliquotted and stored frozen at -20°C for six months. Avoid repeated freeze-thaw cycles.
  • 抗原

    MMP10 (Matrix Metallopeptidase 10 (Stromelysin 2) (MMP10))

    别名

    MMP10

    背景

    Synonyms: Stromelysin-2, SL-2, 3.4.24.22, Matrix metalloproteinase-10, MMP-10, Transin-2, MMP10, STMY2,

    Background: Stromelysin-2 also known as matrix metalloproteinase-10 (MMP-10) or transin-2 is an enzyme that in humans is encoded by the MMP10 gene. Proteins of the matrix metalloproteinase (MMP) family are involved in the breakdown of extracellular matrix in normal physiological processes, such as embryonic development, reproduction, and tissue remodeling, as well as in disease processes, such as arthritis and metastasis. Most MMP's are secreted as inactive proproteins which are activated when cleaved by extracellular proteinases. The enzyme encoded by this gene degrades proteoglycans and fibronectin. The gene is part of a cluster of MMP genes which localize to chromosome 11q22.3.

    分子量

    54 kDa

    基因ID

    4319

    UniProt

    P09238
You are here: