电话:
+86 (0512) 65829739
传真:
+86 (010) 6788 5057
电子邮件:
orders@antibodies-online.cn

Lactate Dehydrogenase C 抗体 (AA 71-160)

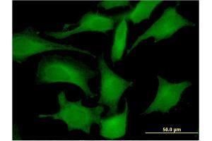
The 小鼠 单克隆 anti-Lactate Dehydrogenase C antibody (Clone 2C8) (ABIN517464) specifically detects Lactate Dehydrogenase C in ELISA 和 IF. The antibody is reactive with 人 samples.
产品编号 ABIN517464
发货至: 中国
Contact our Customer Service for availability and price in your country. Contact Info

Our Local Distributor

中国
北京 101111
No. 88 KeChuang 6th Street
Beijing Economic Technological Development Area
Room 801-803
4A Biotech Co.,Ltd.
Tel +86 (0512) 65829739 传真 +86 (010) 6788 5057

Quick Overview for Lactate Dehydrogenase C 抗体 (AA 71-160) (ABIN517464)

抗原

See all Lactate Dehydrogenase C (LDHC) 抗体
Lactate Dehydrogenase C (LDHC)

适用

  • 34
  • 11
  • 10
  • 2
  • 2
  • 2
  • 1
  • 1
  • 1
  • 1
  • 1
  • 1
  • 1
  • 1

宿主

  • 32
  • 3
  • 2
小鼠

克隆类型

  • 31
  • 6
单克隆

标记

  • 27
  • 2
  • 1
  • 1
  • 1
  • 1
  • 1
  • 1
  • 1
  • 1
This Lactate Dehydrogenase C antibody is un-conjugated

应用范围

  • 25
  • 13
  • 7
  • 6
  • 4
  • 2
  • 2
  • 2
  • 2
  • 2
  • 1
  • 1
ELISA, Immunofluorescence (IF)

克隆位点

2C8
  • 抗原表位

    • 6
    • 6
    • 2
    • 1
    • 1
    • 1
    • 1
    • 1
    • 1
    • 1
    AA 71-160

    原理

    Mouse monoclonal antibody raised against a partial recombinant LDHC.

    序列

    FFSTSKITSG KDYSVSANSR IVIVTAGARQ QEGETRLALV QRNVAIMKSI IPAIVHYSPD CKILVVSNPV DILTYIVWKI SGLPVTRVIG

    交叉反应

    产品特性

    Antibody Reactive Against Recombinant Protein.

    免疫原

    LDHC (NP_002292.1, 71 a.a. ~ 160 a.a) partial recombinant protein with GST tag. MW of the GST tag alone is 26 KDa.

    亚型

    IgG2a
  • 应用备注

    Optimal working dilution should be determined by the investigator.

    限制

    仅限研究用
  • 缓冲液

    In 1x PBS, pH 7.4

    注意事项

    Aliquot to avoid repeated freezing and thawing.

    储存条件

    -20 °C

    储存方法

    Store at -20°C or lower. Aliquot to avoid repeated freezing and thawing.
  • 抗原

    Lactate Dehydrogenase C (LDHC)

    别名

    LDHC

    背景

    Full Gene Name: lactate dehydrogenase C
    Synonyms: CT32,LDH3,LDHX,MGC111073

    基因ID

    3948

    NCBI登录号

    NM_002301

    途径

    Ribonucleoside Biosynthetic Process, Warburg Effect
You are here: