电话:
+86 (0512) 65829739
传真:
+86 (010) 6788 5057
电子邮件:
orders@antibodies-online.cn

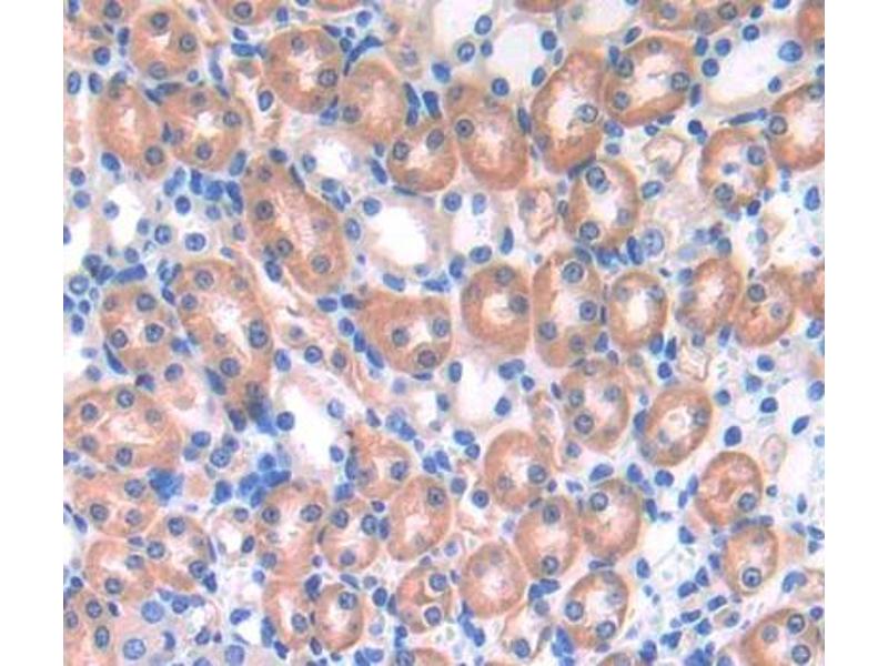
UBAP1 抗体 (AA 1-224)

The 兔 多克隆 anti-UBAP1 antibody (ABIN5014495) specifically detects UBAP1 in WB, IHC, IP 和 ICC. The antibody is reactive with 小鼠 samples.
产品编号 ABIN5014495
发货至: 中国
Contact our Customer Service for availability and price in your country. Contact Info

Our Local Distributor

中国
北京 101111
No. 88 KeChuang 6th Street
Beijing Economic Technological Development Area
Room 801-803
4A Biotech Co.,Ltd.
Tel +86 (0512) 65829739 传真 +86 (010) 6788 5057

Quick Overview for UBAP1 抗体 (AA 1-224) (ABIN5014495)

抗原

See all UBAP1 抗体
UBAP1 (Ubiquitin Associated Protein 1 (UBAP1))

适用

  • 34
  • 30
  • 3
小鼠

宿主

  • 48
  • 2

克隆类型

  • 50
多克隆

标记

  • 21
  • 4
  • 3
  • 3
  • 1
  • 1
  • 1
  • 1
  • 1
  • 1
  • 1
  • 1
  • 1
  • 1
  • 1
  • 1
  • 1
  • 1
  • 1
  • 1
  • 1
  • 1
  • 1
This UBAP1 antibody is un-conjugated

应用范围

  • 37
  • 17
  • 13
  • 13
  • 8
  • 5
  • 5
  • 4
  • 3
  • 3
  • 3
  • 1
Western Blotting (WB), Immunohistochemistry (IHC), Immunoprecipitation (IP), Immunocytochemistry (ICC)
  • 抗原表位

    • 15
    • 8
    • 5
    • 4
    • 2
    • 1
    • 1
    • 1
    • 1
    AA 1-224

    原理

    Polyclonal Antibody to Ubiquitin Associated Protein 1 (UBAP1)

    特异性

    The antibody is a rabbit polyclonal antibody raised against UBAP1. It has been selected for its ability to recognize UBAP1 in immunohistochemical staining and western blotting.

    交叉反应

    大鼠

    纯化方法

    Antigen-specific affinity chromatography followed by Protein A affinity chromatography

    免疫原

    RPC583Mu01Recombinant Ubiquitin Associated Protein 1 (UBAP1)

    亚型

    IgG
  • 应用备注

    Western blotting: 0.01-2 μg/mL,Immunohistochemistry: 5-20 μg/mL,Immunofluorescence:5-20 μg/mL,Optimal working dilutions must be determined by end user.

    说明

    The thermal stability is described by the loss rate. The loss rate was determined by accelerated thermal degradation test, that is, incubate the protein at 37°C for 48h, and no obvious degradation and precipitation were observed. The loss rate is less than 5% within the expiration date under appropriate storage condition.

    限制

    仅限研究用
  • 状态

    Liquid

    浓度

    0.49 mg/mL

    缓冲液

    PBS, pH 7.4, containing 0.02 % Sodium azide, 50 % glycerol.

    储存液

    ProClin, Sodium azide

    储存条件

    4 °C,-20 °C

    储存方法

    Store at 4°C for frequent use. Stored at -20°C in a manual defrost freezer for two year without detectable loss of activity. Avoid repeated freeze-thaw cycles.
  • 抗原

    UBAP1 (Ubiquitin Associated Protein 1 (UBAP1))

    别名

    UBAP1

    背景

    NAG20, UAP, UBAP, Nasopharyngeal carcinoma-associated gene 20 protein
You are here: