电话:
+86 (0512) 65829739
传真:
+86 (010) 6788 5057
电子邮件:
orders@antibodies-online.cn

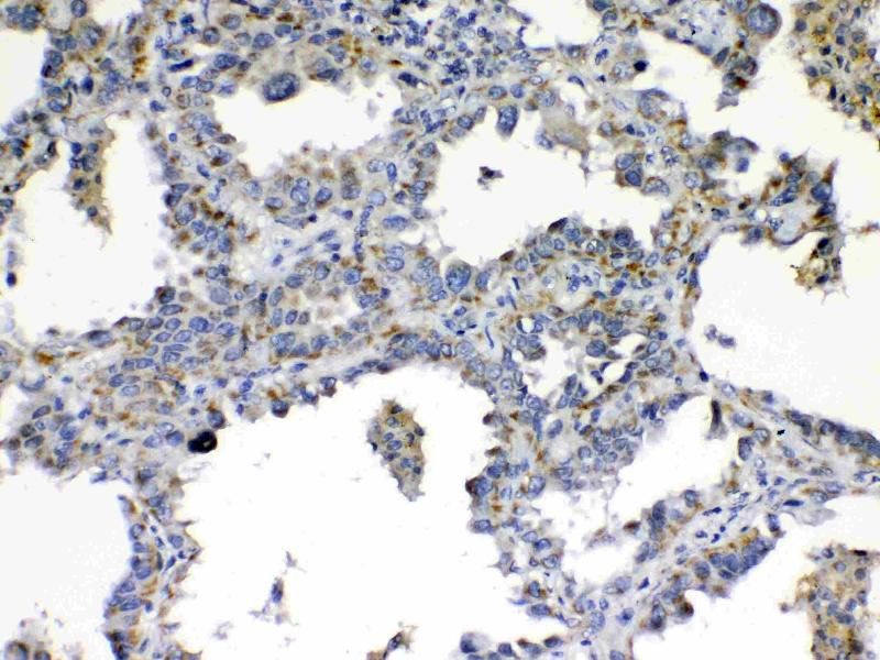
TIMP4 抗体 (AA 174-224)

The 兔 多克隆 anti-TIMP4 antibody is suitable to detect TIMP4 in samples from 人, 小鼠 和 大鼠. It has been validated for WB, IHC, ELISA, ICC, IF 和 FACS.
产品编号 ABIN5518879
发货至: 中国
Contact our Customer Service for availability and price in your country. Contact Info

Our Local Distributor

中国
北京 101111
No. 88 KeChuang 6th Street
Beijing Economic Technological Development Area
Room 801-803
4A Biotech Co.,Ltd.
Tel +86 (0512) 65829739 传真 +86 (010) 6788 5057

Quick Overview for TIMP4 抗体 (AA 174-224) (ABIN5518879)

抗原

See all TIMP4 抗体
TIMP4 (TIMP Metallopeptidase Inhibitor 4 (TIMP4))

适用

  • 71
  • 41
  • 33
  • 13
  • 9
  • 2
  • 2
  • 2
  • 1
  • 1
  • 1
  • 1
人, 小鼠, 大鼠

宿主

  • 96
  • 9

克隆类型

  • 96
  • 9
多克隆

标记

  • 46
  • 16
  • 9
  • 5
  • 2
  • 2
  • 2
  • 2
  • 2
  • 2
  • 2
  • 2
  • 1
  • 1
  • 1
  • 1
  • 1
  • 1
  • 1
  • 1
  • 1
  • 1
  • 1
  • 1
  • 1
This TIMP4 antibody is un-conjugated

应用范围

  • 76
  • 43
  • 33
  • 17
  • 15
  • 13
  • 13
  • 9
  • 8
  • 6
  • 6
  • 2
  • 2
  • 1
Western Blotting (WB), Immunohistochemistry (IHC), ELISA, Immunocytochemistry (ICC), Immunofluorescence (IF), Flow Cytometry (FACS)
  • 抗原表位

    • 15
    • 7
    • 6
    • 5
    • 5
    • 4
    • 2
    • 2
    • 2
    • 2
    • 2
    • 2
    • 2
    • 1
    • 1
    • 1
    • 1
    • 1
    • 1
    • 1
    • 1
    • 1
    AA 174-224

    原理

    Anti-TIMP4 Antibody

    交叉反应 (详细)

    No cross-reactivity with other proteins

    产品特性

    Anti-TIMP4 Antibody (ABIN5518879). Tested in ELISA, Flow Cytometry, IF, IHC, ICC, WB applications. This antibody reacts with Human, Mouse, Rat. This is a premium antibody that guarantees superior quality, high affinity, and strong signals with minimal background in Western blot applications.

    纯化方法

    Immunogen affinity purified.

    免疫原

    E. coli-derived human TIMP4 recombinant protein (Position: N174-P224). Human TIMP4 shares 92.2% amino acid (aa) sequence identity with both mouse and rat TIMP4.

    亚型

    IgG
  • 应用备注

    Western blot, 0.1-0.5 μg/mL, Human, Mouse, Rat
    Immunohistochemistry (Paraffin-embedded Section), 0.5-1 μg/mL, Human, Rat
    Immunocytochemistry, 0.5-1 μg/mL, Human
    Immunocytochemistry/Immunofluorescence, 2 μg/mL, Human
    Flow Cytometry (Fixed), 1-3 μg/1x106 cells, Human
    ELISA, 0.1-0.5 μg/mL, -

    说明

    Antibody can be supported by chemiluminescence kit ABIN921124 in WB, supported by ABIN921231 in IHC(P).

    限制

    仅限研究用
  • 状态

    Lyophilized

    溶解方式

    Add 0.2 mL of distilled water will yield a concentration of 500 μg/mL.

    浓度

    500 μg/mL

    缓冲液

    Each vial contains 4 mg Trehalose, 0.9 mg NaCl, 0.2 mg Na2HPO4, 0.05 mg NaN3.

    储存液

    Sodium azide

    注意事项

    This product contains Sodium azide: a POISONOUS AND HAZARDOUS SUBSTANCE which should be handled by trained staff only.

    储存条件

    4 °C,-20 °C

    储存方法

    Store at -20°C for one year from date of receipt. After reconstitution, at 4°C for one month.
    It can also be aliquotted and stored frozen at -20°C for six months. Avoid repeated freeze-thaw cycles.
  • 抗原

    TIMP4 (TIMP Metallopeptidase Inhibitor 4 (TIMP4))

    别名

    TIMP4

    背景

    Synonyms: Metalloproteinase inhibitor 4,Tissue inhibitor of metalloproteinases 4,TIMP-4,TIMP4,

    Tissue Specificity: Abundant in heart and present at low levels in many other tissues.

    Background: Metalloproteinase inhibitor 4 is an enzyme that in humans is encoded by the TIMP4 gene. And this gene is mapped to chromosome 3p25. This gene belongs to the TIMP gene family. The proteins encoded by this gene family are inhibitors of the matrix metalloproteinases, a group of peptidases involved in degradation of the extracellular matrix. The secreted, netrin domain-containing protein encoded by this gene is involved in regulation of platelet aggregation and recruitment and may play role in hormonal regulation and endometrial tissue remodeling.

    分子量

    25 kDa

    基因ID

    7079

    UniProt

    Q99727
You are here: