IDH1 抗体 (AA 198-414)
Our Local Distributor
北京 101111
Quick Overview for IDH1 抗体 (AA 198-414) (ABIN5027284)
抗原
See all IDH1 抗体适用
宿主
克隆类型
标记
应用范围
克隆位点
-
-
抗原表位
- AA 198-414
-
纯化方法
- Protein G Chromatography
-
免疫原
- A partial length recombinant IDH1 protein (amino acids 198-414) was used as the immunogen for this antibody
-
亚型
- IgG2a kappa
-
-
-
-
应用备注
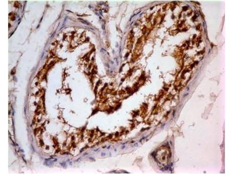
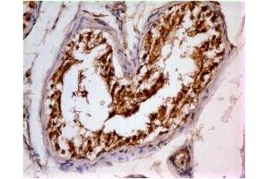
- IHC: 5 μg/mL
-
限制
- 仅限研究用
-
-
-
浓度
- 0.5 mg/mL
-
缓冲液
- PBS containing 0.05 % BSA, PH 7.4
-
储存液
- Sodium azide
-
注意事项
- This product contains Sodium azide: a POISONOUS AND HAZARDOUS SUBSTANCE which should be handled by trained staff only.
-
储存条件
- 4 °C/-20 °C
-
储存方法
- Store the antibody at 4°C, stable for 6 months. For long-term storage, store at -20°C. Avoid repeated freeze and thaw cycles.
-
-
- IDH1 (Isocitrate Dehydrogenase 1 (NADP+), Soluble (IDH1))
-
别名
- IDH1
-
背景
- Isocitrate dehydrogenase 1 (IDH1) is a dimeric cytosolic NADP-dependent dehydrogenase that catalyzes decarboxylation of isocitrate into alpha-ketoglutarate. It belongs to two distinct subclasses, one of which utilizes NAD(+) as the electron acceptor and the other NADP(+). It serves a significant role in cytoplasmic NADPH production. It is found in the cytoplasm and peroxisomes. IDH1 is of great importance in cell metabolism and energy conversion. Mutations in IDH1 are found in a somatic mosaic fashion in patients with multiple enchondromas.
-
基因ID
- 3417
-
UniProt
- O75874
-
途径
- Warburg Effect
抗原
-