电话:
+86 (0512) 65829739
传真:
+86 (010) 6788 5057
电子邮件:
orders@antibodies-online.cn

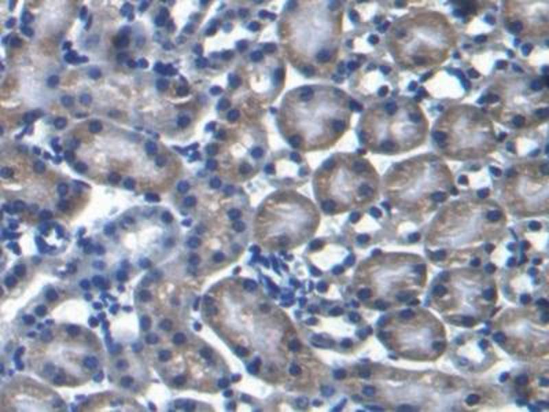
PRODH 抗体 (AA 398-551)

The 兔 多克隆 anti-PRODH antibody is suitable to detect PRODH in samples from 小鼠. It has been validated for WB, IHC, IP 和 ICC.
产品编号 ABIN5014161
发货至: 中国
Contact our Customer Service for availability and price in your country. Contact Info

Our Local Distributor

中国
北京 101111
No. 88 KeChuang 6th Street
Beijing Economic Technological Development Area
Room 801-803
4A Biotech Co.,Ltd.
Tel +86 (0512) 65829739 传真 +86 (010) 6788 5057

Quick Overview for PRODH 抗体 (AA 398-551) (ABIN5014161)

抗原

See all PRODH 抗体
PRODH (Proline Dehydrogenase (Oxidase) 1 (PRODH))

适用

  • 32
  • 28
  • 17
小鼠

宿主

  • 45
  • 2
  • 2

克隆类型

  • 47
  • 2
多克隆

标记

  • 20
  • 4
  • 3
  • 3
  • 1
  • 1
  • 1
  • 1
  • 1
  • 1
  • 1
  • 1
  • 1
  • 1
  • 1
  • 1
  • 1
  • 1
  • 1
  • 1
  • 1
  • 1
  • 1
This PRODH antibody is un-conjugated

应用范围

  • 38
  • 19
  • 13
  • 13
  • 9
  • 5
  • 3
  • 3
  • 3
  • 3
  • 1
Western Blotting (WB), Immunohistochemistry (IHC), Immunoprecipitation (IP), Immunocytochemistry (ICC)
  • 抗原表位

    • 15
    • 7
    • 6
    • 2
    • 1
    • 1
    • 1
    • 1
    • 1
    • 1
    • 1
    • 1
    • 1
    • 1
    AA 398-551

    原理

    Polyclonal Antibody to Proline Dehydrogenase, Mitochondrial (PRODH)

    特异性

    The antibody is a rabbit polyclonal antibody raised against PRODH. It has been selected for its ability to recognize PRODH in immunohistochemical staining and western blotting.

    交叉反应

    大鼠

    纯化方法

    Antigen-specific affinity chromatography followed by Protein A affinity chromatography

    免疫原

    RPC755Mu01Recombinant Proline Dehydrogenase, Mitochondrial (PRODH)

    亚型

    IgG
  • 应用备注

    Western blotting: 0.5-2 μg/mL,Immunohistochemistry: 5-20 μg/mL,Immunocytochemistry: 5-20 μg/mL,Optimal working dilutions must be determined by end user.

    说明

    The thermal stability is described by the loss rate. The loss rate was determined by accelerated thermal degradation test, that is, incubate the protein at 37°C for 48h, and no obvious degradation and precipitation were observed. The loss rate is less than 5% within the expiration date under appropriate storage condition.

    限制

    仅限研究用
  • 状态

    Liquid

    浓度

    1 mg/mL

    缓冲液

    PBS, pH 7.4, containing 0.02 % Sodium azide, 50 % glycerol.

    储存液

    Sodium azide

    储存条件

    4 °C,-20 °C

    储存方法

    Store at 4°C for frequent use. Stored at -20°C in a manual defrost freezer for two year without detectable loss of activity. Avoid repeated freeze-thaw cycles.
  • 抗原

    PRODH (Proline Dehydrogenase (Oxidase) 1 (PRODH))

    别名

    PRODH

    背景

    PDH, PIG6, POX2, PRODH1, PRODH2, SCZD4, TP53I6, p53-induced gene 6 protein, L-Proline Dehydrogenase, L-Proline(acceptor)Oxidoreductase, Proline Oxidase 1

    途径

    Response to Water Deprivation, Monocarboxylic Acid Catabolic Process
You are here: