电话:
+86 (0512) 65829739
传真:
+86 (010) 6788 5057
电子邮件:
orders@antibodies-online.cn

GSC 抗体 (AA 78-186)

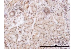
The 小鼠 单克隆 anti-GSC antibody (Clone 3G6) (ABIN530883) specifically detects GSC in ELISA 和 IHC (p). The antibody is reactive with 人 samples.
产品编号 ABIN530883
发货至: 中国
Contact our Customer Service for availability and price in your country. Contact Info

Our Local Distributor

中国
北京 101111
No. 88 KeChuang 6th Street
Beijing Economic Technological Development Area
Room 801-803
4A Biotech Co.,Ltd.
Tel +86 (0512) 65829739 传真 +86 (010) 6788 5057

Quick Overview for GSC 抗体 (AA 78-186) (ABIN530883)

抗原

See all GSC 抗体
GSC (Goosecoid Homeobox (GSC))

适用

  • 47
  • 19
  • 13
  • 1
  • 1
  • 1
  • 1

宿主

  • 50
  • 14
小鼠

克隆类型

  • 40
  • 24
单克隆

标记

  • 32
  • 4
  • 4
  • 3
  • 1
  • 1
  • 1
  • 1
  • 1
  • 1
  • 1
  • 1
  • 1
  • 1
  • 1
  • 1
  • 1
  • 1
  • 1
  • 1
  • 1
  • 1
  • 1
  • 1
  • 1
This GSC antibody is un-conjugated

应用范围

  • 39
  • 27
  • 13
  • 13
  • 13
  • 9
  • 6
  • 3
  • 3
  • 2
  • 1
  • 1
ELISA, Immunohistochemistry (Paraffin-embedded Sections) (IHC (p))

克隆位点

3G6
  • 抗原表位

    • 19
    • 8
    • 5
    • 4
    • 4
    • 3
    • 2
    • 2
    • 2
    • 1
    • 1
    • 1
    AA 78-186

    原理

    Mouse monoclonal antibody raised against a full length recombinant GSC.

    序列

    LGYNNYFYGQ LHVQAAPVGP ACCGAVPPLG AQQCSCVPTP PGYEGPGSVL VSPVPHQMLP YMNVGTLSRT ELQLLNQLHC RRKRRHRTIF TDEQLEALEN LFQETKYPD

    交叉反应

    产品特性

    Antibody Reactive Against Recombinant Protein.

    免疫原

    GSC (NP_776248, 78 a.a. ~ 186 a.a) full length recombinant protein with GST tag. MW of the GST tag alone is 26 KDa.

    亚型

    IgG2b
  • 应用备注

    Optimal working dilution should be determined by the investigator.

    限制

    仅限研究用
  • 缓冲液

    In 1x PBS, pH 7.4

    注意事项

    Aliquot to avoid repeated freezing and thawing.

    储存条件

    -20 °C

    储存方法

    Store at -20°C or lower. Aliquot to avoid repeated freezing and thawing.
  • 抗原

    GSC (Goosecoid Homeobox (GSC))

    别名

    GSC

    背景

    Full Gene Name: goosecoid homeobox
    Synonyms:

    基因ID

    145258

    NCBI登录号

    NM_173849
You are here: