电话:
+86 (0512) 65829739
传真:
+86 (010) 6788 5057
电子邮件:
orders@antibodies-online.cn

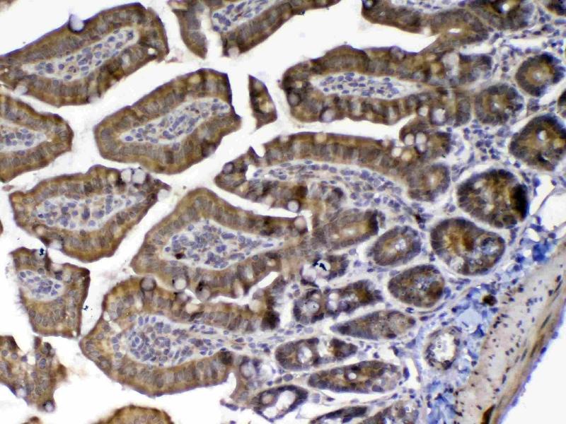
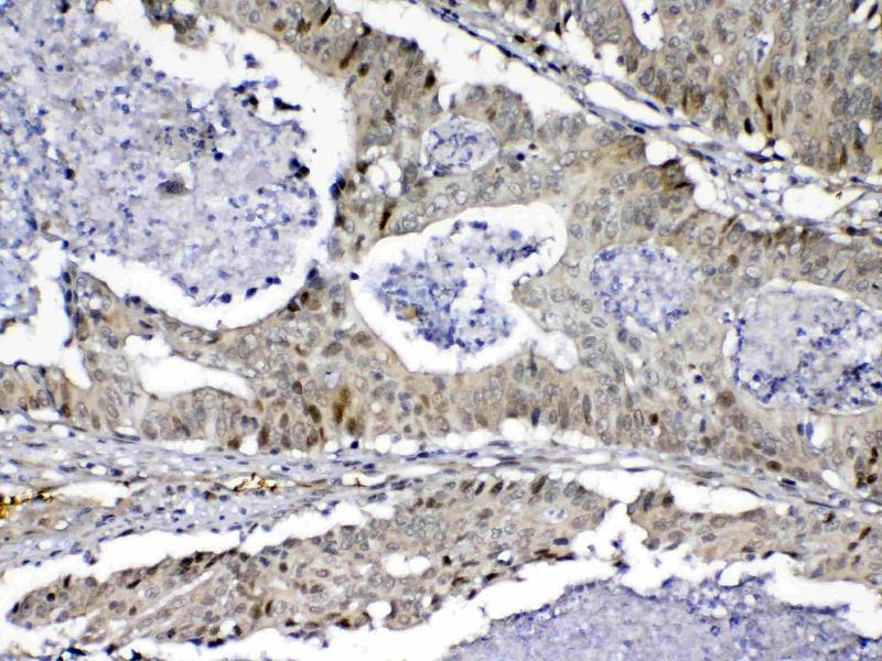
MED9 抗体 (AA 55-146)

The 兔 多克隆 anti-MED9 antibody is suitable to detect MED9 in samples from 人, 小鼠 和 大鼠. It has been validated for WB, ELISA, IF, FACS, ICC 和 IHC.
产品编号 ABIN5519032
发货至: 中国
Contact our Customer Service for availability and price in your country. Contact Info

Our Local Distributor

中国
北京 101111
No. 88 KeChuang 6th Street
Beijing Economic Technological Development Area
Room 801-803
4A Biotech Co.,Ltd.
Tel +86 (0512) 65829739 传真 +86 (010) 6788 5057

Quick Overview for MED9 抗体 (AA 55-146) (ABIN5519032)

抗原

See all MED9 抗体
MED9 (Mediator Complex Subunit 9 (MED9))

适用

  • 15
  • 11
  • 1
  • 1
人, 小鼠, 大鼠

宿主

  • 12
  • 3

克隆类型

  • 14
  • 1
多克隆

标记

  • 10
  • 1
  • 1
  • 1
  • 1
  • 1
This MED9 antibody is un-conjugated

应用范围

Western Blotting (WB), ELISA, Immunofluorescence (IF), Flow Cytometry (FACS), Immunocytochemistry (ICC), Immunohistochemistry (IHC)
  • 抗原表位

    • 8
    • 3
    • 3
    • 2
    • 1
    AA 55-146

    原理

    Anti-MED9 Antibody

    交叉反应 (详细)

    No cross-reactivity with other proteins.

    产品特性

    Anti-MED9 Antibody (ABIN5519032). Tested in ELISA, Flow Cytometry, IF, IHC, ICC, WB applications. This antibody reacts with Human, Mouse, Rat. This is a premium antibody that guarantees superior quality, high affinity, and strong signals with minimal background in Western blot applications.

    纯化方法

    Immunogen affinity purified.

    免疫原

    E. coli-derived human MED9 recombinant protein (Position: A55-E146).

    亚型

    IgG
  • 应用备注

    Western blot, 0.1-0.5 μg/mL
    Immunohistochemistry (Paraffin-embedded Section), 0.5-1 μg/mL
    Immunocytochemistry/Immunofluorescence, 2 μg/mL
    Flow Cytometry (Fixed), 1-3 μg/1x106 cells
    ELISA, 0.1-0.5 μg/mL

    说明

    We recommend Enhanced Chemiluminescent Kit with anti-Rabbit IgG (ABIN921124) for Western blot, and HRP Conjugated anti-Rabbit IgG Super Vision Assay Kit (SV0002-1) for IHC(P).

    限制

    仅限研究用
  • 状态

    Lyophilized

    溶解方式

    Add 0.2 mL of distilled water will yield a concentration of 500 μg/mL.

    浓度

    500 μg/mL

    缓冲液

    Each vial contains 4 mg Trehalose, 0.9 mg NaCl, 0.2 mg Na2HPO4, 0.05 mg Sodium azide.

    储存液

    Sodium azide

    注意事项

    This product contains Sodium azide: a POISONOUS AND HAZARDOUS SUBSTANCE which should be handled by trained staff only.

    储存条件

    4 °C,-20 °C

    储存方法

    Store at -20°C for one year from date of receipt. After reconstitution, at 4°C for one month.
    It can also be aliquotted and stored frozen at -20°C for six months. Avoid repeated freeze-thaw cycles.
  • 抗原

    MED9 (Mediator Complex Subunit 9 (MED9))

    别名

    MED9

    背景

    Synonyms: Mediator of RNA polymerase II transcription subunit 9, Mediator complex subunit 9, MED9, MED25,

    Tissue Specificity: Expressed in fetal brain, fetal lung, fetal liver, heart, brain, placenta, lung, liver, muscle, kidney and pancreas.

    Background: MED9 is a member of the mediator complex of proteins that promote activation of RNA polymerase II through interactions with transcription factors. This MED9gene is located within the Smith-Magenis syndrome region on chromosome 17.

    分子量

    19 kDa

    基因ID

    55090

    途径

    Regulation of Lipid Metabolism by PPARalpha
You are here: