电话:
+86 (0512) 65829739
传真:
+86 (010) 6788 5057
电子邮件:
orders@antibodies-online.cn

HSD11B1 抗体 (N-Term)

The 兔 多克隆 anti-HSD11B1 antibody is suitable to detect HSD11B1 in samples from 人, 大鼠, 小鼠 和 猴. It has been validated for WB 和 IHC.
产品编号 ABIN5518666
发货至: 中国
Contact our Customer Service for availability and price in your country. Contact Info

Our Local Distributor

中国
北京 101111
No. 88 KeChuang 6th Street
Beijing Economic Technological Development Area
Room 801-803
4A Biotech Co.,Ltd.
Tel +86 (0512) 65829739 传真 +86 (010) 6788 5057

Quick Overview for HSD11B1 抗体 (N-Term) (ABIN5518666)

抗原

See all HSD11B1 抗体
HSD11B1 (Hydroxysteroid (11-Beta) Dehydrogenase 1 (HSD11B1))

适用

  • 56
  • 34
  • 33
  • 2
  • 2
  • 1
  • 1
  • 1
  • 1
  • 1
人, 大鼠, 小鼠, 猴

宿主

  • 53
  • 6
  • 2

克隆类型

  • 41
  • 20
多克隆

标记

  • 31
  • 3
  • 3
  • 3
  • 3
  • 3
  • 3
  • 3
  • 2
  • 2
  • 2
  • 1
  • 1
  • 1
This HSD11B1 antibody is un-conjugated

应用范围

  • 38
  • 23
  • 17
  • 8
  • 7
  • 5
  • 4
  • 3
  • 3
  • 1
  • 1
  • 1
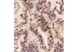
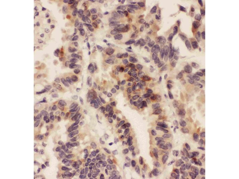
Western Blotting (WB), Immunohistochemistry (IHC)
  • 抗原表位

    • 6
    • 6
    • 5
    • 3
    • 2
    • 2
    • 1
    • 1
    • 1
    • 1
    • 1
    • 1
    • 1
    • 1
    • 1
    AA 16-33, N-Term

    原理

    Anti-HSD11B1 Antibody

    序列

    MAYYYYSANE EFRPEMLQ

    交叉反应 (详细)

    No cross-reactivity with other proteins

    产品特性

    Anti-HSD11B1 Antibody (ABIN5518666). Tested in IHC, WB applications. This antibody reacts with Human, Monkey, Mouse, Rat. This is a premium antibody that guarantees superior quality, high affinity, and strong signals with minimal background in Western blot applications.

    纯化方法

    Immunogen affinity purified.

    免疫原

    A synthetic peptide corresponding to a sequence at the N-terminus of human HSD11B1, different from the related mouse sequence by two amino acids, and from the related rat sequence by four amino acids.

    亚型

    IgG
  • 应用备注

    Western blot, 0.1-0.5 μg/mL, Human, Monkey, Mouse, Rat
    Immunohistochemistry (Paraffin-embedded Section), 2-5 μg/mL, Human

    说明

    Antibody can be supported by chemiluminescence kit ABIN921124 in WB, supported by ABIN921231 in IHC(P).

    限制

    仅限研究用
  • 状态

    Lyophilized

    溶解方式

    Add 0.2 mL of distilled water will yield a concentration of 500 μg/mL.

    浓度

    500 μg/mL

    缓冲液

    Each vial contains 4 mg Trehalose, 0.9 mg NaCl and 0.2 mg Na2HPO4.

    储存条件

    4 °C,-20 °C

    储存方法

    Store at -20°C for one year from date of receipt. After reconstitution, at 4°C for one month.
    It can also be aliquotted and stored frozen at -20°C for six months. Avoid repeated freeze-thaw cycles.
  • 抗原

    HSD11B1 (Hydroxysteroid (11-Beta) Dehydrogenase 1 (HSD11B1))

    别名

    HSD11B1

    背景

    Synonyms: Corticosteroid 11-beta-dehydrogenase isozyme 1,1.1.1.146,11-beta-hydroxysteroid dehydrogenase 1,11-DH,11-beta-HSD1,Short chain dehydrogenase/reductase family 26C member 1,HSD11B1,HSD11, HSD11L, SDR26C1,

    Tissue Specificity: Widely expressed. Highest expression in liver.

    Background: 11beta-hydroxysteroid dehydrogenase type 1 is an NADPH-dependent enzyme highly expressed in key metabolic tissues including liver, adipose tissue, and the central nervous system. In these tissues, HSD11B1 reduces cortisone to the active hormone cortisol that activates glucocorticoid receptors. It is inhibited by carbenoxolone, a drug typically used in the treatment of peptic ulcers. Tannin et al. (1991) localized the HSD11B1 gene to chromosome 1. The localization was confirmed by isolating the gene from a chromosome 1-specific library using the cDNA as a probe. Schutte et al. (2000) mapped the HSD11B1 gene to 1q32-q41.

    Sequence Similarities: Belongs to the connexin family. Beta-type (group I) subfamily.

    分子量

    36 kDa

    UniProt

    P28845

    途径

    Metabolism of Steroid Hormones and Vitamin D, Steroid Hormone Biosynthesis, Regulation of Carbohydrate Metabolic Process
You are here: