电话:
+86 (0512) 65829739
传真:
+86 (010) 6788 5057
电子邮件:
orders@antibodies-online.cn

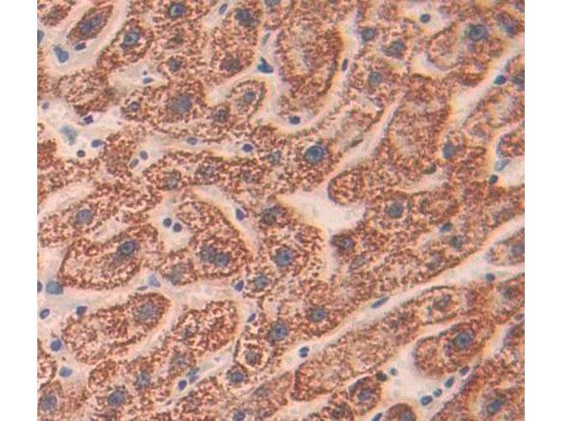
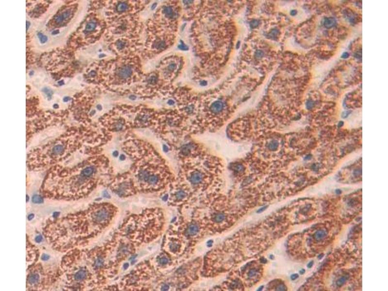
CHN2 抗体 (AA 1-264)

This 兔 多克隆 antibody specifically detects CHN2 in WB, IHC, IP 和 ICC. It exhibits reactivity toward 人.
产品编号 ABIN5013329
发货至: 中国
Contact our Customer Service for availability and price in your country. Contact Info

Our Local Distributor

中国
北京 101111
No. 88 KeChuang 6th Street
Beijing Economic Technological Development Area
Room 801-803
4A Biotech Co.,Ltd.
Tel +86 (0512) 65829739 传真 +86 (010) 6788 5057

Quick Overview for CHN2 抗体 (AA 1-264) (ABIN5013329)

抗原

See all CHN2 抗体
CHN2 (Chimerin (Chimaerin) 2 (CHN2))

适用

  • 22
  • 8
  • 8
  • 4
  • 4
  • 4
  • 3
  • 2
  • 2
  • 1
  • 1

宿主

  • 24
  • 1

克隆类型

  • 25
多克隆

标记

  • 16
  • 3
  • 2
  • 2
  • 1
  • 1
This CHN2 antibody is un-conjugated

应用范围

  • 19
  • 14
  • 6
  • 2
  • 2
  • 1
Western Blotting (WB), Immunohistochemistry (IHC), Immunoprecipitation (IP), Immunocytochemistry (ICC)
  • 抗原表位

    • 6
    • 5
    • 2
    • 2
    • 1
    • 1
    • 1
    • 1
    • 1
    • 1
    • 1
    • 1
    AA 1-264

    原理

    Polyclonal Antibody to Chimerin 2 (CHN2)

    特异性

    The antibody is a rabbit polyclonal antibody raised against CHN2. It has been selected for its ability to recognize CHN2 in immunohistochemical staining and western blotting.

    交叉反应

    Pig

    纯化方法

    Antigen-specific affinity chromatography followed by Protein A affinity chromatography

    免疫原

    RPC420Hu01Recombinant Chimerin 2 (CHN2)

    亚型

    IgG
  • 应用备注

    Western blotting: 0.01-2 μg/mL,Immunohistochemistry: 5-20 μg/mL,Immunocytochemistry: 5-20 μg/mL,Optimal working dilutions must be determined by end user.

    说明

    The thermal stability is described by the loss rate. The loss rate was determined by accelerated thermal degradation test, that is, incubate the protein at 37°C for 48h, and no obvious degradation and precipitation were observed. The loss rate is less than 5% within the expiration date under appropriate storage condition.

    限制

    仅限研究用
  • 状态

    Liquid

    浓度

    0.5 mg/mL

    缓冲液

    PBS, pH 7.4, containing 0.02 % Sodium azide, 50 % glycerol.

    储存液

    Sodium azide

    储存条件

    4 °C,-20 °C

    储存方法

    Store at 4°C for frequent use. Stored at -20°C in a manual defrost freezer for two year without detectable loss of activity. Avoid repeated freeze-thaw cycles.
  • 抗原

    CHN2 (Chimerin (Chimaerin) 2 (CHN2))

    别名

    CHN2

    背景

    ARHGAP3, BCH, RHoGAP3, Chimaerin, Beta-Chimaerin, Beta-chimerin, Rho GTPase-activating protein 3
You are here: