电话:
+86 (0512) 65829739
传真:
+86 (010) 6788 5057
电子邮件:
orders@antibodies-online.cn

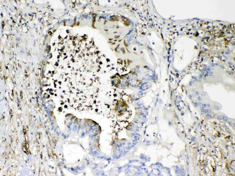
TMEM107 抗体 (N-Term)

This 兔 多克隆 antibody specifically detects TMEM107 in WB, IHC 和 FACS. It exhibits reactivity toward 人.
产品编号 ABIN5518881
发货至: 中国
Contact our Customer Service for availability and price in your country. Contact Info

Our Local Distributor

中国
北京 101111
No. 88 KeChuang 6th Street
Beijing Economic Technological Development Area
Room 801-803
4A Biotech Co.,Ltd.
Tel +86 (0512) 65829739 传真 +86 (010) 6788 5057

Quick Overview for TMEM107 抗体 (N-Term) (ABIN5518881)

抗原

TMEM107 (Transmembrane Protein 107 (TMEM107))

适用

  • 13
  • 2
  • 2
  • 2
  • 2
  • 2
  • 1

宿主

  • 13

克隆类型

  • 13
多克隆

标记

  • 6
  • 1
  • 1
  • 1
  • 1
  • 1
  • 1
  • 1
This TMEM107 antibody is un-conjugated

应用范围

  • 5
  • 3
  • 3
  • 2
Western Blotting (WB), Immunohistochemistry (IHC), Flow Cytometry (FACS)
  • 抗原表位

    • 2
    • 2
    • 1
    • 1
    AA 22-57, N-Term

    原理

    Anti-TMEM107 Antibody

    序列

    VITLFWSRDS NIQACLPLTF TPEEYDKQDI QLVAAL

    交叉反应 (详细)

    No cross-reactivity with other proteins.

    产品特性

    Anti-TM Antibody (ABIN5518881). Tested in Flow Cytometry, IHC, WB applications. This antibody reacts with Human. This is a premium antibody that guarantees superior quality, high affinity, and strong signals with minimal background in Western blot applications.

    纯化方法

    Immunogen affinity purified.

    免疫原

    A synthetic peptide corresponding to a sequence at the N-terminus of human TMEM107, different from the related mouse and rat sequences by four amino acids.

    亚型

    IgG
  • 应用备注

    Western blot, 0.1-0.5 μg/mL, Human
    Immunohistochemistry (Paraffin-embedded Section), 0.5-1 μg/mL, Human
    Flow Cytometry (Fixed), 1-3 μg/1x106 cells, Human

    说明

    Antibody can be supported by chemiluminescence kit ABIN921124 in WB, supported by ABIN921231 in IHC(P).

    限制

    仅限研究用
  • 状态

    Lyophilized

    溶解方式

    Add 0.2 mL of distilled water will yield a concentration of 500 μg/mL.

    浓度

    500 μg/mL

    缓冲液

    Each vial contains 5 mg BSA, 0.9 mg NaCl, 0.2 mg Na2HPO4, 0.05 mg Sodium azide.

    储存液

    Sodium azide

    注意事项

    This product contains Sodium azide: a POISONOUS AND HAZARDOUS SUBSTANCE which should be handled by trained staff only.

    储存条件

    4 °C,-20 °C

    储存方法

    Store at -20°C for one year from date of receipt. After reconstitution, at 4°C for one month.
    It can also be aliquotted and stored frozen at -20°C for six months. Avoid repeated freeze-thaw cycles.
  • 抗原

    TMEM107 (Transmembrane Protein 107 (TMEM107))

    别名

    TMEM107

    背景

    Synonyms: Transmembrane protein 107,TMEM107,DC20, UNQ638/PRO1268,

    Tissue Specificity: Ubiquitous. .

    Background: Cilia are dynamic signaling organelles essential for developmental patterning, including left-right specification, skeletal formation, neural development, and organogenesis. TMEM107 is predicted to be critical for cilia formation and signaling in a subset of embryonic tissues. Based on an alignment of theTMEM107 sequence with the genomic sequence (GRCh38), the TMEM107 gene was mapped to chromosome 17p13.1.

    分子量

    22 kDa

    基因ID

    84314
You are here: