电话:
+86 (0512) 65829739
传真:
+86 (010) 6788 5057
电子邮件:
orders@antibodies-online.cn

Phenylalanine Hydroxylase 抗体 (AA 71-208)

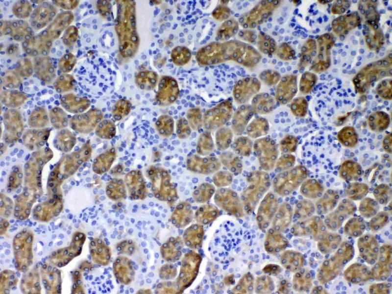
The 兔 多克隆 anti-Phenylalanine Hydroxylase antibody is suitable to detect Phenylalanine Hydroxylase in samples from 人, 小鼠 和 大鼠. It has been validated for WB, IHC 和 FACS.
产品编号 ABIN5518942
发货至: 中国
Contact our Customer Service for availability and price in your country. Contact Info

Our Local Distributor

中国
北京 101111
No. 88 KeChuang 6th Street
Beijing Economic Technological Development Area
Room 801-803
4A Biotech Co.,Ltd.
Tel +86 (0512) 65829739 传真 +86 (010) 6788 5057

Quick Overview for Phenylalanine Hydroxylase 抗体 (AA 71-208) (ABIN5518942)

抗原

See all Phenylalanine Hydroxylase 抗体
Phenylalanine Hydroxylase

适用

人, 小鼠, 大鼠

宿主

  • 59
  • 8
  • 1

克隆类型

  • 49
  • 19
多克隆

标记

  • 36
  • 9
  • 4
  • 3
  • 2
  • 2
  • 2
  • 2
  • 2
  • 2
  • 1
  • 1
  • 1
  • 1
This Phenylalanine Hydroxylase antibody is un-conjugated

应用范围

  • 54
  • 33
  • 24
  • 18
  • 18
  • 10
  • 6
  • 4
  • 3
  • 1
Western Blotting (WB), Immunohistochemistry (IHC), Flow Cytometry (FACS)
  • 抗原表位

    • 7
    • 6
    • 5
    • 5
    • 4
    • 4
    • 4
    • 3
    • 3
    • 1
    • 1
    • 1
    • 1
    • 1
    • 1
    • 1
    AA 71-208

    原理

    Anti-PAH Antibody

    交叉反应 (详细)

    No cross-reactivity with other proteins.

    产品特性

    Anti-PAH Antibody (ABIN5518942). Tested in Flow Cytometry(Intracellular), IHC, WB applications. This antibody reacts with Human, Mouse, Rat. This is a premium antibody that guarantees superior quality, high affinity, and strong signals with minimal background in Western blot applications.

    纯化方法

    Immunogen affinity purified.

    免疫原

    E. coli-derived human PAH recombinant protein (Position: R71-H208). Human PAH shares 89.1% and 88.4% amino acid (aa) sequence identity with mouse and rat PAH, respectively.

    亚型

    IgG
  • 应用备注

    Western blot, 0.1-0.5 μg/mL, Human, Mouse, Rat,
    Immunohistochemistry (Paraffin-embedded Section), 2-5 μg/mL, Human, Mouse, Rat
    Flow Cytometry (Fixed), 1-3 μg/1x106 cells, Human

    说明

    We recommend Enhanced Chemiluminescent Kit with anti-Rabbit IgG (ABIN921124) for Western blot, and HRP Conjugated anti-Rabbit IgG Super Vision Assay Kit (SV0002-1) for IHC(P).

    限制

    仅限研究用
  • 状态

    Lyophilized

    溶解方式

    Add 0.2 mL of distilled water will yield a concentration of 500 μg/mL.

    浓度

    500 μg/mL

    缓冲液

    Each vial contains 4 mg Trehalose, 0.9 mg NaCl and 0.2 mg Na2HPO4.

    储存条件

    4 °C,-20 °C

    储存方法

    Store at -20°C for one year from date of receipt. After reconstitution, at 4°C for one month.
    It can also be aliquotted and stored frozen at -20°C for six months. Avoid repeated freeze-thaw cycles.
  • 抗原

    Phenylalanine Hydroxylase

    别名

    PAH

    背景

    Synonyms: Phenylalanine-4-hydroxylase,PAH,1.14.16.1,Phe-4-monooxygenase,PAH,

    Tissue Specificity: Predominantly expressed in lung and at lower level in kidney. Expressed in macrophages but not in vascular smooth muscle cells.

    Background: Phenylalanine hydroxylase (PAH) is an enzyme that catalyzes the hydroxylation of the aromatic side-chain of phenylalanine to generate tyrosine. It is one of three members of the biopterin-dependent aromatic amino acid hydroxylases, a class of monooxygenase that uses tetrahydrobiopterin (BH4, a pteridine cofactor) and a non-heme iron for catalysis. Deficiency of this enzyme activity results in the autosomal recessive disorder phenylketonuria.

    分子量

    45 kDa

    基因ID

    5053

    UniProt

    P00439
You are here: