电话:
+86 (0512) 65829739
传真:
+86 (010) 6788 5057
电子邮件:
orders@antibodies-online.cn

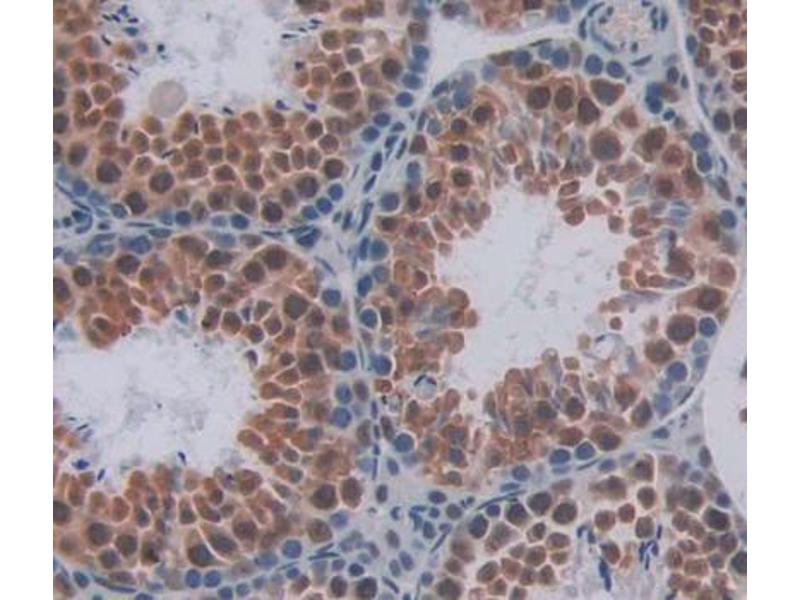
HMG20B 抗体 (AA 1-213)

The 兔 多克隆 anti-HMG20B antibody (ABIN5013700) specifically detects HMG20B in WB, IHC, IP 和 ICC. The antibody is reactive with 小鼠 samples.
产品编号 ABIN5013700
发货至: 中国
Contact our Customer Service for availability and price in your country. Contact Info

Our Local Distributor

中国
北京 101111
No. 88 KeChuang 6th Street
Beijing Economic Technological Development Area
Room 801-803
4A Biotech Co.,Ltd.
Tel +86 (0512) 65829739 传真 +86 (010) 6788 5057

Quick Overview for HMG20B 抗体 (AA 1-213) (ABIN5013700)

抗原

See all HMG20B 抗体
HMG20B (High Mobility Group 20B (HMG20B))

适用

  • 41
  • 27
  • 9
  • 5
  • 4
  • 4
  • 2
  • 1
  • 1
  • 1
  • 1
  • 1
  • 1
小鼠

宿主

  • 54
  • 4

克隆类型

  • 55
  • 3
多克隆

标记

  • 37
  • 2
  • 1
  • 1
  • 1
  • 1
  • 1
  • 1
  • 1
  • 1
  • 1
  • 1
  • 1
  • 1
  • 1
  • 1
  • 1
  • 1
  • 1
  • 1
  • 1
This HMG20B antibody is un-conjugated

应用范围

  • 48
  • 17
  • 13
  • 13
  • 11
  • 8
  • 8
  • 6
  • 5
  • 4
  • 2
  • 1
Western Blotting (WB), Immunohistochemistry (IHC), Immunoprecipitation (IP), Immunocytochemistry (ICC)
  • 抗原表位

    • 15
    • 8
    • 4
    • 2
    • 2
    • 2
    • 2
    • 1
    • 1
    • 1
    • 1
    • 1
    • 1
    • 1
    • 1
    • 1
    AA 1-213

    原理

    Polyclonal Antibody to High Mobility Group Protein 20B (HMG20B)

    特异性

    The antibody is a rabbit polyclonal antibody raised against HMG20B. It has been selected for its ability to recognize HMG20B in immunohistochemical staining and western blotting.

    交叉反应

    人, 大鼠

    纯化方法

    Antigen-specific affinity chromatography followed by Protein A affinity chromatography

    免疫原

    RPD771Mu01Recombinant High Mobility Group Protein 20B (HMG20B)

    亚型

    IgG
  • 应用备注

    Western blotting: 0.2-2 μg/mL,1:250-2500 Immunohistochemistry: 5-20 μg/mL,1:25-100 Immunocytochemistry: 5-20 μg/mL,1:25-100 Optimal working dilutions must be determined by end user.

    说明

    The thermal stability is described by the loss rate. The loss rate was determined by accelerated thermal degradation test, that is, incubate the protein at 37°C for 48h, and no obvious degradation and precipitation were observed. The loss rate is less than 5% within the expiration date under appropriate storage condition.

    限制

    仅限研究用
  • 状态

    Liquid

    浓度

    500 μg/mL

    缓冲液

    PBS, pH 7.4, containing 0.01 % SKL, 1 mM DTT, 5 % Trehalose and Proclin300.

    储存液

    Dithiothreitol (DTT), ProClin

    储存条件

    4 °C,-20 °C

    储存方法

    Store at 4°C for frequent use. Stored at -20°C in a manual defrost freezer for two year without detectable loss of activity. Avoid repeated freeze-thaw cycles.
  • 抗原

    HMG20B (High Mobility Group 20B (HMG20B))

    别名

    HMG20B

    背景

    BRAF35, HMGX2, SMARCE1r, SOXL, Sox-like transcriptional factor, SWI/SNF-related matrix-associated actin-dependent regulator of chromatin subfamily E member 1-related
You are here: